Skip to main content

ONECUT3 Antibody (10B2F5) - BSA Free

Novus Biologicals, part of Bio-Techne | Catalog # NBP2-37340

Novus Biologicals, part of Bio-Techne
Catalog #
Availability
Size / Price
Qty
Loading...
NBP2-37340-0.025ml
NBP2-37340

Key Product Details

Species Reactivity

Human

Applications

Immunohistochemistry, Immunohistochemistry-Paraffin, Western Blot, ELISA

Label

Unconjugated

Antibody Source

Monoclonal Mouse IgG1 Clone # 10B2F5

Format

BSA Free

Concentration

1 mg/ml

Product Specifications

Immunogen

Purified recombinant fragment of human ONECUT3 (AA: 350-455) expressed in E. Coli.

Clonality

Monoclonal

Host

Mouse

Isotype

IgG1

Theoretical MW

50 kDa.
Disclaimer note: The observed molecular weight of the protein may vary from the listed predicted molecular weight due to post translational modifications, post translation cleavages, relative charges, and other experimental factors.

Description

Novus Biologicals Mouse ONECUT3 Antibody (10B2F5) - BSA Free (NBP2-37340) is a monoclonal antibody validated for use in IHC, WB and ELISA. All Novus Biologicals antibodies are covered by our 100% guarantee.

Scientific Data Images for ONECUT3 Antibody (10B2F5) - BSA Free

Western Blot: ONECUT3 Antibody (10B2F5)BSA Free [NBP2-37340]

Western Blot: ONECUT3 Antibody (10B2F5)BSA Free [NBP2-37340]

Western Blot: ONECUT3 Antibody (10B2F5) [NBP2-37340] - Western blot analysis using ONECUT3 mAb against HEK293 (1) and ONECUT3 (AA: 350-455)-hIgGFc transfected HEK293 (2) cell lysate.
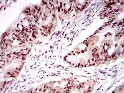
Immunohistochemistry-Paraffin: ONECUT3 Antibody (10B2F5) - BSA Free [NBP2-37340]

Immunohistochemistry-Paraffin: ONECUT3 Antibody (10B2F5) - BSA Free [NBP2-37340]

Immunohistochemistry-Paraffin: ONECUT3 Antibody (10B2F5) [NBP2-37340] - Analysis of rectum cancer tissues using ONECUT3 mouse mAb with DAB staining.
Western Blot: ONECUT3 Antibody (10B2F5)BSA Free [NBP2-37340]

Western Blot: ONECUT3 Antibody (10B2F5)BSA Free [NBP2-37340]

Western Blot: ONECUT3 Antibody (10B2F5) [NBP2-37340] - Western blot analysis using ONECUT3 mAb against human ONECUT3 recombinant protein. (Expected MW is 38.2 kDa)

Applications for ONECUT3 Antibody (10B2F5) - BSA Free

Application
Recommended Usage

ELISA

1:10000

Immunohistochemistry

1:200 - 1:1000

Western Blot

1:500 - 1:2000

Formulation, Preparation, and Storage

Purification

Protein G purified

Formulation

PBS

Format

BSA Free

Preservative

0.05% Sodium Azide

Concentration

1 mg/ml

Shipping

The product is shipped with polar packs. Upon receipt, store it immediately at the temperature recommended below.

Stability & Storage

Store at 4C short term. Aliquot and store at -20C long term. Avoid freeze-thaw cycles.

Background: ONECUT3

Alternate Names

OC3, OC-3, one cut domain family member 3, one cut domain, family member 3, one cut homeobox 3, transcription factor ONECUT-3

Gene Symbol

ONECUT3

Additional ONECUT3 Products

Product Documents for ONECUT3 Antibody (10B2F5) - BSA Free

Certificate of Analysis

To download a Certificate of Analysis, please enter a lot number in the search box below.

Product Specific Notices for ONECUT3 Antibody (10B2F5) - BSA Free

This product is for research use only and is not approved for use in humans or in clinical diagnosis. Primary Antibodies are guaranteed for 1 year from date of receipt.

Loading...
Loading...
Loading...
Loading...