Skip to main content

p107 Antibody - BSA Free

Novus Biologicals, part of Bio-Techne | Catalog # NBP2-33791

Novus Biologicals, part of Bio-Techne
Catalog #
Availability
Size / Price
Qty
Loading...
NBP2-33791
NBP2-33791-25ul

Key Product Details

Validated by

Independent Antibodies

Species Reactivity

Human

Applications

Immunocytochemistry/ Immunofluorescence, Immunohistochemistry, Immunohistochemistry-Paraffin, Western Blot

Label

Unconjugated

Antibody Source

Polyclonal Rabbit IgG

Format

BSA Free

Concentration

Concentrations vary lot to lot. See vial label for concentration. If unlisted please contact technical services.

Product Specifications

Immunogen

This antibody was developed against a recombinant protein corresponding to amino acids: DAEEEIGTPRKFTRDTPLGKLTAQANVEYNLQQHFEKKRSFAPSTPLTGRRYLRE

Reactivity Notes

Immunogen displays the following percentage of sequence identity for non-tested species: Mouse (89%), Rat (84%)

Clonality

Polyclonal

Host

Rabbit

Isotype

IgG

Description

Novus Biologicals Rabbit p107 Antibody - BSA Free (NBP2-33791) is a polyclonal antibody validated for use in IHC, WB and ICC/IF. All Novus Biologicals antibodies are covered by our 100% guarantee.

Scientific Data Images for p107 Antibody - BSA Free

Western Blot: p107 Antibody [NBP2-33791]

Western Blot: p107 Antibody [NBP2-33791]

Western Blot: p107 Antibody [NBP2-33791] - Lane 1: Marker [kDa] 250, 130, 95, 72, 55, 36, 28, 17, 10. Lane 2: Human cell line RT-4. Lane 3: Human cell line U-251MG sp. Lane 4: Human plasma (IgG/HSA depleted). Lane 5: Human liver tissue. Lane 6: Human tonsil tissue
Immunocytochemistry/ Immunofluorescence: p107 Antibody [NBP2-33791]

Immunocytochemistry/ Immunofluorescence: p107 Antibody [NBP2-33791]

Immunocytochemistry/Immunofluorescence: p107 Antibody [NBP2-33791] - Staining of human cell line U-2 OS shows localization to nucleoplasm. Antibody staining is shown in green.
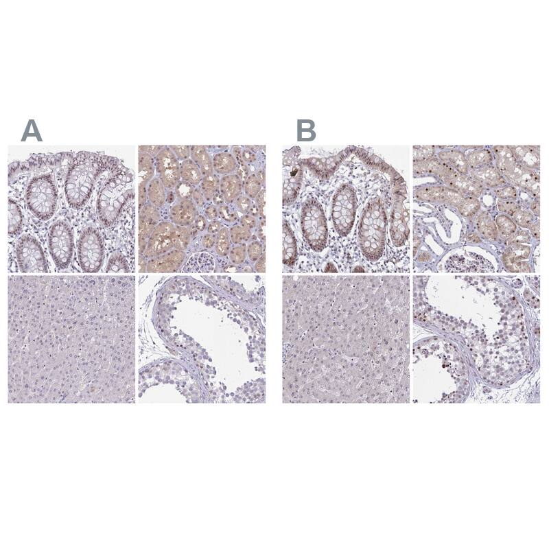
Immunohistochemistry-Paraffin: p107 Antibody [NBP2-33791]

Immunohistochemistry-Paraffin: p107 Antibody [NBP2-33791]

Immunohistochemistry-Paraffin: p107 Antibody [NBP2-33791] - Staining of human colon.

Applications for p107 Antibody - BSA Free

Application
Recommended Usage

Immunocytochemistry/ Immunofluorescence

0.25-2 ug/ml

Immunohistochemistry

1:500 - 1:1000

Immunohistochemistry-Paraffin

1:500 - 1:1000

Western Blot

0.04 - 0.4 ug/ml
Application Notes
For IHC-Paraffin, HIER pH 6 retrieval is recommended. ICC/IF Fixation Permeabilization: Use PFA/Triton X-100.

Formulation, Preparation, and Storage

Purification

Immunogen affinity purified

Formulation

PBS (pH 7.2) and 40% Glycerol

Format

BSA Free

Preservative

0.02% Sodium Azide

Concentration

Concentrations vary lot to lot. See vial label for concentration. If unlisted please contact technical services.

Shipping

The product is shipped with polar packs. Upon receipt, store it immediately at the temperature recommended below.

Stability & Storage

Store at 4C short term. Aliquot and store at -20C long term. Avoid freeze-thaw cycles.

Background: p107

p107, also known as Retinoblastoma-like protein 1, consists of a 121 kDa 1068 and 115 kDa 1014 isoform. The primary function of p107 is to encode a gene that plays a crutial role in regulating entry into cell division. Current research on p107 is being conducted in relation to carcinoma, cholangiocarcinoma, osteosarcoma, lung cancer, prostate cancer, breast cancer, endometrial cancer, glioblastoma, burkitt's lymphoma, myeloid leukemia and cervicitis. p107 is linked to the cell cycle, transcription, s phase, senescence and DNA replication pathways where it interacts with HIST1H4A, HIST1H4B, HIST1H4C, HIST1H4D and HIST1H4E.

Alternate Names

cellular protein 107,107 kDa retinoblastoma-associated protein, CP107, p107MGC40006, pRb1, retinoblastoma-like 1 (p107), retinoblastoma-like protein 1

Gene Symbol

RBL1

UniProt

Additional p107 Products

Product Documents for p107 Antibody - BSA Free

Certificate of Analysis

To download a Certificate of Analysis, please enter a lot number in the search box below.

Product Specific Notices for p107 Antibody - BSA Free

This product is for research use only and is not approved for use in humans or in clinical diagnosis. Primary Antibodies are guaranteed for 1 year from date of receipt.

Loading...
Loading...
Loading...
Loading...