Skip to main content

Orai1 Antibody - BSA Free

Novus Biologicals, part of Bio-Techne | Catalog # NBP1-76762

Novus Biologicals, part of Bio-Techne

Key Product Details

Species Reactivity

Human, Mouse

Applications

Immunohistochemistry, Immunohistochemistry-Paraffin, Western Blot, ELISA, Immunocytochemistry/ Immunofluorescence

Label

Unconjugated

Antibody Source

Polyclonal Rabbit IgG

Format

BSA Free

Concentration

1 mg/ml

Product Specifications

Immunogen

Antibody was raised against an 18 amino acid synthetic peptide from near the amino terminus of human ORAI1. The immunogen is located within the first 50 amino acids of ORAI1. Amino Acid Squence: TSGSRRSRRRSGDGEPPG

Specificity

This antibody is predicted to have no cross-reactivity to ORAI2 or ORAI3.

Clonality

Polyclonal

Host

Rabbit

Isotype

IgG

Theoretical MW

50 kDa.
Disclaimer note: The observed molecular weight of the protein may vary from the listed predicted molecular weight due to post translational modifications, post translation cleavages, relative charges, and other experimental factors.

Description

Novus Biologicals Rabbit Orai1 Antibody - BSA Free (NBP1-76762) is a polyclonal antibody validated for use in IHC, WB, ELISA and ICC/IF. All Novus Biologicals antibodies are covered by our 100% guarantee.

Scientific Data Images for Orai1 Antibody - BSA Free

Western Blot: Orai1 AntibodyBSA Free [NBP1-76762]

Western Blot: Orai1 AntibodyBSA Free [NBP1-76762]

Western Blot: Orai1 Antibody [NBP1-76762] - Human ovary tissue lysate with ORAI1 antibody at 1 ug/mL in the (A) absence or (B) presence of blocking peptide.
Immunohistochemistry: Orai1 Antibody - BSA Free [NBP1-76762]

Immunohistochemistry: Orai1 Antibody - BSA Free [NBP1-76762]

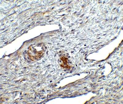
Immunohistochemistry: Orai1 Antibody [NBP1-76762] - Analysis of ORAI1 in human ovary tissue with ORAI1 antibody at 2.5 ug/ml.
Orai1 Antibody - BSA Free

Immunohistochemistry: Orai1 Antibody - BSA Free [NBP1-76762] -

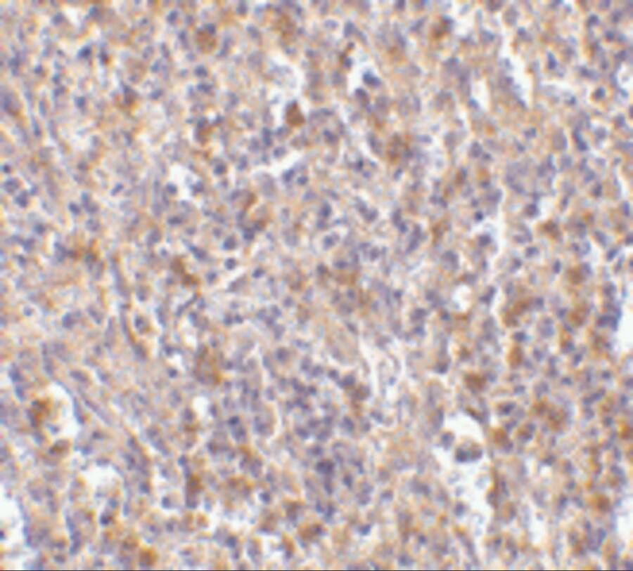
Immunohistochemistry: Orai1 Antibody - BSA Free [NBP1-76762] - Immunohistochemistry of Orai1 in human spleen tissue with Orai1 antibody at 10 u/mL.

Applications for Orai1 Antibody - BSA Free

Application
Recommended Usage

ELISA

1:100-1:2000

Immunocytochemistry/ Immunofluorescence

20 ug/ml

Immunohistochemistry

10 ug/ml

Immunohistochemistry-Paraffin

10 ug/ml

Western Blot

1 ug/ml

Formulation, Preparation, and Storage

Purification

Peptide affinity purified

Formulation

PBS

Format

BSA Free

Preservative

0.02% Sodium Azide

Concentration

1 mg/ml

Shipping

The product is shipped with polar packs. Upon receipt, store it immediately at the temperature recommended below.

Stability & Storage

Store at 4C short term. Aliquot and store at -20C long term. Avoid freeze-thaw cycles.

Background: Orai1

Antigen stimulation of immune cells triggers Ca++ entry through Ca++ release-activated Ca++ (CRAC) channels. ORAI1 is a recently identified four-transmembrane spanning protein that is an essential component of CRAC. A missense mutation in this protein in humans is the cause of one form of hereditary severe combined immune deficiency (SCID) which results in ablated T-cell Ca++ entry. It has been suggested that ORAI1 functions as a highly selective Ca++ plasma membrane channel that is gated through interactions with STIM1, the store-activated endoplasmic reticulum Ca++ sensor. ORAI1 often migrates at a higher than expected molecular weight in SDS-PAGE. This antibody is predicted to have no cross-reactivity to ORAI2 or ORAI3.

Long Name

ORAI Calcium Release-activated Calcium Modulator 1

Alternate Names

CRACM1, ORAT1, TMEM142A

Gene Symbol

ORAI1

UniProt

Additional Orai1 Products

Product Documents for Orai1 Antibody - BSA Free

Certificate of Analysis

To download a Certificate of Analysis, please enter a lot number in the search box below.

Product Specific Notices for Orai1 Antibody - BSA Free

This product is for research use only and is not approved for use in humans or in clinical diagnosis. Primary Antibodies are guaranteed for 1 year from date of receipt.

Loading...
Loading...
Loading...
Loading...