Skip to main content

NRF3 Antibody - Azide and BSA Free

Novus Biologicals, part of Bio-Techne | Catalog # NBP2-93557

Novus Biologicals, part of Bio-Techne
Catalog #
Availability
Size / Price
Qty
Loading...
NBP2-93557-0.1ml
NBP2-93557-0.02ml

Key Product Details

Species Reactivity

Human, Mouse, Rat

Applications

Immunohistochemistry, Immunohistochemistry-Paraffin, Western Blot, ELISA

Label

Unconjugated

Antibody Source

Polyclonal Rabbit IgG

Format

Azide and BSA Free

Concentration

Please see the vial label for concentration. If unlisted please contact technical services.

Product Specifications

Immunogen

Recombinant fusion protein containing a sequence corresponding to amino acids 330-550 of human NRF3 (NP_004280.5). DPTARTSQSQEPFLQLNSHTTNPEQTLPGTNLTGFLSPVDNHMRNLTSQDLLYDLDINIFDEINLMSLATEDNFDPIDVSQLFDEPDSDSGLSLDSSHNNTSVIKSNSSHSVCDEGAIGYCTDHESSSHHDLEGAVGGYYPEPSKLCHLDQSDSDFHGDLTFQHVFHNHTYHLQPTAPESTSEPFPWPGKSQKIRSRYLEDTDRNLSRDEQRAKALHIPFS

Clonality

Polyclonal

Host

Rabbit

Isotype

IgG

Theoretical MW

76 kDa.
Disclaimer note: The observed molecular weight of the protein may vary from the listed predicted molecular weight due to post translational modifications, post translation cleavages, relative charges, and other experimental factors.

Description

Novus Biologicals Rabbit NRF3 Antibody - Azide and BSA Free (NBP2-93557) is a polyclonal antibody validated for use in IHC, WB and ELISA. All Novus Biologicals antibodies are covered by our 100% guarantee.

Scientific Data Images for NRF3 Antibody - Azide and BSA Free

Western Blot: NRF3 AntibodyAzide and BSA Free [NBP2-93557]

Western Blot: NRF3 AntibodyAzide and BSA Free [NBP2-93557]

Western Blot: NRF3 Antibody [NBP2-93557] - Analysis of extracts of various cell lines, using NRF3 antibody (NBP2-93557) at 1:1000 dilution. Secondary antibody: HRP Goat Anti-Rabbit IgG (H+L) at 1:10000 dilution. Lysates/proteins: 25ug per lane. Blocking buffer: 3% nonfat dry milk in TBST. Detection: ECL Basic Kit. Exposure time: 10s.
NRF3 Antibody - Azide and BSA Free

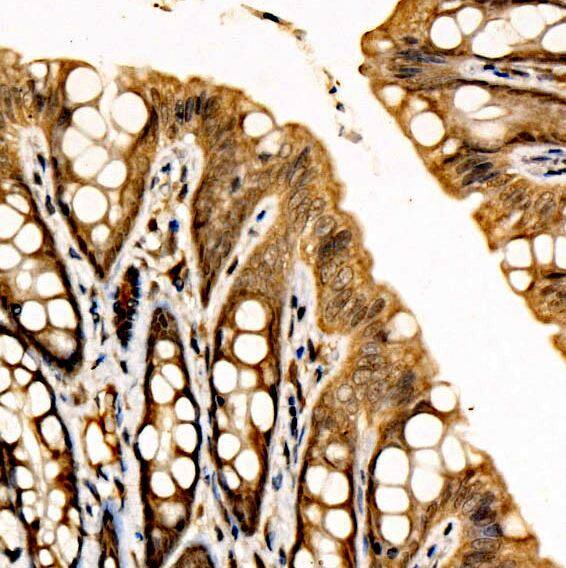
Immunohistochemistry-Paraffin-NRF3 Antibody [NBP2-93557] -

Immunohistochemistry-Paraffin-NRF3 Antibody [NBP2-93557] -Analysis of NFE2L3 in paraffin-embedded rat colon tissue using NFE2L3 Rabbit pAb at a dilution of 1:100 (40x lens). High pressure antigen retrieval was performed with 0.01 M citrate buffer (pH 6.0) prior to IHC staining.
NRF3 Antibody - Azide and BSA Free

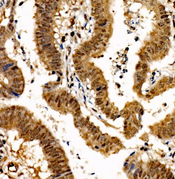
Immunohistochemistry-Paraffin-NRF3 Antibody [NBP2-93557] -

Immunohistochemistry-Paraffin-NRF3 Antibody [NBP2-93557] -Analysis of NFE2L3 in paraffin-embedded human colon carcinoma tissue using NFE2L3 Rabbit pAb at a dilution of 1:100 (40x lens). High pressure antigen retrieval was performed with 0.01 M citrate buffer (pH 6.0) prior to IHC staining.

Applications for NRF3 Antibody - Azide and BSA Free

Application
Recommended Usage

ELISA

Recommended starting concentration is 1 μg/mL. Please optimize the concentration based on your specific assay requirements.

Immunohistochemistry

1:50 - 1:200

Immunohistochemistry-Paraffin

1:50 - 1:200

Western Blot

1:500 - 1:1000

Formulation, Preparation, and Storage

Purification

Affinity purified

Formulation

PBS (pH 7.3), 50% glycerol

Format

Azide and BSA Free

Preservative

0.02% Sodium Azide

Concentration

Please see the vial label for concentration. If unlisted please contact technical services.

Shipping

The product is shipped with polar packs. Upon receipt, store it immediately at the temperature recommended below.

Stability & Storage

Store at -20C. Avoid freeze-thaw cycles.

Background: NRF3

NFE2L3 - nuclear factor (erythroid-derived 2)-like 3

Alternate Names

NF-E2-related factor 3, NFE2-related factor 3, Nrf3, NRF3nuclear factor erythroid 2-related factor 3, nuclear factor (erythroid-derived 2)-like 3, Nuclear factor, erythroid derived 2, like 3, nuclear factor-erythroid 2 p45-related factor 3, nuclear factor-erythroid 2-related factor 3

Gene Symbol

NFE2L3

Additional NRF3 Products

Product Documents for NRF3 Antibody - Azide and BSA Free

Certificate of Analysis

To download a Certificate of Analysis, please enter a lot number in the search box below.

Product Specific Notices for NRF3 Antibody - Azide and BSA Free

This product is for research use only and is not approved for use in humans or in clinical diagnosis. Primary Antibodies are guaranteed for 1 year from date of receipt.

Loading...
Loading...
Loading...
Loading...

⚠ WARNING: This product can expose you to chemicals including Methotrexate, which is known to the State of California to cause reproductive toxicity with developmental effects. For more information, go to www.P65Warnings.ca.gov