Skip to main content

OPA1 Antibody - BSA Free

Novus Biologicals, part of Bio-Techne | Catalog # NBP2-34206

Novus Biologicals, part of Bio-Techne
Catalog #
Availability
Size / Price
Qty
Loading...
NBP2-34206-25ul
NBP2-34206

Key Product Details

Validated by

Orthogonal Validation

Species Reactivity

Validated:

Human, Mouse

Cited:

Mouse

Predicted:

Rat (100%). Backed by our 100% Guarantee.

Applications

Validated:

Immunohistochemistry, Immunohistochemistry-Paraffin, Western Blot, Immunocytochemistry/ Immunofluorescence

Cited:

Western Blot

Label

Unconjugated

Antibody Source

Polyclonal Rabbit IgG

Format

BSA Free

Concentration

Concentrations vary lot to lot. See vial label for concentration. If unlisted please contact technical services.

Product Specifications

Immunogen

This antibody was developed against a recombinant protein corresponding to amino acids: KEGCTVSPETISLNVKGPGLQRMVLVDLPGVINTVTSGMAPDTKETIFSISKAYMQNPNAIILCIQDGSVDAERSIVTDLVSQMDPHG

Reactivity Notes

Use in Mouse reported in scientific literature (PMID:32269244).

Clonality

Polyclonal

Host

Rabbit

Isotype

IgG

Scientific Data Images for OPA1 Antibody - BSA Free

Immunohistochemistry-Paraffin: OPA1 Antibody [NBP2-34206]

Immunohistochemistry-Paraffin: OPA1 Antibody [NBP2-34206]

Immunohistochemistry-Paraffin: OPA1 Antibody [NBP2-34206] - Analysis in human cerebral cortex and pancreas tissues . Corresponding OPA1 RNA-seq data are presented for the same tissues.
Immunocytochemistry/ Immunofluorescence: OPA1 Antibody [NBP2-34206]

Immunocytochemistry/ Immunofluorescence: OPA1 Antibody [NBP2-34206]

Immunocytochemistry/Immunofluorescence: OPA1 Antibody [NBP2-34206] - Staining of human cell line U-2 OS shows localization to nucleoplasm & mitochondria. Antibody staining is shown in green.
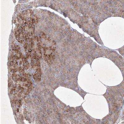
Immunohistochemistry-Paraffin: OPA1 Antibody [NBP2-34206]

Immunohistochemistry-Paraffin: OPA1 Antibody [NBP2-34206]

Immunohistochemistry-Paraffin: OPA1 Antibody [NBP2-34206] - Staining of human pancreas shows weak to moderate cytoplasmic positivity in exocrine glandular cells.

Applications for OPA1 Antibody - BSA Free

Application
Recommended Usage

Immunocytochemistry/ Immunofluorescence

0.25-2 ug/ml

Immunohistochemistry

1:50 - 1:200

Immunohistochemistry-Paraffin

1:50 - 1:200

Western Blot

Reported in scientific literature (PMID:32269244)
Application Notes
For IHC-Paraffin, HIER pH 6 retrieval is recommended. ICC/IF Fixation Permeabilization: Use PFA/Triton X-100.

Formulation, Preparation, and Storage

Purification

Affinity purified

Formulation

PBS (pH 7.2) and 40% Glycerol

Format

BSA Free

Preservative

0.02% Sodium Azide

Concentration

Concentrations vary lot to lot. See vial label for concentration. If unlisted please contact technical services.

Shipping

The product is shipped with polar packs. Upon receipt, store it immediately at the temperature recommended below.

Stability & Storage

Store at 4C short term. Aliquot and store at -20C long term. Avoid freeze-thaw cycles.

Background: OPA1

OPA1 product is a nuclear-encoded mitochondrial protein with similarity to dynamin-related GTPases. It is a component of the mitochondrial network. Highly expressed in the retina, OPA1 mutations have been associated with a dominantly inherited optic neuropathy, called optic atrophy type 1, resulting in progressive loss of visual acuity. Eight transcript variants encoding different isoforms, resulting from alternative splicing of exon 4 and two novel exons named 4b and 5b, have been reported for this gene.

OPA1 antibodies are used primarily for vision research.

Long Name

Optic Atrophy Protein 1

Alternate Names

BERHS, EC 3.6.5.5, LargeG, lilr3, MGM1, MTDPS14, NPG, NTG

Gene Symbol

OPA1

UniProt

Additional OPA1 Products

Product Documents for OPA1 Antibody - BSA Free

Certificate of Analysis

To download a Certificate of Analysis, please enter a lot number in the search box below.

Product Specific Notices for OPA1 Antibody - BSA Free

This product is for research use only and is not approved for use in humans or in clinical diagnosis. Primary Antibodies are guaranteed for 1 year from date of receipt.

Loading...
Loading...
Loading...
Loading...