Skip to main content

Orai1 Antibody - BSA Free

Novus Biologicals, part of Bio-Techne | Catalog # NBP1-77289

Novus Biologicals, part of Bio-Techne

Key Product Details

Species Reactivity

Validated:

Human, Mouse

Cited:

Human, Rat

Predicted:

Chicken (100%), Rat (93%). Backed by our 100% Guarantee.

Applications

Validated:

Immunohistochemistry, Immunohistochemistry-Paraffin, Western Blot, ELISA, Immunocytochemistry/ Immunofluorescence

Cited:

Immunohistochemistry, IF/IHC

Label

Unconjugated

Antibody Source

Polyclonal Rabbit IgG

Format

BSA Free

Concentration

1 mg/ml

Product Specifications

Immunogen

Antibody was raised against a 16 amino acid synthetic peptide from near the carboxy terminus of human ORAI1. The immunogen is located within the last 50 amino acids of ORAI1. Amino Acid Squence: QDQLDHRGDHPLTPG

Specificity

This antibody is predicted to have no cross-reactivity to ORAI2 or ORAI3.

Clonality

Polyclonal

Host

Rabbit

Isotype

IgG

Description

Novus Biologicals Rabbit Orai1 Antibody - BSA Free (NBP1-77289) is a polyclonal antibody validated for use in IHC, WB, ELISA and ICC/IF. Anti-Orai1 Antibody: Cited in 2 publications. All Novus Biologicals antibodies are covered by our 100% guarantee.

Scientific Data Images for Orai1 Antibody - BSA Free

Western Blot: Orai1 AntibodyBSA Free [NBP1-77289]

Western Blot: Orai1 AntibodyBSA Free [NBP1-77289]

Western Blot: Orai1 Antibody - BSA Free [NBP1-77289] - Human ovary tissue lysate with ORAI1 antibody at (A) 0.5, (B) 1 and (C) 2 ug/mL.
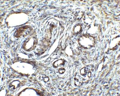
Immunohistochemistry-Paraffin: Orai1 Antibody - BSA Free [NBP1-77289]

Immunohistochemistry-Paraffin: Orai1 Antibody - BSA Free [NBP1-77289]

Immunohistochemistry-Paraffin: Orai1 Antibody - BSA Free [NBP1-77289] - Analysis of ORAI1 in human ovary tissue with ORAI1 antibody at 2.5 ug/ml.
Orai1 Antibody - BSA Free

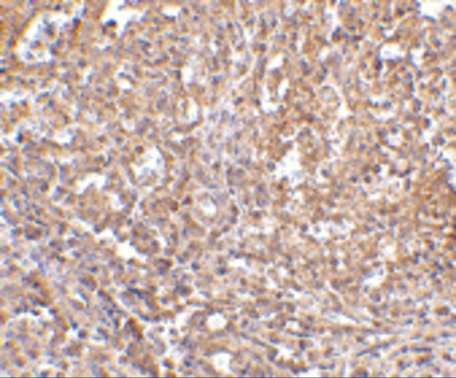
Immunohistochemistry: Orai1 Antibody - BSA Free [NBP1-77289] -

Immunohistochemistry: Orai1 Antibody - BSA Free [NBP1-77289] - Immunohistochemistry of Orai1 in human spleen tissue with Orai1 antibody at 2.5 u/mL.

Applications for Orai1 Antibody - BSA Free

Application
Recommended Usage

ELISA

1:100-1:2000

Immunocytochemistry/ Immunofluorescence

20 ug/ml

Immunohistochemistry

2.5 ug/ml

Immunohistochemistry-Paraffin

2.5 ug/ml

Western Blot

0.5-2 ug/ml
Application Notes
ORAI1 often migrates at a higher than expected molecular weight in SDS-PAGE.

Formulation, Preparation, and Storage

Purification

Peptide affinity purified

Formulation

PBS

Format

BSA Free

Preservative

0.02% Sodium Azide

Concentration

1 mg/ml

Shipping

The product is shipped with polar packs. Upon receipt, store it immediately at the temperature recommended below.

Stability & Storage

Store at 4C short term. Aliquot and store at -20C long term. Avoid freeze-thaw cycles.

Background: Orai1

Antigen stimulation of immune cells triggers Ca++ entry through Ca++ release-activated Ca++ (CRAC) channels. ORAI1 is a recently identified four-transmembrane spanning protein that is an essential component of CRAC. A missense mutation in this protein in humans is the cause of one form of hereditary severe combined immune deficiency (SCID) which results in ablated T-cell Ca++ entry. It has been suggested that ORAI1 functions as a highly selective Ca++ plasma membrane channel that is gated through interactions with STIM1, the store-activated endoplasmic reticulum Ca++ sensor. ORAI1 often migrates at a higher than expected molecular weight in SDS-PAGE. This antibody is predicted to have no cross-reactivity to ORAI2 or ORAI3.

Long Name

ORAI Calcium Release-activated Calcium Modulator 1

Alternate Names

CRACM1, ORAT1, TMEM142A

Entrez Gene IDs

84876 (Human)

Gene Symbol

ORAI1

UniProt

Additional Orai1 Products

Product Documents for Orai1 Antibody - BSA Free

Certificate of Analysis

To download a Certificate of Analysis, please enter a lot number in the search box below.

Product Specific Notices for Orai1 Antibody - BSA Free

This product is for research use only and is not approved for use in humans or in clinical diagnosis. Primary Antibodies are guaranteed for 1 year from date of receipt.

Loading...
Loading...
Loading...
Loading...