Skip to main content

p23/PTGES3 Antibody - BSA Free

Novus Biologicals, part of Bio-Techne | Catalog # NBP2-19999

Novus Biologicals, part of Bio-Techne
Catalog #
Availability
Size / Price
Qty
Loading...
NBP2-19999

Key Product Details

Species Reactivity

Validated:

Human, Mouse, Rat

Predicted:

Chimpanzee (100%), Rhesus Macaque (100%). Backed by our 100% Guarantee.

Applications

Immunohistochemistry, Immunohistochemistry-Paraffin, Western Blot, Immunocytochemistry/ Immunofluorescence

Label

Unconjugated

Antibody Source

Polyclonal Rabbit IgG

Format

BSA Free

Concentration

Concentrations vary lot to lot. See vial label for concentration. If unlisted please contact technical services.

Product Specifications

Immunogen

Full length human p23/PTGES3 Recombinant protein.

Localization

Cytoplasm

Clonality

Polyclonal

Host

Rabbit

Isotype

IgG

Theoretical MW

19 kDa.
Disclaimer note: The observed molecular weight of the protein may vary from the listed predicted molecular weight due to post translational modifications, post translation cleavages, relative charges, and other experimental factors.

Description

Novus Biologicals Rabbit p23/PTGES3 Antibody - BSA Free (NBP2-19999) is a polyclonal antibody validated for use in IHC, WB and ICC/IF. All Novus Biologicals antibodies are covered by our 100% guarantee.

Scientific Data Images for p23/PTGES3 Antibody - BSA Free

Western Blot: p23/PTGES3 Antibody [NBP2-19999]

Western Blot: p23/PTGES3 Antibody [NBP2-19999]

Western Blot: PTGES3 Antibody [NBP2-19999] - Sample (50 ug of whole cell lysate) A: Mouse Brain, 12% SDS PAGE gel, diluted at 1:1000.
Immunocytochemistry/ Immunofluorescence: p23/PTGES3 Antibody [NBP2-19999]

Immunocytochemistry/ Immunofluorescence: p23/PTGES3 Antibody [NBP2-19999]

Immunocytochemistry/Immunofluorescence: PTGES3 Antibody [NBP2-19999] - Immunofluorescence analysis of paraformaldehyde-fixed A431, using antibody at 1:200 dilution.
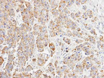
Immunohistochemistry-Paraffin: p23/PTGES3 Antibody [NBP2-19999]

Immunohistochemistry-Paraffin: p23/PTGES3 Antibody [NBP2-19999]

Immunohistochemistry-Paraffin: p23/PTGES3 Antibody [NBP2-19999] - p23/PTGES3 antibody detects p23 protein at cytoplasm in mouse esophagus by immunohistochemical analysis. Sample: Paraffin-embedded mouse esophagus. p23 antibody diluted at 1:500. Antigen Retrieval: Citrate buffer, pH 6.0, 15 min

Applications for p23/PTGES3 Antibody - BSA Free

Application
Recommended Usage

Immunocytochemistry/ Immunofluorescence

1:100-1:1000

Immunohistochemistry

10 - 1:500

Immunohistochemistry-Paraffin

1:100-1:1000

Western Blot

1:500-1:3000

Formulation, Preparation, and Storage

Purification

Antigen Affinity-purified

Formulation

0.1M Tris, 0.1M Glycine, 10% Glycerol

Format

BSA Free

Preservative

0.01% Thimerosal

Concentration

Concentrations vary lot to lot. See vial label for concentration. If unlisted please contact technical services.

Shipping

The product is shipped with polar packs. Upon receipt, store it immediately at the temperature recommended below.

Stability & Storage

Aliquot and store at -20C or -80C. Avoid freeze-thaw cycles.

Background: p23/PTGES3

Molecular chaperone that localizes to genomic response elements in a hormone-dependent manner and disrupts receptor-mediated transcriptional activation, by promoting disassembly of transcriptional regulatory complexes.

Long Name

Prostaglandin E Synthase 3 (Cytosolic)

Alternate Names

CPGES, PTGES3, TEBP

Gene Symbol

PTGES3

UniProt

Additional p23/PTGES3 Products

Product Documents for p23/PTGES3 Antibody - BSA Free

Certificate of Analysis

To download a Certificate of Analysis, please enter a lot number in the search box below.

Product Specific Notices for p23/PTGES3 Antibody - BSA Free

This product is for research use only and is not approved for use in humans or in clinical diagnosis. Primary Antibodies are guaranteed for 1 year from date of receipt.

Loading...
Loading...
Loading...
Loading...

⚠ WARNING: This product can expose you to chemicals including mercury, which is known to the State of California to cause reproductive toxicity with developmental effects.  For more information go to www.P65Warnings.ca.gov.