Skip to main content

P2Y11/P2RY11 Antibody - BSA Free

Novus Biologicals, part of Bio-Techne | Catalog # NLS867

Novus Biologicals, part of Bio-Techne
Catalog #
Availability
Size / Price
Qty
Loading...
NLS867

Key Product Details

Species Reactivity

Validated:

Human, Monkey

Predicted:

Primate (100%). Backed by our 100% Guarantee.

Applications

Immunohistochemistry, Immunohistochemistry-Paraffin

Label

Unconjugated

Antibody Source

Polyclonal Rabbit IgG

Format

BSA Free

Concentration

1.0 mg/ml

Product Specifications

Immunogen

Synthetic 16 amino acid peptide from 3rd extracellular domain of human P2Y11/P2RY11.

Epitope

3rd extracellular domain

Reactivity Notes

Predicted cross-reactivity based on sequence identity: Gorilla (100%), Gibbon (94%).

Specificity

Human P2Y11/P2RY11. BLAST analysis of the peptide immunogen showed no homology with other human proteins.

Clonality

Polyclonal

Host

Rabbit

Isotype

IgG

Description

Product can be stored undiluted at 4C for up to 1 month.

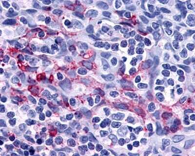
Scientific Data Images for P2Y11/P2RY11 Antibody - BSA Free

Immunohistochemistry-Paraffin: P2Y11/P2RY11 Antibody - BSA Free [NLS867]

Immunohistochemistry-Paraffin: P2Y11/P2RY11 Antibody - BSA Free [NLS867]

Immunohistochemistry-Paraffin: P2Y11/P2RY11 Antibody [NLS867] - Analysis of anti-P2RY11 / P2Y11 antibody with human brain, glioblastoma.
Immunohistochemistry-Paraffin: P2Y11/P2RY11 Antibody - BSA Free [NLS867]

Immunohistochemistry-Paraffin: P2Y11/P2RY11 Antibody - BSA Free [NLS867]

Immunohistochemistry-Paraffin: P2Y11/P2RY11 Antibody [NLS867] - Analysis of anti-P2RY11 / P2Y11 antibody with dendritic cells using this antibody at 8 ug/ ml.

Applications for P2Y11/P2RY11 Antibody - BSA Free

Application
Recommended Usage

Immunohistochemistry-Paraffin

8 - 16 ug/ml
Application Notes
.

Formulation, Preparation, and Storage

Purification

Immunogen affinity purified

Formulation

PBS

Format

BSA Free

Preservative

0.1% Sodium Azide

Concentration

1.0 mg/ml

Shipping

The product is shipped with polar packs. Upon receipt, store it immediately at the temperature recommended below.

Stability & Storage

Keep as concentrated solution. Aliquot and store at -20C or below. Avoid multiple freeze-thaw cycles.

Background: P2Y11/P2RY11

P2Y11, the only Purinergic Receptor that acts via cAMP, may be involved in the differentiation of immunocytes. Immature and mature dendritic cells express P2Y and P2X subtypes, including P2Y11, which are coupled to increases in intracellular Ca2+, membrane depolarization, and secretion of inflammatory cytokines. It has been suggested that ATP/P2Y11 contributes to sympathetic stimulation of renin, as well as to renin responses after tissue damage, such as that which occurs with kidney disease and myocardial infarct. Intergenic splicing between the P2Y11 and SSF1 genes changes gene expression, the first case involving a GPCR Communi et al., 2001. Prototypes for this cluster have been chosen to be uniquely P2Y11. P2Y11 has been reported in monocyte-derived dendritic cells, lymphocytes from patients with chronic lymphocytic leukemia, brain, heart, kidney, liver, skeletal muscle, spleen, and testis. ESTs have been isolated from normal human prostate, pancreas, and pooled brain, lung, and testis libraries.

Long Name

P2Y Purinergic Receptor 11

Alternate Names

P2RY11

Entrez Gene IDs

5032 (Human)

Gene Symbol

P2RY11

Additional P2Y11/P2RY11 Products

Product Documents for P2Y11/P2RY11 Antibody - BSA Free

Certificate of Analysis

To download a Certificate of Analysis, please enter a lot number in the search box below.

Product Specific Notices for P2Y11/P2RY11 Antibody - BSA Free

This product is for research use only and is not approved for use in humans or in clinical diagnosis. Primary Antibodies are guaranteed for 1 year from date of receipt.

Loading...
Loading...
Loading...
Loading...