Skip to main content

NT5C2 Antibody - BSA Free

Novus Biologicals, part of Bio-Techne | Catalog # NBP1-31404

Novus Biologicals, part of Bio-Techne
Catalog #
Availability
Size / Price
Qty
Loading...
NBP1-31404

Key Product Details

Species Reactivity

Validated:

Human, Mouse

Predicted:

Bovine (100%), Chicken (96%), Rhesus Macaque (100%), Xenopus (93%). Backed by our 100% Guarantee.

Applications

Validated:

Immunohistochemistry, Immunohistochemistry-Paraffin, Western Blot

Cited:

Western Blot

Label

Unconjugated

Antibody Source

Polyclonal Rabbit IgG

Format

BSA Free

Concentration

Concentrations vary lot to lot. See vial label for concentration. If unlisted please contact technical services.

Product Specifications

Immunogen

Recombinant protein encompassing a sequence within the center region of human NT5C2. The exact sequence is proprietary.

Reactivity Notes

Xenopus laevis (93%).

Localization

Cytoplasm

Clonality

Polyclonal

Host

Rabbit

Isotype

IgG

Theoretical MW

65 kDa.
Disclaimer note: The observed molecular weight of the protein may vary from the listed predicted molecular weight due to post translational modifications, post translation cleavages, relative charges, and other experimental factors.

Description

Novus Biologicals Rabbit NT5C2 Antibody - BSA Free (NBP1-31404) is a polyclonal antibody validated for use in IHC and WB. Anti-NT5C2 Antibody: Cited in 1 publication. All Novus Biologicals antibodies are covered by our 100% guarantee.

Scientific Data Images for NT5C2 Antibody - BSA Free

Western Blot: NT5C2 Antibody [NBP1-31404]

Western Blot: NT5C2 Antibody [NBP1-31404]

Western Blot: NT5C2 Antibody [NBP1-31404] - Sample(30 ug whole cell lysate)A:H1299 B:HeLa S3 7.5% SDS PAGE, antibody diluted at 1:1000.
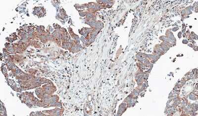
Immunohistochemistry-Paraffin: NT5C2 Antibody [NBP1-31404]

Immunohistochemistry-Paraffin: NT5C2 Antibody [NBP1-31404]

Immunohistochemistry-Paraffin: NT5C2 Antibody [NBP1-31404] - Paraffin-embedded OVCA, using antibody at 1:100 dilution.
Western Blot: NT5C2 Antibody [NBP1-31404]

Western Blot: NT5C2 Antibody [NBP1-31404]

Western Blot: NT5C2 Antibody [NBP1-31404] - Sample (50 ug of whole cell lysate) A: mouse liver 7. 5% SDS PAGE, antibody diluted at 1:500.

Applications for NT5C2 Antibody - BSA Free

Application
Recommended Usage

Immunohistochemistry

1:100-1:1000

Immunohistochemistry-Paraffin

1:100-1:1000

Western Blot

1:500-1:3000

Formulation, Preparation, and Storage

Purification

Antigen Affinity-purified

Formulation

0.1M Tris, 0.1M Glycine, 10% Glycerol

Format

BSA Free

Preservative

0.01% Thimerosal

Concentration

Concentrations vary lot to lot. See vial label for concentration. If unlisted please contact technical services.

Shipping

The product is shipped with polar packs. Upon receipt, store it immediately at the temperature recommended below.

Stability & Storage

Aliquot and store at -20C or -80C. Avoid freeze-thaw cycles.

Background: NT5C2

Purine 5-prime-nucleotidase (EC 3.1.3.5) preferentially hydrolyzes inosine 5-prime-monophosphate (IMP) and other purine nucleotides, and is allosterically activated by various compounds, including ATP. The enzyme is exclusively located in the cytoplasmic matrix of cells and may have a critical role in the maintenance of a constant composition of intracellular purine/pyrimidine nucleotides in cooperation with other nucleotidases.[supplied by OMIM]

Alternate Names

5'-nucleotidase (purine), cytosolic type B, 5'-nucleotidase, cytosolic II, cN-II, Cytosolic 5'-nucleotidase II, EC 3.1.3, EC 3.1.3.5, GMP, NT5BIMP-specific 5'-NT, NT5CP, PNT5cytosolic purine 5'-nucleotidase, purine 5' nucleotidase

Gene Symbol

NT5C2

Additional NT5C2 Products

Product Documents for NT5C2 Antibody - BSA Free

Certificate of Analysis

To download a Certificate of Analysis, please enter a lot number in the search box below.

Product Specific Notices for NT5C2 Antibody - BSA Free

This product is for research use only and is not approved for use in humans or in clinical diagnosis. Primary Antibodies are guaranteed for 1 year from date of receipt.

Loading...
Loading...
Loading...
Loading...

⚠ WARNING: This product can expose you to chemicals including mercury, which is known to the State of California to cause reproductive toxicity with developmental effects.  For more information go to www.P65Warnings.ca.gov.