Skip to main content

OLFM4 Antibody (PSH01-36)

Novus Biologicals, part of Bio-Techne | Catalog # NBP3-32677

Recombinant Monoclonal Antibody
Novus Biologicals, part of Bio-Techne
Catalog #
Availability
Size / Price
Qty
Loading...
NBP3-32677

Key Product Details

Species Reactivity

Human

Applications

Immunohistochemistry, Immunohistochemistry-Paraffin, Western Blot

Label

Unconjugated

Antibody Source

Recombinant Monoclonal Rabbit IgG Clone # PSH01-36 expressed in HEK293

Concentration

1 mg/ml

Product Specifications

Immunogen

Recombinant protein within human OLFM4 aa 1-510 / 510. (Uniprot: Q6UX06)

Localization

Secreted, extracellular space, Mitochondrion.

Clonality

Monoclonal

Host

Rabbit

Isotype

IgG

Theoretical MW

57 kDa.
Disclaimer note: The observed molecular weight of the protein may vary from the listed predicted molecular weight due to post translational modifications, post translation cleavages, relative charges, and other experimental factors.

Description

Novus Biologicals Rabbit OLFM4 Antibody (PSH01-36) (NBP3-32677) is a recombinant monoclonal antibody validated for use in IHC and WB. All Novus Biologicals antibodies are covered by our 100% guarantee.

Scientific Data Images for OLFM4 Antibody (PSH01-36)

OLFM4 Antibody (PSH01-36)

Western Blot: OLFM4 Antibody (PSH01-36) [NBP3-32677]

Western Blot: OLFM4 Antibody (PSH01-36) [NBP3-32677] - Western blot analysis of OLFM4 on different lysates with Rabbit anti-OLFM4 antibody (NBP3-32677) at 1/1,000 dilution.

Lane 1: OLFM4 recombinant protein
Lane 2: OLFM4 recombinant protein with immunising peptide

Lysates/proteins at 50 ng/Lane.

Exposure time: 43 seconds;

4-20% SDS-PAGE gel.

Proteins were transferred to a PVDF membrane and blocked with 5% NFDM/TBST for 1 hour at room temperature. The primary antibody (NBP3-32677) at 1/1,000 dilution was used in 5% NFDM/TBST at room temperature for 2 hours. Goat Anti-Rabbit IgG - HRP Secondary Antibody at 1/100,000 dilution was used for 1 hour at room temperature.
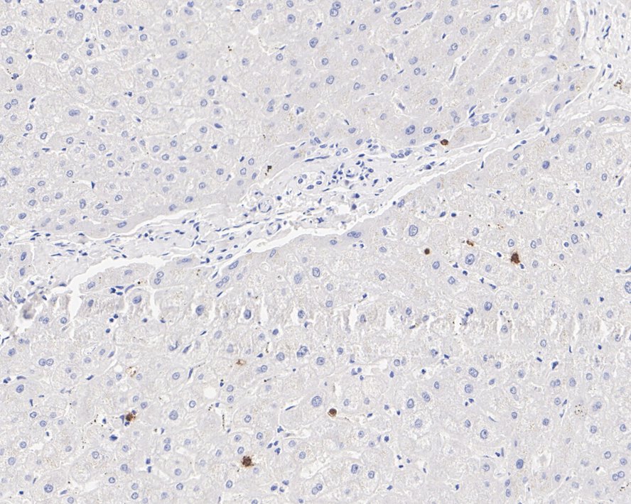
OLFM4 Antibody (PSH01-36)

Immunohistochemistry: OLFM4 Antibody (PSH01-36) [NBP3-32677]

Immunohistochemistry: OLFM4 Antibody (PSH01-36) [NBP3-32677] - Immunohistochemical analysis of paraffin-embedded human liver tissue with Rabbit anti-OLFM4 antibody (NBP3-32677) at 1/500 dilution.

The section was pre-treated using heat mediated antigen retrieval with Tris-EDTA buffer (pH 9.0) for 20 minutes. The tissues were blocked in 1% BSA for 20 minutes at room temperature, washed with ddH2O and PBS, and then probed with the primary antibody (NBP3-32677) at 1/500 dilution for 1 hour at room temperature. The detection was performed using an HRP conjugated compact polymer system. DAB was used as the chromogen. Tissues were counterstained with hematoxylin and mounted with DPX.

Applications for OLFM4 Antibody (PSH01-36)

Application
Recommended Usage

Immunohistochemistry-Paraffin

1:500

Western Blot

1:1000

Formulation, Preparation, and Storage

Purification

Protein A purified

Formulation

PBS (pH7.4), 0.1% BSA and 40% Glycerol

Preservative

0.05% Sodium Azide

Concentration

1 mg/ml

Shipping

The product is shipped with polar packs. Upon receipt, store it immediately at the temperature recommended below.

Stability & Storage

Store at 4C short term. Aliquot and store at -20C long term. Avoid freeze-thaw cycles.

Background: Olfactomedin-4/OLFM4

OLFM4 (olfactomedin 4) was originally cloned from human myeloblasts and found to be selectively expressed in inflammed colonic epithelium. OLFM4 (olfactomedin 4) is a member of the olfactomedin related protein family. The exact function of this gene has not yet been determined.

Alternate Names

GC1, GW112, OlfD, OLFM4, OLM4

Gene Symbol

OLFM4

Additional Olfactomedin-4/OLFM4 Products

Product Documents for OLFM4 Antibody (PSH01-36)

Certificate of Analysis

To download a Certificate of Analysis, please enter a lot number in the search box below.

Product Specific Notices for OLFM4 Antibody (PSH01-36)

This product is for research use only and is not approved for use in humans or in clinical diagnosis. Primary Antibodies are guaranteed for 1 year from date of receipt.

Loading...
Loading...
Loading...
Loading...