Skip to main content

p21/CIP1/CDKN1A Antibody (CIP1/823 + DCS-60.2)

Novus Biologicals, part of Bio-Techne | Catalog # NBP2-44529

Novus Biologicals, part of Bio-Techne
Catalog #
Availability
Size / Price
Qty
Loading...
NBP2-44529-0.02mg
NBP2-44529-0.1mg

Key Product Details

Species Reactivity

Human, Mouse (Negative), Rat (Negative)

Applications

Immunohistochemistry, Immunohistochemistry-Paraffin, Western Blot

Label

Unconjugated

Antibody Source

Monoclonal Mouse IgG2a Kappa Clone # CIP1/823 + DCS-60.2

Concentration

0.2 mg/ml

Product Specifications

Immunogen

Recombinant full-length human p21/CIP1/CDKN1A protein (CIP1/823); Human recombinant p21 protein (DCS-60.2) (Uniprot: P38936)

Reactivity Notes

Does not react with Mouse or Rat.

Localization

Nuclear

Specificity

This monoclonal antibody recognizes a 21kDa protein, identified as the p21WAF1 tumor suppressor protein. This monoclonal antibody is highly specific to p21 and shows no cross-reaction with other closely related mitotic inhibitors. p21WAF1 is a specific inhibitor of cdks and a tumor suppressor involved in the pathogenesis of a variety of malignancies. The expression of this gene acts as an inhibitor of the cell cycle during G1 phase and is tightly controlled by the tumor suppressor protein p53. Its expression is induced by the wild type, but not mutant, p53 suppressor protein. Normal cells generally display a rather intense nuclear p21 expression. Loss of p21 expression has been reported in many carcinomas (gastric carcinoma, non-small cell lung carcinoma, thyroid carcinoma).

Clonality

Monoclonal

Host

Mouse

Isotype

IgG2a Kappa

Theoretical MW

21 kDa.
Disclaimer note: The observed molecular weight of the protein may vary from the listed predicted molecular weight due to post translational modifications, post translation cleavages, relative charges, and other experimental factors.

Description

200ug/ml of antibody purified from Bioreactor Concentrate by Protein A or G. Prepared in 10 mM PBS with 0.05% BSA & 0.05% azide. Also available WITHOUT BSA & azide at 1.0 mg/ml. (NBP2-47897)

Antibody with azide - store at 2 to 8C. Antibody without azide - store at -20 to -80C.

Scientific Data Images for p21/CIP1/CDKN1A Antibody (CIP1/823 + DCS-60.2)

Western Blot: p21/CIP1/CDKN1A Antibody (CIP1/823 + DCS-60.2) [NBP2-44529]

Western Blot: p21/CIP1/CDKN1A Antibody (CIP1/823 + DCS-60.2) [NBP2-44529]

Western Blot: p21/CIP1/CDKN1A Antibody (CIP1/823 + DCS-60.2) [NBP2-44529] - Analysis of human HeLa cell lysate using p21/CIP1/CDKN1A Antibody (CIP1/823 + DCS-60.2).
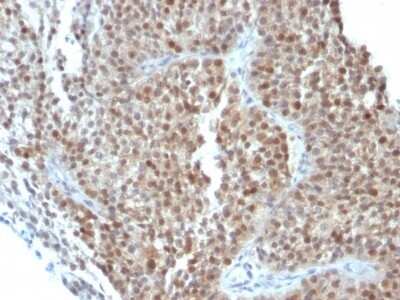
Immunohistochemistry-Paraffin: p21/CIP1/CDKN1A Antibody (CIP1/823 + DCS-60.2) [NBP2-44529]

Immunohistochemistry-Paraffin: p21/CIP1/CDKN1A Antibody (CIP1/823 + DCS-60.2) [NBP2-44529]

Immunohistochemistry-Paraffin: p21/CIP1/CDKN1A Antibody (CIP1/823 + DCS-60.2) [NBP2-44529] - Human Bladder Carcinoma stained with p21 Monoclonal Antibody (CIP1/823 + DCS-60.2).

Applications for p21/CIP1/CDKN1A Antibody (CIP1/823 + DCS-60.2)

Application
Recommended Usage

Immunohistochemistry-Paraffin

2-4 ug/ml

Western Blot

1-2 ug/ml
Application Notes
Immunohistochemistry (Formalin-fixed): 2-4ug/ml for 30 minutes at RT. Staining of formalin-fixed tissues requires heating tissue sections in 10mM Tris with 1mM EDTA, pH 9.0, for 45 min at 95C followed by cooling at RT for 20 minutes.
Optimal dilution for a specific application should be determined.

Formulation, Preparation, and Storage

Purification

Protein A or G purified

Formulation

10 mM PBS with 0.05% BSA

Preservative

0.05% Sodium Azide

Concentration

0.2 mg/ml

Shipping

The product is shipped with polar packs. Upon receipt, store it immediately at the temperature recommended below.

Stability & Storage

Store at 4C.

Background: p21/CIP1/CDKN1A

Cell cycle progression is regulated by cyclins and their cognate Cdks. p21 (WAF1/CIP1) inhibits the activity of each member of the cyclin/Cdk family, and over expression of this protein inhibits the proliferation of mammalian cells. The expression of p21 is inducible by a wide range of stress stimuli. p21 is tightly regulated at the transcriptional level by p53, and probably serves as the effector of p53 cell cycle control.

Long Name

p21 Cyclin Dependent Kinase 4 Inhibitor 1A

Alternate Names

CDKN1A, CIP1

Gene Symbol

CDKN1A

UniProt

Additional p21/CIP1/CDKN1A Products

Product Documents for p21/CIP1/CDKN1A Antibody (CIP1/823 + DCS-60.2)

Certificate of Analysis

To download a Certificate of Analysis, please enter a lot number in the search box below.

Product Specific Notices for p21/CIP1/CDKN1A Antibody (CIP1/823 + DCS-60.2)

This product is for research use only and is not approved for use in humans or in clinical diagnosis. Primary Antibodies are guaranteed for 1 year from date of receipt.

Loading...
Loading...
Loading...
Loading...