Skip to main content

NSBP1 Antibody - BSA Free

Novus Biologicals, part of Bio-Techne | Catalog # NBP3-47304

Novus Biologicals, part of Bio-Techne
Catalog #
Availability
Size / Price
Qty
Loading...
NBP3-47304

Key Product Details

Species Reactivity

Human

Applications

Immunohistochemistry, Western Blot, ELISA

Label

Unconjugated

Antibody Source

Polyclonal Rabbit IgG

Format

BSA Free

Concentration

Please see the vial label for concentration. If unlisted please contact technical services.

Product Specifications

Immunogen

nucleosomal binding protein 1. (Uniprot# P82970)

Clonality

Polyclonal

Host

Rabbit

Isotype

IgG

Theoretical MW

55 kDa.
Disclaimer note: The observed molecular weight of the protein may vary from the listed predicted molecular weight due to post translational modifications, post translation cleavages, relative charges, and other experimental factors.

Description

Novus Biologicals Rabbit NSBP1 Antibody - BSA Free (NBP3-47304) is a polyclonal antibody validated for use in IHC, WB and ELISA. All Novus Biologicals antibodies are covered by our 100% guarantee.

Scientific Data Images for NSBP1 Antibody - BSA Free

NSBP1 Antibody - BSA Free

Western Blot: NSBP1 Antibody - BSA Free [NBP3-47304] -

Western Blot: NSBP1 Antibody - BSA Free [NBP3-47304] - PC-3 cells were subjected to SDS PAGE followed by western blot with (NSBP1 Antibody) at dilution of 1:600
NSBP1 Antibody - BSA Free

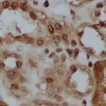
Immunohistochemistry: NSBP1 Antibody - BSA Free [NBP3-47304] -

Immunohistochemistry: NSBP1 Antibody - BSA Free [NBP3-47304] - Immunohistochemistry of paraffin-embedded human testis tissue slide using (NSBP1 Antibody) at dilution of 1:200

Applications for NSBP1 Antibody - BSA Free

Application
Recommended Usage

Immunohistochemistry

1:20-1:200

Western Blot

1:500-1:2000

Formulation, Preparation, and Storage

Purification

Immunogen affinity purified

Formulation

PBS, 50% Glycerol, pH (7.3)

Format

BSA Free

Preservative

0.02% Sodium Azide

Concentration

Please see the vial label for concentration. If unlisted please contact technical services.

Shipping

The product is shipped with polar packs. Upon receipt, store it immediately at the temperature recommended below.

Stability & Storage

Store at -20C. Avoid freeze-thaw cycles.

Background: NSBP1

The NSBP1 gene encodes a nuclear protein with similarities to the high mobility group proteins, HMG14 and HMG17, whichsuggests that this protein may function as a nucleosomal binding and transcriptional activating protein. (provided byRefSeq)

Alternate Names

high mobility group nucleosome-binding domain-containing protein 5, high-mobility group nucleosome binding domain 5, NBP-45, NSBP1nucleosomal binding protein 1, Nucleosome-binding protein 1

Gene Symbol

HMGN5

Additional NSBP1 Products

Product Documents for NSBP1 Antibody - BSA Free

Certificate of Analysis

To download a Certificate of Analysis, please enter a lot number in the search box below.

Product Specific Notices for NSBP1 Antibody - BSA Free

This product is for research use only and is not approved for use in humans or in clinical diagnosis. Primary Antibodies are guaranteed for 1 year from date of receipt.

Loading...
Loading...
Loading...
Loading...