Skip to main content

p23/PTGES3 Antibody - BSA Free

Novus Biologicals, part of Bio-Techne | Catalog # NBP1-85485

Novus Biologicals, part of Bio-Techne
Catalog #
Availability
Size / Price
Qty
Loading...
NBP1-85485
NBP1-85485-25ul

Key Product Details

Validated by

Independent Antibodies

Species Reactivity

Human, Mouse, Rat

Applications

Validated:

Immunohistochemistry, Immunohistochemistry-Paraffin, Western Blot, Immunocytochemistry/ Immunofluorescence

Cited:

Western Blot

Label

Unconjugated

Antibody Source

Polyclonal Rabbit IgG

Format

BSA Free

Concentration

Concentrations vary lot to lot. See vial label for concentration. If unlisted please contact technical services.

Product Specifications

Immunogen

This antibody was developed against Recombinant Protein corresponding to amino acids: CVEDSKDVNVNFEKSKLTFSCLGGSDNFKHLNEIDLFHCIDPNDSKHKRTDRSILCCLRKGESGQSWPRLT

Clonality

Polyclonal

Host

Rabbit

Isotype

IgG

Description

Novus Biologicals Rabbit p23/PTGES3 Antibody - BSA Free (NBP1-85485) is a polyclonal antibody validated for use in IHC, WB and ICC/IF. Anti-p23/PTGES3 Antibody: Cited in 1 publication. All Novus Biologicals antibodies are covered by our 100% guarantee.

Scientific Data Images for p23/PTGES3 Antibody - BSA Free

Immunohistochemistry-Paraffin: p23/PTGES3 Antibody [NBP1-85485]

Immunohistochemistry-Paraffin: p23/PTGES3 Antibody [NBP1-85485]

Immunohistochemistry-Paraffin: p23/PTGES3 Antibody [NBP1-85485] - Staining of human colon, fallopian tube, kidney and testis using Anti-PTGES3 antibody NBP1-85485 (A) shows similar protein distribution across tissues to independent antibody NBP1-85486 (B).
Western Blot: p23/PTGES3 Antibody [NBP1-85485]

Western Blot: p23/PTGES3 Antibody [NBP1-85485]

Western Blot: p23/PTGES3 Antibody [NBP1-85485] - Analysis using Anti-PTGES3 antibody NBP1-85485 (A) shows similar pattern to independent antibody NBP1-85486 (B).
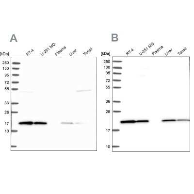
Western Blot: p23/PTGES3 Antibody [NBP1-85485]

Western Blot: p23/PTGES3 Antibody [NBP1-85485]

Western Blot: p23/PTGES3 Antibody [NBP1-85485] - Lane 1: NIH-3T3 cell lysate (Mouse embryonic fibroblast cells). Lane 2: NBT-II cell lysate (Rat wistar bladder tumour cells).

Applications for p23/PTGES3 Antibody - BSA Free

Application
Recommended Usage

Immunocytochemistry/ Immunofluorescence

0.25-2 ug/ml

Immunohistochemistry

1:200 - 1:500

Immunohistochemistry-Paraffin

1:200 - 1:500

Western Blot

0.04-0.4 ug/ml
Application Notes
For IHC-Paraffin, HIER pH 6 retrieval is recommended. ICC/IF, Fixation Permeabilization: Use PFA/Triton X-100.

Formulation, Preparation, and Storage

Purification

Affinity purified

Formulation

PBS (pH 7.2) and 40% Glycerol

Format

BSA Free

Preservative

0.02% Sodium Azide

Concentration

Concentrations vary lot to lot. See vial label for concentration. If unlisted please contact technical services.

Shipping

The product is shipped with polar packs. Upon receipt, store it immediately at the temperature recommended below.

Stability & Storage

Store at 4C short term. Aliquot and store at -20C long term. Avoid freeze-thaw cycles.

Background: p23/PTGES3

Steroid receptors are ligand-dependent intracellular proteins that stimulate transcription of specific genes by binding to specific DNA sequences following activation by the appropriate hormone. Prior to activation, steroid receptors associate with a number of different proteins in both a stable and transient fashion. Steroid receptor complex proteins include heat shock proteins (HSP 70 and HSP 90), immunosuppressant binding proteins called immunophilins (the FK 506 binding proteins, FKBP 52 & FKBP 54 and the cyclosporin binding protein, CyP-40) and at least three other proteins termed p23, p60 and p48. p23 along with HSP 70, HSP 90 and p60, combine with progesterone receptor (PR) as members of a transient intermediate complex. Cloned human p23 encodes a protein of 160 amino acids that is highly conserved between species and shows no homology to previously identified proteins. p23 is a highly acidic phosphoprotein with an aspartic acid-rich C-terminal domain and multiple potential phosphorylation sites. In vitro studies have suggested that p23 binds to HSP90 and is necessary for the binding of HSP 90 and CyP-40 to PR. While neither its exact function nor mechanism of action have been identified, p23 appears to be an important factor in PR function.

Long Name

Prostaglandin E Synthase 3 (Cytosolic)

Alternate Names

CPGES, PTGES3, TEBP

Gene Symbol

PTGES3

Additional p23/PTGES3 Products

Product Documents for p23/PTGES3 Antibody - BSA Free

Certificate of Analysis

To download a Certificate of Analysis, please enter a lot number in the search box below.

Product Specific Notices for p23/PTGES3 Antibody - BSA Free

This product is for research use only and is not approved for use in humans or in clinical diagnosis. Primary Antibodies are guaranteed for 1 year from date of receipt.

Loading...
Loading...
Loading...
Loading...