OGG1 Antibody (8V2Q9)
Novus Biologicals, part of Bio-Techne | Catalog # NBP3-16526
Recombinant Monoclonal Antibody
Key Product Details
Species Reactivity
Human, Mouse, Rat
Applications
Immunohistochemistry, Immunohistochemistry-Paraffin, Western Blot, ELISA
Label
Unconjugated
Antibody Source
Recombinant Monoclonal Rabbit IgG Clone # 8V2Q9 expressed in HEK293
Concentration
Please see the vial label for concentration. If unlisted please contact technical services.
Product Specifications
Immunogen
A synthetic peptide corresponding to a sequence within amino acids 246-345 of human OGG1 (O15527). VGTKVADCICLMALDKPQAVPVDVHMWHIAQRDYSWHPTTSQAKGPSPQTNKELGNFFRSLWGPYAGWAQAVLFSADLRQSRHAQEPPAKRRKGSKGPEG
Clonality
Monoclonal
Host
Rabbit
Isotype
IgG
Theoretical MW
39 kDa.
Disclaimer note: The observed molecular weight of the protein may vary from the listed predicted molecular weight due to post translational modifications, post translation cleavages, relative charges, and other experimental factors.
Disclaimer note: The observed molecular weight of the protein may vary from the listed predicted molecular weight due to post translational modifications, post translation cleavages, relative charges, and other experimental factors.
Description
Novus Biologicals Rabbit OGG1 Antibody (8V2Q9) (NBP3-16526) is a recombinant monoclonal antibody validated for use in IHC, WB and ELISA. All Novus Biologicals antibodies are covered by our 100% guarantee.
Scientific Data Images for OGG1 Antibody (8V2Q9)
Western Blot: OGG1 Antibody (8V2Q9) [NBP3-16526]
Western Blot: OGG1 Antibody (8V2Q9) [NBP3-16526] - Western blot analysis of extracts of various cell lines, using OGG1 Rabbit mAb (NBP3-16526) at 1:1000 dilution. Secondary antibody: HRP Goat Anti-Rabbit IgG (H+L) at 1:10000 dilution. Lysates/proteins: 25ug per lane. Blocking buffer: 3% nonfat dry milk in TBST. Detection: ECL Basic Kit. Exposure time: 90s.Immunohistochemistry-Paraffin: OGG1 Antibody (8V2Q9) [NBP3-16526]
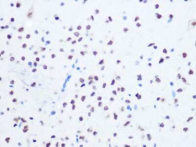
Immunohistochemistry-Paraffin: OGG1 Antibody (8V2Q9) [NBP3-16526] - Immunohistochemistry of paraffin-embedded rat brain using OGG1 Rabbit mAb (NBP3-16526) at dilution of 1:100 (40x lens).Perform microwave antigen retrieval with 10 mM PBS buffer pH 7.2 before commencing with IHC staining protocol.Western Blot: OGG1 Antibody (8V2Q9) [NBP3-16526]
Western Blot: OGG1 Antibody (8V2Q9) [NBP3-16526] - Western blot analysis of extracts of Mouse testis, using OGG1 Rabbit mAb (NBP3-16526) at 1:1000 dilution. Secondary antibody: HRP Goat Anti-Rabbit IgG (H+L) at 1:10000 dilution. Lysates/proteins: 25ug per lane. Blocking buffer: 3% nonfat dry milk in TBST. Detection: ECL Enhanced Kit. Exposure time: 3min.Applications for OGG1 Antibody (8V2Q9)
Application
Recommended Usage
ELISA
Recommended starting concentration is 1 μg/mL. Please optimize the concentration based on your specific assay requirements.
Immunohistochemistry
1:100 - 1:1000
Immunohistochemistry-Paraffin
1:100 - 1:1000
Western Blot
1:500 - 1:2000
Formulation, Preparation, and Storage
Purification
Affinity purified
Formulation
PBS (pH 7.3), 50% glycerol, 0.05% BSA
Preservative
0.02% Sodium Azide
Concentration
Please see the vial label for concentration. If unlisted please contact technical services.
Shipping
The product is shipped with polar packs. Upon receipt, store it immediately at the temperature recommended below.
Stability & Storage
Store at -20C. Avoid freeze-thaw cycles.
Background: OGG1
Long Name
8-oxoGuanine DNA Glycosylase
Alternate Names
8-hydroxyguanine DNA glycosylase, 8-oxoguanine DNA glycosylase, AP lyase, DNA-apurinic or apyrimidinic site lyase, HOGG1, MMH, MUTMOGH1HMMH, N-glycosylase/DNA lyase
Gene Symbol
OGG1
Additional OGG1 Products
Product Documents for OGG1 Antibody (8V2Q9)
Product Specific Notices for OGG1 Antibody (8V2Q9)
This product is for research use only and is not approved for use in humans or in clinical diagnosis. Primary Antibodies are guaranteed for 1 year from date of receipt.
Loading...
Loading...
Loading...
Loading...