Skip to main content

NUDT18 Antibody (OTI5D7)

Novus Biologicals, part of Bio-Techne | Catalog # NBP2-01432

Novus Biologicals, part of Bio-Techne
Catalog #
Availability
Size / Price
Qty
Loading...
NBP2-01432

Key Product Details

Species Reactivity

Human

Applications

Flow Cytometry, Immunocytochemistry/ Immunofluorescence, Immunohistochemistry, Immunohistochemistry-Paraffin, Western Blot

Label

Unconjugated

Antibody Source

Monoclonal Mouse IgG1 Clone # OTI5D7

Concentration

0.55 mg/ml

Product Specifications

Immunogen

Full length human recombinant protein of human NUDT18(NP_079091) produced in HEK293T cell.

Clonality

Monoclonal

Host

Mouse

Isotype

IgG1

Theoretical MW

35.3 kDa.
Disclaimer note: The observed molecular weight of the protein may vary from the listed predicted molecular weight due to post translational modifications, post translation cleavages, relative charges, and other experimental factors.

Description

Novus Biologicals Mouse NUDT18 Antibody (OTI5D7) (NBP2-01432) is a monoclonal antibody validated for use in IHC, WB, Flow and ICC/IF. All Novus Biologicals antibodies are covered by our 100% guarantee.

Scientific Data Images for NUDT18 Antibody (OTI5D7)

Western Blot: NUDT18 Antibody (OTI5D7) [NBP2-01432]

Western Blot: NUDT18 Antibody (OTI5D7) [NBP2-01432]

Western Blot: NUDT18 Antibody (5D7) [NBP2-01432] - HEK293T cells were transfected with the pCMV6-ENTRY control (Left lane) or pCMV6-ENTRY NUDT18 (Right lane) cDNA for 48 hrs and lysed. Equivalent amounts of cell lysates (5 ug per lane) were separated by SDS-PAGE and immunoblotted with anti-NUDT18.
Immunocytochemistry/ Immunofluorescence: NUDT18 Antibody (OTI5D7) [NBP2-01432]

Immunocytochemistry/ Immunofluorescence: NUDT18 Antibody (OTI5D7) [NBP2-01432]

Immunocytochemistry/Immunofluorescence: NUDT18 Antibody (OTI5D7) [NBP2-01432] - Staining of COS7 cells transiently transfected by pCMV6-ENTRY NUDT18.
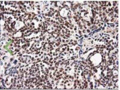
Immunohistochemistry-Paraffin: NUDT18 Antibody (OTI5D7) [NBP2-01432]

Immunohistochemistry-Paraffin: NUDT18 Antibody (OTI5D7) [NBP2-01432]

Immunohistochemistry-Paraffin: NUDT18 Antibody (OTI5D7) [NBP2-01432] - Staining of paraffin-embedded Human tonsil within the normal limits using anti-NUDT18 mouse monoclonal antibody. Heat-induced epitope retrieval by 10mM citric buffer, pH6.0, 100C for 10min.

Applications for NUDT18 Antibody (OTI5D7)

Application
Recommended Usage

Flow Cytometry

1:100

Immunocytochemistry/ Immunofluorescence

1:100

Immunohistochemistry

1:150

Immunohistochemistry-Paraffin

1:150

Western Blot

1:2000

Formulation, Preparation, and Storage

Purification

Immunogen affinity purified

Formulation

PBS (pH 7.3), 1.0% BSA and 50% Glycerol

Preservative

0.02% Sodium Azide

Concentration

0.55 mg/ml

Shipping

The product is shipped with polar packs. Upon receipt, store it immediately at the temperature recommended below.

Stability & Storage

Store at -20C. Avoid freeze-thaw cycles.

Background: NUDT18

Probably mediates the hydrolysis of some nucleoside diphosphate derivatives

Alternate Names

EC 3.6.1, EC 3.6.1.-, FLJ22494, nucleoside diphosphate-linked moiety X motif 18, nudix (nucleoside diphosphate linked moiety X)-type motif 18, Nudix motif 18

Entrez Gene IDs

79873 (Human)

Gene Symbol

NUDT18

Additional NUDT18 Products

Product Documents for NUDT18 Antibody (OTI5D7)

Certificate of Analysis

To download a Certificate of Analysis, please enter a lot number in the search box below.

Product Specific Notices for NUDT18 Antibody (OTI5D7)

This product is for research use only and is not approved for use in humans or in clinical diagnosis. Primary Antibodies are guaranteed for 1 year from date of receipt.

Loading...
Loading...
Loading...
Loading...
Loading...