Skip to main content

Orc2 Antibody (3E11-1G5) - Azide and BSA Free

Novus Biologicals, part of Bio-Techne | Catalog # H00004999-M01

Novus Biologicals, part of Bio-Techne
Catalog #
Availability
Size / Price
Qty
Loading...
H00004999-M01

Key Product Details

Species Reactivity

Human

Applications

Immunohistochemistry, Immunohistochemistry-Paraffin, Western Blot, ELISA, Sandwich ELISA

Label

Unconjugated

Antibody Source

Monoclonal Mouse IgG1 kappa Clone # 3E11-1G5

Format

Azide and BSA Free

Concentration

Concentrations vary lot to lot. See vial label for concentration. If unlisted please contact technical services.

Product Specifications

Immunogen

ORC2L (AAH14834, 1 a.a. ~ 577 a.a) full-length recombinant protein with GST tag. MW of the GST tag alone is 26 KDa. MSKPELKEDKMLEVHFVGDDDVLNHILDREGGAKLKKERAQLLVNPKKIIKKPEYDLEEDDQEVLKDQNYVEIMGRDVQESLKNGSATGGGNKVYSFQNRKHSEKMAKLASELAKTPQKSVSFSLKNDPEITINVPQSSKGHSASDKVQPKNNDKSEFLSTAPRSLRKRLIVPRSHSDSESEYSASNSEDDEGVAQEHEEDTNAVIFSQKIQAQNRVVSAPVGKETPSKRMKRDKTSDLVEEYFEAHSSSKVLTSDRTLQKLKRAKLDQQTLRNLLSKVSPSFSAELKQLNQQYEKLFHKWMLQLHLGFNIVLYGLGSKRDLLERFRTTMLQDSIHVVINGFFPGISVKSVLNSITEEVLDHMGTFRSILDQLDWIVNKFKEDSSLELFLLIHNLDSQMLRGEKSQQIIGQLSSLHNIYLIASIDHLNAPLMWDHAKQSLFNWLWYETTTYSPYTEETSYENSLLVKQSGSLPLSSLTHVLRSLTPNARGIFRLLIKYQLDNQDNPSYIGLSFQDFYQQCREAFLVNSDLTLRAQLTEFRDHKLIRTKKGTDGVEYLLIPVDNGTLTDFLEKEEEEA

Localization

Nuclear

Specificity

ORC2L - origin recognition complex, subunit 2-like (yeast)

Marker

Chromatin Marker

Clonality

Monoclonal

Host

Mouse

Isotype

IgG1 kappa

Description

Quality control test: Antibody Reactive Against Recombinant Protein.

Scientific Data Images for Orc2 Antibody (3E11-1G5) - Azide and BSA Free

Western Blot: Orc2 Antibody (3E11-1G5) [H00004999-M01]

Western Blot: Orc2 Antibody (3E11-1G5) [H00004999-M01]

Western Blot: Orc2 Antibody (3E11-1G5) [H00004999-M01] - ORC2L monoclonal antibody (M01), clone 3E11-1G5 Analysis of ORC2L expression in Jurkat.
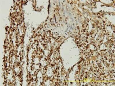
Immunohistochemistry-Paraffin: Orc2 Antibody (3E11-1G5) [H00004999-M01]

Immunohistochemistry-Paraffin: Orc2 Antibody (3E11-1G5) [H00004999-M01]

Immunohistochemistry-Paraffin: Orc2 Antibody (3E11-1G5) [H00004999-M01] - Analysis of monoclonal antibody to ORC2L on formalin-fixed paraffin-embedded human spleen tissue.Antibody concentration 5 ug/ml.
Western Blot: Orc2 Antibody (3E11-1G5) [H00004999-M01]

Western Blot: Orc2 Antibody (3E11-1G5) [H00004999-M01]

Western Blot: Orc2 Antibody (3E11-1G5) [H00004999-M01] - Western Blot analysis of ORC2L expression in Jurkat ( Cat # L017V1 ).

Applications for Orc2 Antibody (3E11-1G5) - Azide and BSA Free

Application
Recommended Usage

Western Blot

1:500
Application Notes
Antibody reactivity against cell lysate and recombinant protein for WB. It has also been used for IHC-P and ELISA.

Formulation, Preparation, and Storage

Purification

IgG purified

Formulation

In 1x PBS, pH 7.4

Format

Azide and BSA Free

Preservative

No Preservative

Concentration

Concentrations vary lot to lot. See vial label for concentration. If unlisted please contact technical services.

Shipping

The product is shipped with polar packs. Upon receipt, store it immediately at the temperature recommended below.

Stability & Storage

Aliquot and store at -20C or -80C. Avoid freeze-thaw cycles.

Background: Orc2

The origin recognition complex (ORC) is a highly conserved six subunits protein complex essential for the initiation of the DNA replication in eukaryotic cells. Studies in yeast demonstrated that ORC binds specifically to origins of replication and serves as a platform for the assembly of additional initiation factors such as Cdc6 and Mcm proteins. The protein encoded by this gene is a subunit of the ORC complex. This protein forms a core complex with ORC3L, -4L, and -5L. It also interacts with CDC45L and MCM10, which are proteins known to be important for the initiation of DNA replication. This protein has been demonstrated to specifically associate with the origin of replication of Epstein-Barr virus in human cells, and is thought to be required for DNA replication from viral origin of replication.

Alternate Names

ORC2Lorigin recognition complex subunit 2, origin recognition complex protein 2 homolog, origin recognition complex, subunit 2, origin recognition complex, subunit 2 (yeast homolog)-like, origin recognition complex, subunit 2 homolog, origin recognition complex, subunit 2 homolog (yeast), origin recognition complex, subunit 2-like, origin recognition complex, subunit 2-like (yeast)

Entrez Gene IDs

4999 (Human)

Gene Symbol

ORC2

OMIM

601182 (Human)

Additional Orc2 Products

Product Documents for Orc2 Antibody (3E11-1G5) - Azide and BSA Free

Certificate of Analysis

To download a Certificate of Analysis, please enter a lot number in the search box below.

Product Specific Notices for Orc2 Antibody (3E11-1G5) - Azide and BSA Free

This product is produced by and distributed for Abnova, a company based in Taiwan.

This product is for research use only and is not approved for use in humans or in clinical diagnosis. Primary Antibodies are guaranteed for 1 year from date of receipt.

Loading...
Loading...
Loading...
Loading...