Skip to main content

OSBPL2 Antibody - BSA Free

Novus Biologicals, part of Bio-Techne | Catalog # NBP1-92236

Novus Biologicals, part of Bio-Techne
Catalog #
Availability
Size / Price
Qty
Loading...
NBP1-92236-25ul
NBP1-92236

Key Product Details

Species Reactivity

Validated:

Human

Cited:

Human

Applications

Validated:

Immunohistochemistry, Immunohistochemistry-Paraffin, Western Blot, Immunocytochemistry/ Immunofluorescence

Cited:

Western Blot, Immunocytochemistry/ Immunofluorescence, Immunoprecipitation

Label

Unconjugated

Antibody Source

Polyclonal Rabbit IgG

Format

BSA Free

Concentration

Concentrations vary lot to lot. See vial label for concentration. If unlisted please contact technical services.

Product Specifications

Immunogen

This antibody was developed against Recombinant Protein corresponding to amino acids: MNGEEEFFDAVTGFDSDNSSGEFSEANQKVTGMIDLDTSKNNRIGKTGERPSQENGIQKHRT

Reactivity Notes

Immunogen displays the following percentage of sequence identity for non-tested species: Mouse (84%), Rat (85%)

Clonality

Polyclonal

Host

Rabbit

Isotype

IgG

Description

Novus Biologicals Rabbit OSBPL2 Antibody - BSA Free (NBP1-92236) is a polyclonal antibody validated for use in IHC, WB, ICC/IF and IP. Anti-OSBPL2 Antibody: Cited in 3 publications. All Novus Biologicals antibodies are covered by our 100% guarantee.

Scientific Data Images for OSBPL2 Antibody - BSA Free

Western Blot: OSBPL2 Antibody [NBP1-92236]

Western Blot: OSBPL2 Antibody [NBP1-92236]

Western Blot: OSBPL2 Antibody [NBP1-92236] - Lane 1: Marker [kDa] 250, 130, 95, 72, 55, 36, 28, 17, 10. Lane 2: Human cell line RT-4
Immunocytochemistry/ Immunofluorescence: OSBPL2 Antibody [NBP1-92236]

Immunocytochemistry/ Immunofluorescence: OSBPL2 Antibody [NBP1-92236]

Immunocytochemistry/Immunofluorescence: OSBPL2 Antibody [NBP1-92236] - Staining of human cell line U-2 OS shows localization to cytosol. Antibody staining is shown in green.
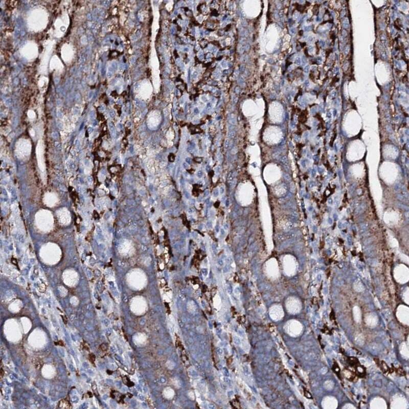
OSBPL2 Antibody - BSA Free Immunohistochemistry: OSBPL2 Antibody - BSA Free [NBP1-92236]

Immunohistochemistry: OSBPL2 Antibody - BSA Free [NBP1-92236]

Staining of human duodenum shows cytoplasmic positivity in glandular cells.

Applications for OSBPL2 Antibody - BSA Free

Application
Recommended Usage

Immunocytochemistry/ Immunofluorescence

0.25-2 ug/ml

Immunohistochemistry

1:200 - 1:500

Immunohistochemistry-Paraffin

1:200 - 1:500

Western Blot

0.04-0.4 ug/ml
Application Notes
For IHC-Paraffin, HIER pH 6 retrieval is recommended. ICC/IF Fixation Permeabilization: Use PFA/Triton X-100.

Reviewed Applications

Read 1 review rated 4 using NBP1-92236 in the following applications:

Formulation, Preparation, and Storage

Purification

Immunogen affinity purified

Formulation

PBS (pH 7.2) and 40% Glycerol

Format

BSA Free

Preservative

0.02% Sodium Azide

Concentration

Concentrations vary lot to lot. See vial label for concentration. If unlisted please contact technical services.

Shipping

The product is shipped with polar packs. Upon receipt, store it immediately at the temperature recommended below.

Stability & Storage

Store at 4C short term. Aliquot and store at -20C long term. Avoid freeze-thaw cycles.

Background: OSBPL2

OSBPL2 encodes a member of the oxysterol-binding protein (OSBP) family, a group of intracellular lipid receptors. Most members contain an N-terminal pleckstrin homology domain and a highly conserved C-terminal OSBP-like sterol-binding domain, although some members contain only the sterol-binding domain. This encoded protein contains only the sterol-binding domain. In vitro studies have shown that the encoded protein can bind strongly to phosphatic acid and weakly to phosphatidylinositol 3-phosphate, but cannot bind to 25-hydroxycholesterol. The protein associates with the Golgi apparatus. Transcript variants encoding different isoforms have been described.

Alternate Names

KIAA0772FLJ20223, ORP-2MGC4307, ORP2MGC8342, OSBP-related protein 2, oxysterol binding protein-like 2, oxysterol-binding protein-like 2, oxysterol-binding protein-related protein 2

Gene Symbol

OSBPL2

Additional OSBPL2 Products

Product Documents for OSBPL2 Antibody - BSA Free

Certificate of Analysis

To download a Certificate of Analysis, please enter a lot number in the search box below.

Product Specific Notices for OSBPL2 Antibody - BSA Free

This product is for research use only and is not approved for use in humans or in clinical diagnosis. Primary Antibodies are guaranteed for 1 year from date of receipt.

Loading...
Loading...
Loading...
Loading...