Skip to main content

NSF Antibody - BSA Free

Novus Biologicals, part of Bio-Techne | Catalog # NBP1-87035

Novus Biologicals, part of Bio-Techne
Catalog #
Availability
Size / Price
Qty
Loading...
NBP1-87035
NBP1-87035-25ul

Key Product Details

Validated by

Orthogonal Validation

Species Reactivity

Validated:

Human, Rat

Cited:

Rat

Predicted:

Mouse (100%). Backed by our 100% Guarantee.

Applications

Validated:

Immunohistochemistry, Immunohistochemistry-Paraffin, Western Blot, Immunocytochemistry/ Immunofluorescence

Cited:

Immunofluorescence

Label

Unconjugated

Antibody Source

Polyclonal Rabbit IgG

Format

BSA Free

Concentration

Concentrations vary lot to lot. See vial label for concentration. If unlisted please contact technical services.

Product Specifications

Immunogen

This antibody was developed against Recombinant Protein corresponding to amino acids: KVEVDMEKAESLQVTRGDFLASLENDIKPAFGTNQEDYASYIMNGIIKWGDPVTRVLDDGELLVQQTKNSDRTPLVSVLLEGPPHSGKTALAAKIAEESNFPFIKICSPDK

Reactivity Notes

Rat reactivity reported in scientific literature (PMID: 24443234).

Clonality

Polyclonal

Host

Rabbit

Isotype

IgG

Description

Novus Biologicals Rabbit NSF Antibody - BSA Free (NBP1-87035) is a polyclonal antibody validated for use in IHC, WB and ICC/IF. Anti-NSF Antibody: Cited in 1 publication. All Novus Biologicals antibodies are covered by our 100% guarantee.

Scientific Data Images for NSF Antibody - BSA Free

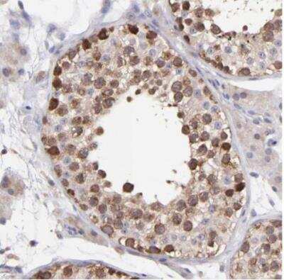
Immunohistochemistry-Paraffin: NSF Antibody [NBP1-87035]

Immunohistochemistry-Paraffin: NSF Antibody [NBP1-87035]

Immunohistochemistry-Paraffin: NSF Antibody [NBP1-87035] - Analysis in human cerebral cortex and liver tissues. Corresponding NSF RNA-seq data are presented for the same tissues.
Immunohistochemistry-Paraffin: NSF Antibody [NBP1-87035]

Immunohistochemistry-Paraffin: NSF Antibody [NBP1-87035]

Immunohistochemistry-Paraffin: NSF Antibody [NBP1-87035] - Staining of human cerebral cortex shows strong positivity in neuropil.
Immunohistochemistry-Paraffin: NSF Antibody [NBP1-87035]

Immunohistochemistry-Paraffin: NSF Antibody [NBP1-87035]

Immunohistochemistry-Paraffin: NSF Antibody [NBP1-87035] - Staining of human liver shows no positivity in hepatocytes as expected.

Applications for NSF Antibody - BSA Free

Application
Recommended Usage

Immunocytochemistry/ Immunofluorescence

0.25-2 ug/ml

Immunohistochemistry

1:200 - 1:500

Immunohistochemistry-Paraffin

1:200 - 1:500

Western Blot

0.04-0.4 ug/ml
Application Notes
For IHC-Paraffin, HIER pH 6 retrieval is recommended. ICC/IF,Fixation Permeabilization: PFA/Triton X-100

Formulation, Preparation, and Storage

Purification

Affinity purified

Formulation

PBS (pH 7.2) and 40% Glycerol

Format

BSA Free

Preservative

0.02% Sodium Azide

Concentration

Concentrations vary lot to lot. See vial label for concentration. If unlisted please contact technical services.

Shipping

The product is shipped with polar packs. Upon receipt, store it immediately at the temperature recommended below.

Stability & Storage

Store at 4C short term. Aliquot and store at -20C long term. Avoid freeze-thaw cycles.

Background: NSF

N ethylmaleimide sensitive factor (NSF) is an ~83 kDa protein (predicted MW) which was initially isolated based on its ability to restore intercisternal Golgi transport to N ethylmaleimide treated membranes. NSF was subsequently discovered to be involved in a variety of membrane fusion events. NSF is an ATPase with two ATP binding domains that are essential for membrane fusion and homo oligomerization. In order to interact with target membranes, NSF requires another set of soluble proteins called Soluble NSF attachment proteins (SNAPs). NSF has been shown to play a prominent role in synaptic vesicle fusion. Together with synaptotagmin and a SNAP, NSF modulates the interaction of SNAP25, VAMP, and syntaxin, in an ATP dependent manner, to form a complex with a sedimentation coefficient of 20 S. This complex may represent an intermediate involved in synaptic vesicle docking and fusion.

Long Name

N-ethylmaleimide sensitive factor, vesicle fusing ATPase

Alternate Names

DEE96, SEC18, SKD2

Gene Symbol

NSF

Additional NSF Products

Product Documents for NSF Antibody - BSA Free

Certificate of Analysis

To download a Certificate of Analysis, please enter a lot number in the search box below.

Product Specific Notices for NSF Antibody - BSA Free

This product is for research use only and is not approved for use in humans or in clinical diagnosis. Primary Antibodies are guaranteed for 1 year from date of receipt.

Loading...
Loading...
Loading...
Loading...