Skip to main content

OXCT1 Antibody - BSA Free

Novus Biologicals, part of Bio-Techne | Catalog # NBP1-82462

Novus Biologicals, part of Bio-Techne
Catalog #
Availability
Size / Price
Qty
Loading...
NBP1-82462
NBP1-82462-25ul

Key Product Details

Validated by

Orthogonal Validation, Independent Antibodies

Species Reactivity

Validated:

Human, Mouse, Rat

Cited:

Mouse

Applications

Validated:

Immunohistochemistry, Immunohistochemistry-Paraffin, Western Blot, Immunocytochemistry/ Immunofluorescence

Cited:

Western Blot, IF/IHC

Label

Unconjugated

Antibody Source

Polyclonal Rabbit IgG

Format

BSA Free

Concentration

Concentrations vary lot to lot. See vial label for concentration. If unlisted please contact technical services.

Product Specifications

Immunogen

This antibody was developed against Recombinant Protein corresponding to amino acids: VGGFGLCGIPENLIDALLKTGVKGLTAVSNNAGVDNFGLGLLLRSKQIKRMVSSYVGENAEFERQYLSGELEVELTPQGTLAERIRAGGAGVPAFYTPTGYGTLVQEGGSPIKYNKDGSVAIASKPREVREFNGQHFILEEAITGDF

Clonality

Polyclonal

Host

Rabbit

Isotype

IgG

Theoretical MW

56 kDa.
Disclaimer note: The observed molecular weight of the protein may vary from the listed predicted molecular weight due to post translational modifications, post translation cleavages, relative charges, and other experimental factors.

Description

Novus Biologicals Rabbit OXCT1 Antibody - BSA Free (NBP1-82462) is a polyclonal antibody validated for use in IHC, WB and ICC/IF. Anti-OXCT1 Antibody: Cited in 3 publications. All Novus Biologicals antibodies are covered by our 100% guarantee.

Scientific Data Images for OXCT1 Antibody - BSA Free

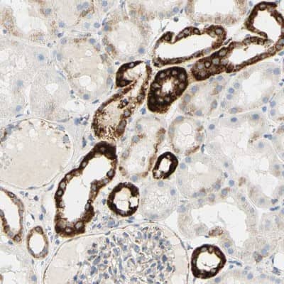
Immunohistochemistry-Paraffin: OXCT1 Antibody [NBP1-82462]

Immunohistochemistry-Paraffin: OXCT1 Antibody [NBP1-82462]

Immunohistochemistry-Paraffin: OXCT1 Antibody [NBP1-82462] - Analysis in human heart muscle and liver tissues. Corresponding OXCT1 RNA-seq data are presented for the same tissues.
Immunohistochemistry-Paraffin: OXCT1 Antibody [NBP1-82462]

Immunohistochemistry-Paraffin: OXCT1 Antibody [NBP1-82462]

Immunohistochemistry-Paraffin: OXCT1 Antibody [NBP1-82462] - Staining of human heart muscle, kidney, liver and testis using Anti-OXCT1 antibody NBP1-82462 (A) shows similar protein distribution across tissues to independent antibody NBP2-49331 (B).
Western Blot: OXCT1 Antibody [NBP1-82462]

Western Blot: OXCT1 Antibody [NBP1-82462]

Western Blot: OXCT1 Antibody [NBP1-82462] - Analysis in human cell lines HeLa and A-549. Corresponding RNA-seq data are presented for the same cell lines. Loading control: Anti-COX4I1.

Applications for OXCT1 Antibody - BSA Free

Application
Recommended Usage

Immunocytochemistry/ Immunofluorescence

0.25-2 ug/ml

Immunohistochemistry

1:500 - 1:1000

Immunohistochemistry-Paraffin

1:500 - 1:1000

Western Blot

0.04-0.4 ug/ml
Application Notes
For IHC-Paraffin, HIER pH 6 retrieval is recommended. ICC/IF Fixation Permeabilization: Use PFA/Triton X-100.

Formulation, Preparation, and Storage

Purification

Affinity purified

Formulation

PBS (pH 7.2) and 40% Glycerol

Format

BSA Free

Preservative

0.02% Sodium Azide

Concentration

Concentrations vary lot to lot. See vial label for concentration. If unlisted please contact technical services.

Shipping

The product is shipped with polar packs. Upon receipt, store it immediately at the temperature recommended below.

Stability & Storage

Store at 4C short term. Aliquot and store at -20C long term. Avoid freeze-thaw cycles.

Background: OXCT1

OXCT1 encodes a member of the 3-oxoacid CoA-transferase gene family. The encoded protein is a homodimeric mitochondrial matrix enzyme that plays a central role in extrahepatic ketone body catabolism by catalyzing the reversible transfer of coenzyme A from succinyl-CoA to acetoacetate. Mutations in this gene are associated with succinyl CoA:3-oxoacid CoA transferase deficiency. [provided by RefSeq]

Alternate Names

3-oxoacid CoA transferase 1,3-oxoacid CoA transferase, EC 2.8.3, EC 2.8.3.5, SCOTmitochondrial

Entrez Gene IDs

5019 (Human)

Gene Symbol

OXCT1

UniProt

Additional OXCT1 Products

Product Documents for OXCT1 Antibody - BSA Free

Certificate of Analysis

To download a Certificate of Analysis, please enter a lot number in the search box below.

Product Specific Notices for OXCT1 Antibody - BSA Free

This product is for research use only and is not approved for use in humans or in clinical diagnosis. Primary Antibodies are guaranteed for 1 year from date of receipt.

Loading...
Loading...
Loading...
Loading...