Skip to main content

OSR1 Antibody - BSA Free

Novus Biologicals, part of Bio-Techne | Catalog # NBP3-35813

Novus Biologicals, part of Bio-Techne
Catalog #
Availability
Size / Price
Qty
Loading...
NBP3-35813-100ul
NBP3-35813-20ul

Key Product Details

Species Reactivity

Human, Mouse, Rat

Applications

ELISA, Immunohistochemistry, Immunohistochemistry-Paraffin, Western Blot

Label

Unconjugated

Antibody Source

Polyclonal Rabbit IgG

Format

BSA Free

Concentration

Please see the vial label for concentration. If unlisted please contact technical services.

Product Specifications

Immunogen

Recombinant fusion protein containing a sequence corresponding to amino acids 28-115 of human OSR1 (NP_660303.1).

Sequence:
MGSKTLPAPVPIHPSLQLTNYSFLQAVNGLPTVPSDHLPNLYGFSALHAVHLHQWTLGYPAMHLPRSSFSKVPGTVSSLVDARFQLPAFPWFPHVIQPKPEITAGGSVPALKTKPRFDFANLALAATQEDPAKLGRGEGPGSPAGGLGALLDVTKLSPEKKPTRGRLPSKTKKEFVCKFCGRHFTKSYNLLIHERTHTDERPYTCDICHKAFRRQDHLRDHRYIHSKEKPFKCQECGKGFCQSRTLAVHKTLHSQVKELKTSKIKC

Clonality

Polyclonal

Host

Rabbit

Isotype

IgG

Theoretical MW

30 kDa.
Disclaimer note: The observed molecular weight of the protein may vary from the listed predicted molecular weight due to post translational modifications, post translation cleavages, relative charges, and other experimental factors.

Description

Novus Biologicals Rabbit OSR1 Antibody - BSA Free (NBP3-35813) is a polyclonal antibody validated for use in IHC, WB and ELISA. All Novus Biologicals antibodies are covered by our 100% guarantee.

Scientific Data Images for OSR1 Antibody - BSA Free

OSR1 Antibody

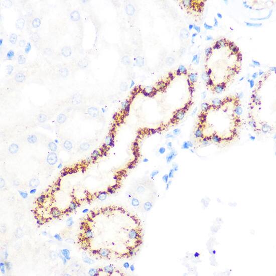
Immunohistochemistry: OSR1 Antibody [NBP3-35813] -

Immunohistochemistry: OSR1 Antibody [NBP3-35813] - Immunohistochemistry analysis of paraffin-embedded Mouse kidney using OSR1 Rabbit pAb at dilution of 1:100 (40x lens). Microwave antigen retrieval performed with 0.01M PBS Buffer (pH 7.2) prior to IHC staining.
OSR1 Antibody

Immunohistochemistry: OSR1 Antibody [NBP3-35813] -

Immunohistochemistry: OSR1 Antibody [NBP3-35813] - Immunohistochemistry analysis of paraffin-embedded Rat kidney using OSR1 Rabbit pAb at dilution of 1:100 (40x lens). Microwave antigen retrieval performed with 0.01M PBS Buffer (pH 7.2) prior to IHC staining.
OSR1 Antibody

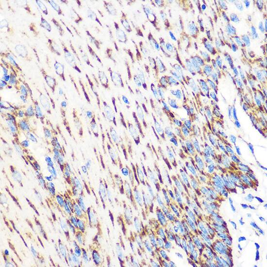
Immunohistochemistry: OSR1 Antibody [NBP3-35813] -

Immunohistochemistry: OSR1 Antibody [NBP3-35813] - Immunohistochemistry analysis of paraffin-embedded Human esophageal using OSR1 Rabbit pAb at dilution of 1:100 (40x lens). Microwave antigen retrieval performed with 0.01M PBS Buffer (pH 7.2) prior to IHC staining.

Applications for OSR1 Antibody - BSA Free

Application
Recommended Usage

Immunohistochemistry-Paraffin

1:50 - 1:200

Western Blot

1:500 - 1:2000

Formulation, Preparation, and Storage

Purification

Affinity purified

Formulation

PBS (pH 7.3), 50% glycerol

Format

BSA Free

Preservative

0.01% Thimerosal

Concentration

Please see the vial label for concentration. If unlisted please contact technical services.

Shipping

The product is shipped with polar packs. Upon receipt, store it immediately at the temperature recommended below.

Stability & Storage

Store at -20C. Avoid freeze-thaw cycles.

Background: OSR1

OXSR1 is a serine/threonine kinase which regulates downstream kinases in response to environmental stress such as osmotic stresses. It may have a role in regulating the actin cytoskeleton.

Alternate Names

ODDodd-skipped (Drosophila) homolog, odd-skipped homolog, odd-skipped related 1 (Drosophila), protein odd-skipped-related 1

Gene Symbol

OSR1

Additional OSR1 Products

Product Documents for OSR1 Antibody - BSA Free

Certificate of Analysis

To download a Certificate of Analysis, please enter a lot number in the search box below.

Product Specific Notices for OSR1 Antibody - BSA Free

This product is for research use only and is not approved for use in humans or in clinical diagnosis. Primary Antibodies are guaranteed for 1 year from date of receipt.

Loading...
Loading...
Loading...
Loading...