Skip to main content

NuMA Antibody - BSA Free

Novus Biologicals, part of Bio-Techne | Catalog # NBP2-54672

Novus Biologicals, part of Bio-Techne
Catalog #
Availability
Size / Price
Qty
Loading...
NBP2-54672

Key Product Details

Validated by

Knockout/Knockdown, Independent Antibodies

Species Reactivity

Human

Applications

Immunohistochemistry, Immunohistochemistry-Paraffin, Western Blot, Immunocytochemistry/ Immunofluorescence, Knockdown Validated

Label

Unconjugated

Antibody Source

Polyclonal Rabbit IgG

Format

BSA Free

Concentration

Concentrations vary lot to lot. See vial label for concentration. If unlisted please contact technical services.

Product Specifications

Immunogen

This antibody was developed against a Recombinant Protein corresponding to amino acids: IRFLELQKVASSSSGNNFLSGSPASPMGDILQTPQFQMRRLKKQLADERSNRDELELELAENRKLLTEKDAQIAMMQQRIDRLALLNEKQAASPLEPKEL

Reactivity Notes

Immunogen displays the following percentage of sequence identity for non-tested species: Mouse (87%), Rat (87%)

Clonality

Polyclonal

Host

Rabbit

Isotype

IgG

Description

Novus Biologicals Rabbit NuMA Antibody - BSA Free (NBP2-54672) is a polyclonal antibody validated for use in IHC, WB and ICC/IF. All Novus Biologicals antibodies are covered by our 100% guarantee.

Scientific Data Images for NuMA Antibody - BSA Free

Western Blot: NuMA Antibody [NBP2-54672]

Western Blot: NuMA Antibody [NBP2-54672]

Western Blot: NuMA Antibody [NBP2-54672] - Analysis in U2OS cells transfected with control siRNA, target specific siRNA probe #1 and #2. Remaining relative intensity is presented.
NuMA Antibody

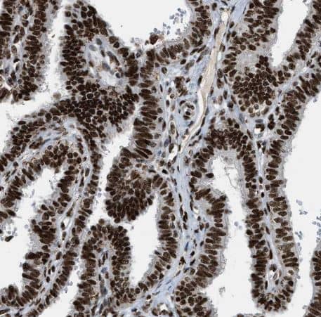
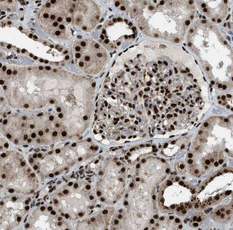
Immunohistochemistry-Paraffin: NuMA Antibody [NBP2-54672] -

Immunohistochemistry-Paraffin: NuMA Antibody [NBP2-54672] -Staining of human fallopian tube, gastrointestinal, kidney and lymphoid tissues using Anti-NUMA1 antibody NBP2-54672 (A) shows similar protein distribution across tissues to independent antibody.
Immunocytochemistry/ Immunofluorescence: NuMA Antibody [NBP2-54672]

Immunocytochemistry/ Immunofluorescence: NuMA Antibody [NBP2-54672]

Immunocytochemistry/Immunofluorescence: NuMA Antibody [NBP2-54672] - Immunofluorescent staining of human cell line U-2 OS shows localization to nucleoplasm.

Applications for NuMA Antibody - BSA Free

Application
Recommended Usage

Immunocytochemistry/ Immunofluorescence

0.25-2 ug/ml

Immunohistochemistry

1:50 - 1:200

Immunohistochemistry-Paraffin

1:50 - 1:200

Western Blot

0.04-0.4 ug/ml
Application Notes
For IHC-Paraffin, HIER pH 6 retrieval is recommended. Immunocytochemistry/Immunofluorescence Fixation Permeabilization: Use PFA/Triton X-100.

Formulation, Preparation, and Storage

Purification

Affinity purified

Formulation

PBS (pH 7.2) and 40% Glycerol

Format

BSA Free

Preservative

0.02% Sodium Azide

Concentration

Concentrations vary lot to lot. See vial label for concentration. If unlisted please contact technical services.

Shipping

The product is shipped with polar packs. Upon receipt, store it immediately at the temperature recommended below.

Stability & Storage

Store at 4C short term. Aliquot and store at -20C long term. Avoid freeze-thaw cycles.

Background: NuMA

NuMA (nuclear mitotic apparatus) is a long coiled-coil protein that plays a role in the interphase and mitosis phases of a cell cycle. In interphase, it has been hypothesized to play a structural role in the nucleoskeleton that may be important in nuclear organization and functions. During mitosis, it is associated with spindle microtubule organization and chromosome positioning. Therefore, this antibody is useful as a cell cycle marker.

Long Name

Nuclear Mitotic Apparatus Protein 1

Alternate Names

NMP-22, NUMA1, SP-H Antigen

Gene Symbol

NUMA1

Additional NuMA Products

Product Documents for NuMA Antibody - BSA Free

Certificate of Analysis

To download a Certificate of Analysis, please enter a lot number in the search box below.

Product Specific Notices for NuMA Antibody - BSA Free

This product is for research use only and is not approved for use in humans or in clinical diagnosis. Primary Antibodies are guaranteed for 1 year from date of receipt.

Loading...
Loading...
Loading...
Loading...