Skip to main content

P2Y6/P2RY6 Antibody - Azide and BSA Free

Novus Biologicals, part of Bio-Techne | Catalog # NBP2-99485

Novus Biologicals, part of Bio-Techne

Key Product Details

Species Reactivity

Human

Applications

Immunohistochemistry, Immunohistochemistry-Paraffin, Immunoprecipitation, Western Blot

Label

Unconjugated

Antibody Source

Polyclonal Rabbit IgG

Format

Azide and BSA Free

Concentration

Please see the vial label for concentration. If unlisted please contact technical services.

Product Specifications

Immunogen

Produced in rabbits immunized with a synthetic peptide corresponding to the center region of the Human P2Y6/P2RY6.

Clonality

Polyclonal

Host

Rabbit

Isotype

IgG

Description

This antibody can be stored at 2C to 8C for one month without detectable loss of activity. Antibody products are stable for twelve months from date of receipt when stored at -20C to -80C. Avoid repeated freeze-thaw cycles.

Scientific Data Images for P2Y6/P2RY6 Antibody - Azide and BSA Free

Western Blot: P2Y6/P2RY6 Antibody [NBP2-99485]

Western Blot: P2Y6/P2RY6 Antibody [NBP2-99485]

Western Blot: P2Y6/P2RY6 Antibody [NBP2-99485] - Anti-P2Y6/P2RY6 rabbit polyclonal antibody at 1:500 dilution. Lane A: A549 Whole Cell Lysate Lane B: 293 Whole Cell Lysate Lane C: HepG2 Whole Cell Lysate Lysates/proteins at 30 ug per lane. Secondary Goat Anti-Rabbit IgG (H+L)/HRP at 1/10000 dilution. Developed using the ECL technique. Performed under reducing conditions. Predicted band size: 36 kDa. Observed band size: 36 kDa
Immunohistochemistry-Paraffin: P2Y6/P2RY6 Antibody [NBP2-99485]

Immunohistochemistry-Paraffin: P2Y6/P2RY6 Antibody [NBP2-99485]

Immunohistochemistry-Paraffin: P2Y6/P2RY6 Antibody [NBP2-99485] - Immunochemical staining of human P2Y6/P2RY6 in human ovarian cancer with rabbit polyclonal antibody at 1:1000 dilution, formalin-fixed paraffin embedded sections.
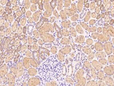
Immunohistochemistry-Paraffin: P2Y6/P2RY6 Antibody [NBP2-99485]

Immunohistochemistry-Paraffin: P2Y6/P2RY6 Antibody [NBP2-99485]

Immunohistochemistry-Paraffin: P2Y6/P2RY6 Antibody [NBP2-99485] - Immunochemical staining of human P2Y6/P2RY6 in human kidney with rabbit polyclonal antibody at 1:1000 dilution, formalin-fixed paraffin embedded sections.

Applications for P2Y6/P2RY6 Antibody - Azide and BSA Free

Application
Recommended Usage

Immunohistochemistry

1:500-1:2000

Immunohistochemistry-Paraffin

1:500-1:2000

Immunoprecipitation

5-10 uL/mg of lysate

Western Blot

1:500-1:2000

Formulation, Preparation, and Storage

Purification

Antigen and protein A Affinity-purified

Formulation

0.2 um filtered solution in PBS

Format

Azide and BSA Free

Preservative

No Preservative

Concentration

Please see the vial label for concentration. If unlisted please contact technical services.

Shipping

The product is shipped with polar packs. Upon receipt, store it immediately at the temperature recommended below.

Stability & Storage

Store at 4C short term. Aliquot and store at -20C long term. Avoid freeze-thaw cycles.

Background: P2Y6/P2RY6

The purinergic receptor P2Y6 (P2RY6) is a member of the Purinergic Receptor subfamily. P2 receptors mediate a wide variety of physiologic effects in response to extracellular nucleotides. P2Y6 is believed to play a role in placental function and innate immune defense. P2Y6 expression has been documented in various blood cells, bone marrow, brain, colon, heart, kidney, ovary, placenta, spleen,and thymus. ESTs have been isolated from cervix, embryo, eye, kidney, liver/spleen, placenta, and vessel libraries.

Long Name

P2Y Purinergic Receptor 6

Alternate Names

P2RY6

Gene Symbol

P2RY6

Additional P2Y6/P2RY6 Products

Product Documents for P2Y6/P2RY6 Antibody - Azide and BSA Free

Certificate of Analysis

To download a Certificate of Analysis, please enter a lot number in the search box below.

Product Specific Notices for P2Y6/P2RY6 Antibody - Azide and BSA Free

This product is for research use only and is not approved for use in humans or in clinical diagnosis. Primary Antibodies are guaranteed for 1 year from date of receipt.

Loading...
Loading...
Loading...
Loading...