Skip to main content

NUBP1 Antibody - BSA Free

Novus Biologicals, part of Bio-Techne | Catalog # NBP3-35666

Novus Biologicals, part of Bio-Techne
Catalog #
Availability
Size / Price
Qty
Loading...
NBP3-35666-100ul
NBP3-35666-20ul

Key Product Details

Species Reactivity

Human, Mouse, Rat

Applications

Immunohistochemistry, Immunohistochemistry-Paraffin, Western Blot, ELISA

Label

Unconjugated

Antibody Source

Polyclonal Rabbit IgG

Format

BSA Free

Concentration

Please see the vial label for concentration. If unlisted please contact technical services.

Product Specifications

Immunogen

Recombinant fusion protein containing a sequence corresponding to amino acids 201-320 of human NUBP1 (NP_002475.2).

Sequence:
PQEVSLQDVRKEINFCRKVKLPIIGVVENMSGFICPKCKKESQIFPPTTGGAELMCQDLEVPLLGRVPLDPLIGKNCDKGQSFFIDAPDSPATLAYRSIIQRIQEFCNLHQSKEENLISS

Clonality

Polyclonal

Host

Rabbit

Isotype

IgG

Theoretical MW

35 kDa.
Disclaimer note: The observed molecular weight of the protein may vary from the listed predicted molecular weight due to post translational modifications, post translation cleavages, relative charges, and other experimental factors.

Description

Novus Biologicals Rabbit NUBP1 Antibody - BSA Free (NBP3-35666) is a polyclonal antibody validated for use in IHC, WB and ELISA. All Novus Biologicals antibodies are covered by our 100% guarantee.

Scientific Data Images for NUBP1 Antibody - BSA Free

NUBP1 Antibody

Western Blot: NUBP1 Antibody [NBP3-35666] -

Western Blot: NUBP1 Antibody [NBP3-35666] - Western blot analysis of lysates from HepG2 cells, using NUBP1 Rabbit pAb at 1:1000 dilution.
Secondary antibody: HRP-conjugated Goat anti-Rabbit IgG (H+L) at 1:10000 dilution.
Lysates/proteins: 25ug per lane.
Blocking buffer: 3% nonfat dry milk in TBST.
Detection: ECL Basic Kit.
Exposure time: 1s.
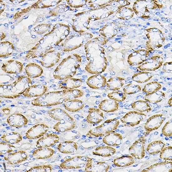
NUBP1 Antibody

Immunohistochemistry: NUBP1 Antibody [NBP3-35666] -

Immunohistochemistry: NUBP1 Antibody [NBP3-35666] - Immunohistochemistry analysis of paraffin-embedded Mouse kidney using NUBP1 Rabbit pAb at dilution of 1:100 (40x lens). High pressure antigen retrieval performed with 0.01M Citrate Bufferr (pH 6.0) prior to IHC staining.

Applications for NUBP1 Antibody - BSA Free

Application
Recommended Usage

Immunohistochemistry-Paraffin

1:50 - 1:200

Western Blot

1:500 - 1:2000

Formulation, Preparation, and Storage

Purification

Affinity purified

Formulation

PBS (pH 7.3), 50% glycerol

Format

BSA Free

Preservative

0.01% Thimerosal

Concentration

Please see the vial label for concentration. If unlisted please contact technical services.

Shipping

The product is shipped with polar packs. Upon receipt, store it immediately at the temperature recommended below.

Stability & Storage

Store at -20C. Avoid freeze-thaw cycles.

Background: NUBP1

NUBP1 is a member of the NUBP/MRP subfamily of ATP-binding proteins (Nakashima et al., 1999 [PubMed 10486206]).[supplied by OMIM]

Alternate Names

cytosolic Fe-S cluster assembly factor NUBP1, MGC117406, MGC130053, NBP 1, NBP1, NBPMGC130052, nucleotide binding protein (e.coli MinD like), nucleotide binding protein 1 (E.coli MinD like), nucleotide binding protein 1 (MinD homolog, E. coli), Nucleotide-binding protein 1

Gene Symbol

NUBP1

Additional NUBP1 Products

Product Documents for NUBP1 Antibody - BSA Free

Certificate of Analysis

To download a Certificate of Analysis, please enter a lot number in the search box below.

Product Specific Notices for NUBP1 Antibody - BSA Free

This product is for research use only and is not approved for use in humans or in clinical diagnosis. Primary Antibodies are guaranteed for 1 year from date of receipt.

Loading...
Loading...
Loading...
Loading...