Skip to main content

OPA3 Antibody (OTI3G4) - Azide and BSA Free

Novus Biologicals, part of Bio-Techne | Catalog # NBP2-73147

Novus Biologicals, part of Bio-Techne

Key Product Details

Species Reactivity

Human

Applications

Immunohistochemistry, Immunohistochemistry-Paraffin, Western Blot

Label

Unconjugated

Antibody Source

Monoclonal Mouse IgG1 Clone # OTI3G4

Format

Azide and BSA Free

Concentration

LYOPH mg/ml

Product Specifications

Immunogen

Full length human recombinant protein of human OPA3(NP_079412) produced in E.coli.

Clonality

Monoclonal

Host

Mouse

Isotype

IgG1

Description

Novus Biologicals Mouse OPA3 Antibody (OTI3G4) - Azide and BSA Free (NBP2-46294) is a monoclonal antibody validated for use in IHC and WB. All Novus Biologicals antibodies are covered by our 100% guarantee.

Scientific Data Images for OPA3 Antibody (OTI3G4) - Azide and BSA Free

Western Blot: OPA3 Antibody (OTI3G4)Azide and BSA Free [NBP2-73147]

Western Blot: OPA3 Antibody (OTI3G4)Azide and BSA Free [NBP2-73147]

Western Blot: OPA3 Antibody (OTI3G4) - Azide and BSA Free [NBP2-73147] - HEK293T cells were transfected with the pCMV6-ENTRY control (Left lane) or pCMV6-ENTRY OPA3 ( Right lane) cDNA for 48 hrs and lysed. Equivalent amounts of cell lysates (5 ug per lane) were separated by SDS-PAGE and immunoblotted with antiOPA3.(1:2000)
Immunohistochemistry: OPA3 Antibody (OTI3G4) - Azide and BSA Free [NBP2-73147]

Immunohistochemistry: OPA3 Antibody (OTI3G4) - Azide and BSA Free [NBP2-73147]

Immunohistochemistry: OPA3 Antibody (OTI3G4) - Azide and BSA Free [NBP2-73147] - Staining of paraffin-embedded Human prostate tissue within the normal limits using anti-OPA3 mouse monoclonal antibody. (Heat-induced epitope retrieval by 1mM EDTA in 10mM Tris buffer (pH8.5) at 120 degrees C for 3 min, (1:150).
Immunohistochemistry: OPA3 Antibody (OTI3G4) - Azide and BSA Free [NBP2-73147]

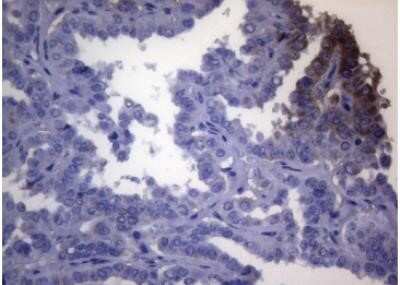
Immunohistochemistry: OPA3 Antibody (OTI3G4) - Azide and BSA Free [NBP2-73147]

Immunohistochemistry: OPA3 Antibody (OTI3G4) - Azide and BSA Free [NBP2-73147] - Staining of paraffin-embedded Human endometrium tissue within the normal limits using anti-OPA3 mouse monoclonal antibody. (Heat induced epitope retrieval by 1mM EDTA in 10mM Tris buffer (pH8.5) at 120 degrees C for 3 min) (1:150).

Applications for OPA3 Antibody (OTI3G4) - Azide and BSA Free

Application
Recommended Usage

Immunohistochemistry

1:150

Western Blot

1:2000

Formulation, Preparation, and Storage

Purification

Immunogen affinity purified

Reconstitution

we recommend adding 100uL distilled water to a final antibody concentration of about 1 mg/mL. To use this carrier-free antibody for conjugation experiment, we strongly recommend performing another round of desalting process.

Formulation

Lyophilized from PBS (pH 7.3) with 8% Trehalose

Format

Azide and BSA Free

Preservative

No Preservative

Concentration

LYOPH mg/ml

Shipping

The product is shipped with polar packs. Upon receipt, store it immediately at the temperature recommended below.

Stability & Storage

Store at -20C. Avoid freeze-thaw cycles.

Background: OPA3

The mouse ortholog of this protein co-purifies with the mitochondrial inner membrane. Mutations in this gene have beenshown to result in 3-methylglutaconic aciduria type III and autosomal dominant optic atrophy and cataract. Multipletranscript variants encoding different isoforms have been found for this gene. (provided by RefSeq)

Alternate Names

FLJ22187, FLJ25932, MGA3Optic atrophy 3 (Iraqi-Jewish 'optic atrophy plus'), MGC75494, optic atrophy 3 (autosomal recessive, with chorea and spastic paraplegia), optic atrophy 3 protein

Gene Symbol

OPA3

Additional OPA3 Products

Product Documents for OPA3 Antibody (OTI3G4) - Azide and BSA Free

Certificate of Analysis

To download a Certificate of Analysis, please enter a lot number in the search box below.

Product Specific Notices for OPA3 Antibody (OTI3G4) - Azide and BSA Free

This product is for research use only and is not approved for use in humans or in clinical diagnosis. Primary Antibodies are guaranteed for 1 year from date of receipt.

Loading...
Loading...
Loading...
Loading...
Loading...