Skip to main content

p120-catenin Antibody (OTI2E8)

Novus Biologicals, part of Bio-Techne | Catalog # NBP2-45646

Novus Biologicals, part of Bio-Techne

Key Product Details

Species Reactivity

Human, Mouse, Rat, Canine

Applications

Immunohistochemistry, Immunohistochemistry-Paraffin, Western Blot

Label

Unconjugated

Antibody Source

Monoclonal Mouse IgG1 Clone # OTI2E8

Concentration

1 mg/ml

Product Specifications

Immunogen

Full length human recombinant protein of human CTNND1 (NP_001078927) produced in HEK293T cell.

Reactivity Notes

Please note that this antibody is reactive to Mouse and derived from the same host, Mouse. Mouse-On-Mouse blocking reagent may be needed for IHC and ICC experiments to reduce high background signal. You can find these reagents under catalog numbers PK-2200-NB and MP-2400-NB. Please contact Technical Support if you have any questions.

Clonality

Monoclonal

Host

Mouse

Isotype

IgG1

Theoretical MW

108 kDa.
Disclaimer note: The observed molecular weight of the protein may vary from the listed predicted molecular weight due to post translational modifications, post translation cleavages, relative charges, and other experimental factors.

Description

Novus Biologicals Mouse p120-catenin Antibody (OTI2E8) (NBP2-45646) is a monoclonal antibody validated for use in IHC and WB. All Novus Biologicals antibodies are covered by our 100% guarantee.

Scientific Data Images for p120-catenin Antibody (OTI2E8)

Western Blot: p120-catenin Antibody (OTI2E8) [NBP2-45646]

Western Blot: p120-catenin Antibody (OTI2E8) [NBP2-45646]

Western Blot: p120-catenin Antibody (2E8) [NBP2-45646] - Analysis of HEK293T cells were transfected with the pCMV6-ENTRY control (Left lane) or pCMV6-ENTRY p120-catenin.
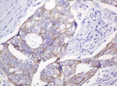
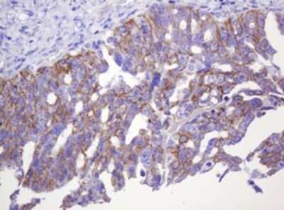
Immunohistochemistry: p120-catenin Antibody (OTI2E8) [NBP2-45646]

Immunohistochemistry: p120-catenin Antibody (OTI2E8) [NBP2-45646]

Immunohistochemistry: p120-catenin Antibody (2E8) [NBP2-45646] - Analysis of Carcinoma of Human bladder tissue. (Heat-induced epitope retrieval by 10mM citric buffer, pH6.0, 120C for 3min)
Western Blot: p120-catenin Antibody (OTI2E8) [NBP2-45646]

Western Blot: p120-catenin Antibody (OTI2E8) [NBP2-45646]

Western Blot: p120-catenin Antibody (2E8) [NBP2-45646] - Analysis of extracts (35ug) from 9 different cell lines by using CTNND1 monoclonal antibody (HepG2: human; HeLa: human; SVT2: mouse; A549: human; COS7: monkey; Jurkat: human; MDCK: canine; PC12: rat; MCF7: human). Dilution: 1:2000

Applications for p120-catenin Antibody (OTI2E8)

Application
Recommended Usage

Immunohistochemistry

1:150

Immunohistochemistry-Paraffin

1:150

Western Blot

1:2000

Formulation, Preparation, and Storage

Purification

Immunogen affinity purified

Formulation

PBS (pH 7.3), 1.0% BSA and 50% Glycerol

Preservative

0.02% Sodium Azide

Concentration

1 mg/ml

Shipping

The product is shipped with polar packs. Upon receipt, store it immediately at the temperature recommended below.

Stability & Storage

Store at -20C. Avoid freeze-thaw cycles.

Background: p120-catenin

The alpha, beta, delta, and gamma -catenins are proteins that bind to the highly conserved, intracellular cytoplasmic tail of E-cadherin. Together, the catenin/cadherin complexes play an important role mediating cellular adhesion. alpha-catenin, a 102 kDa protein, interacts with E-cadherin associated protein, and also associates with other members of the cadherin family, such as N-cadherin and P-cadherin. The 92 kDa beta-catenin associates with the cytoplasmic portion of E-cadherin, which is necessary for the function of E-cadherin as an adhesion molecule. beta-catenin also complexes with the tumor suppressor protein APC. delta-catenin interacts with Presenilin 1 and is expressed in the brain. The gene encoding delta-catenin maps to human chromosome 5p15.2. A hemizygous loss of the gene encoding delta-catenin leads to the mental retardation associated with Cri-du-Chat syndrome. gamma-catenin, also known as plakoglobin, is an 80-88 kDa protein that binds alpha-catenin and N-cadherin. In addition, the transmembrane phosphatase PTPm associates with catenin/cadherin complexes and may regulate complex signaling.

Alternate Names

Cadherin-associated Src substrate, CAS, catenin (cadherin-associated protein), delta 1, catenin delta-1, CTNND, KIAA0384P120CAS, p120, p120 catenin, p120(cas), p120(CTN), p120cas, p120ctn

Gene Symbol

CTNND1

Additional p120-catenin Products

Product Documents for p120-catenin Antibody (OTI2E8)

Certificate of Analysis

To download a Certificate of Analysis, please enter a lot number in the search box below.

Product Specific Notices for p120-catenin Antibody (OTI2E8)

This product is for research use only and is not approved for use in humans or in clinical diagnosis. Primary Antibodies are guaranteed for 1 year from date of receipt.

Loading...
Loading...
Loading...
Loading...