p130Cas/BCAR1 Antibody (OTI1A9)
Novus Biologicals, part of Bio-Techne | Catalog # NBP2-00532
Conjugate
Catalog #
Forumulation
Catalog #
Key Product Details
Species Reactivity
Human, Mouse, Rat, Canine, Monkey
Applications
Immunohistochemistry, Immunohistochemistry-Paraffin, Western Blot, Flow Cytometry, Immunocytochemistry/ Immunofluorescence
Label
Unconjugated
Antibody Source
Monoclonal Mouse IgG1 Clone # OTI1A9
Concentration
0.53 mg/ml
Product Specifications
Immunogen
Full length human recombinant protein of human BCAR1 (NP_055382) produced in HEK293T cell.
Reactivity Notes
Please note that this antibody is reactive to Mouse and derived from the same host, Mouse. Mouse-On-Mouse blocking reagent may be needed for IHC and ICC experiments to reduce high background signal. You can find these reagents under catalog numbers PK-2200-NB and MP-2400-NB. Please contact Technical Support if you have any questions.
Clonality
Monoclonal
Host
Mouse
Isotype
IgG1
Theoretical MW
93.2 kDa.
Disclaimer note: The observed molecular weight of the protein may vary from the listed predicted molecular weight due to post translational modifications, post translation cleavages, relative charges, and other experimental factors.
Disclaimer note: The observed molecular weight of the protein may vary from the listed predicted molecular weight due to post translational modifications, post translation cleavages, relative charges, and other experimental factors.
Description
Novus Biologicals Mouse p130Cas/BCAR1 Antibody (OTI1A9) (NBP2-00532) is a monoclonal antibody validated for use in IHC, WB, Flow and ICC/IF. Anti-p130Cas/BCAR1 Antibody: Cited in 1 publication. All Novus Biologicals antibodies are covered by our 100% guarantee.
Scientific Data Images for p130Cas/BCAR1 Antibody (OTI1A9)
Western Blot: BCAR1 Antibody (1A9) [NBP2-00532] Analysis of extracts (35ug) from 9 different cell lines by using anti-BCAR1 monoclonal antibody.
Immunocytochemistry/ Immunofluorescence: p130Cas/BCAR1 Antibody (OTI1A9) [NBP2-00532]
Immunocytochemistry/Immunofluorescence: BCAR1 Antibody (1A9) [NBP2-00532] - Staining of COS7 cells transiently transfected by pCMV6-ENTRY BCAR1.Immunohistochemistry-Paraffin: p130Cas/BCAR1 Antibody (OTI1A9) [NBP2-00532]
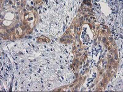
Immunohistochemistry-Paraffin: BCAR1 Antibody (1A9) [NBP2-00532] - Staining of paraffin-embedded Carcinoma of Human pancreas tissue using anti-BCAR1 mouse monoclonal antibody.Applications for p130Cas/BCAR1 Antibody (OTI1A9)
Application
Recommended Usage
Flow Cytometry
1:100
Immunocytochemistry/ Immunofluorescence
1:100
Immunohistochemistry
1:150
Immunohistochemistry-Paraffin
1:150
Western Blot
1:500-2000
Formulation, Preparation, and Storage
Purification
Immunogen affinity purified
Formulation
PBS (pH 7.3), 1.0% BSA and 50% Glycerol
Preservative
0.02% Sodium Azide
Concentration
0.53 mg/ml
Shipping
The product is shipped with polar packs. Upon receipt, store it immediately at the temperature recommended below.
Stability & Storage
Store at -20C. Avoid freeze-thaw cycles.
Background: p130Cas
Long Name
Breast Cancer Anti-estrogen Resistance 1
Alternate Names
BCAR1, CASS1, CRKAS
Entrez Gene IDs
9564 (Human)
Gene Symbol
BCAR1
Additional p130Cas Products
Product Documents for p130Cas/BCAR1 Antibody (OTI1A9)
Product Specific Notices for p130Cas/BCAR1 Antibody (OTI1A9)
This product is for research use only and is not approved for use in humans or in clinical diagnosis. Primary Antibodies are guaranteed for 1 year from date of receipt.
Loading...
Loading...
Loading...
Loading...
Loading...