Skip to main content

P2Y2 Antibody (HL2704)

Novus Biologicals, part of Bio-Techne | Catalog # NBP3-48721

Recombinant Monoclonal Antibody
Novus Biologicals, part of Bio-Techne
Catalog #
Availability
Size / Price
Qty
Loading...
NBP3-48721

Key Product Details

Validated by

Orthogonal Validation, Independent Antibodies

Species Reactivity

Human

Applications

Western Blot, Immunocytochemistry/ Immunofluorescence

Label

Unconjugated

Antibody Source

Recombinant Monoclonal Rabbit IgG Clone # HL2704

Concentration

Concentrations vary lot to lot. See vial label for concentration. If unlisted please contact technical services.

Product Specifications

Immunogen

Recombinant fragment of human P2Y2.

Clonality

Monoclonal

Host

Rabbit

Isotype

IgG

Description

Novus Biologicals Rabbit P2Y2 Antibody (HL2704) (NBP3-48721) is a recombinant monoclonal antibody validated for use in WB and ICC/IF. All Novus Biologicals antibodies are covered by our 100% guarantee.

Scientific Data Images for P2Y2 Antibody (HL2704)

P2Y2 Antibody (HL2704)

Western Blot: P2Y2 Antibody (HL2704) [NBP3-48721] -

Untreated (-) and treated (+) unboiled HL-60 whole cell extracts (30 ug) were separated by 10% SDS-PAGE, and the membrane was blotted with P2Y2 antibody [HL2704] (NBP3-48721) diluted at 1:500. The HRP-conjugated anti-rabbit IgG antibody was used to detect the primary antibody.
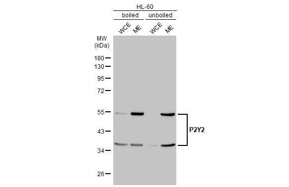
P2Y2 Antibody (HL2704)

Western Blot: P2Y2 Antibody (HL2704) [NBP3-48721] -

Boiled and unboiled HL-60 whole cell and membrane extracts (30 ug) were separated by 10% SDS-PAGE, and the membranes were blotted with P2Y2 antibody [HL2704] (NBP3-48721) diluted at 1:1000 and competitor's antibody (competitor) diluted at 1:1000. The HRP-conjugated anti-rabbit IgG antibody was used to detect the primary antibody.

*The competitor is not affiliated withand does not endorse this product.
P2Y2 Antibody (HL2704)

Western Blot: P2Y2 Antibody (HL2704) [NBP3-48721] -

Non-transfected (-) and transfected (+) boiled and unboiled 293T whole cell extracts (30 ug) were separated by 12% SDS-PAGE, and the membrane was blotted with P2Y2 antibody [HL2704] (NBP3-48721) diluted at 1:20000. The HRP-conjugated anti-rabbit IgG antibody was used to detect the primary antibody.

Applications for P2Y2 Antibody (HL2704)

Application
Recommended Usage

Western Blot

1:500-1:3000

Formulation, Preparation, and Storage

Purification

Protein A purified

Formulation

PBS

Preservative

No Preservative

Concentration

Concentrations vary lot to lot. See vial label for concentration. If unlisted please contact technical services.

Shipping

The product is shipped with polar packs. Upon receipt, store it immediately at the temperature recommended below.

Stability & Storage

Store at 4C short term. Aliquot and store at -20C long term. Avoid freeze-thaw cycles.

Background: P2Y2/P2RY2

P2Y2 belongs to the family of G-protein coupled receptors. This family has several receptor subtypes with different pharmacological selectivity, which overlaps in some cases, for various adenosine and uridine nucleotides. This receptor is responsive to both adenosine and uridine nucleotides. It may participate in control of the cell cycle of endometrial carcinoma cells. P2Y2 is also a morphogen receptor that potentiates neurotrophin signaling in neuronal development and regeneration.

Long Name

P2Y Purinergic Receptor 2

Alternate Names

P2RU1, P2RY2, P2U, P2U1, P2Y2R

Gene Symbol

P2RY2

Additional P2Y2/P2RY2 Products

Product Documents for P2Y2 Antibody (HL2704)

Certificate of Analysis

To download a Certificate of Analysis, please enter a lot number in the search box below.

Product Specific Notices for P2Y2 Antibody (HL2704)

This product is for research use only and is not approved for use in humans or in clinical diagnosis. Primary Antibodies are guaranteed for 1 year from date of receipt.

Loading...
Loading...
Loading...
Loading...