Skip to main content

Nrf1 Antibody - BSA Free

Novus Biologicals, part of Bio-Techne | Catalog # NBP2-19586

Novus Biologicals, part of Bio-Techne
Catalog #
Availability
Size / Price
Qty
Loading...
NBP2-19586

Key Product Details

Species Reactivity

Validated:

Human, Mouse, Rat

Cited:

Mouse

Predicted:

Bovine (100%), Chicken (99%), Xenopus (93%), Zebrafish (92%). Backed by our 100% Guarantee.

Applications

Validated:

Immunohistochemistry, Immunohistochemistry-Paraffin, Western Blot, Immunocytochemistry/ Immunofluorescence, Immunoprecipitation

Cited:

Western Blot

Label

Unconjugated

Antibody Source

Polyclonal Rabbit IgG

Format

BSA Free

Concentration

Concentrations vary lot to lot. See vial label for concentration. If unlisted please contact technical services.

Product Specifications

Immunogen

Recombinant protein encompassing a sequence within the center region of human Nrf1. The exact sequence is proprietary.

Reactivity Notes

Xenopus laevis (93%).

Localization

Nucleus

Clonality

Polyclonal

Host

Rabbit

Isotype

IgG

Theoretical MW

54 kDa.
Disclaimer note: The observed molecular weight of the protein may vary from the listed predicted molecular weight due to post translational modifications, post translation cleavages, relative charges, and other experimental factors.

Description

Novus Biologicals Rabbit Nrf1 Antibody - BSA Free (NBP2-19586) is a polyclonal antibody validated for use in IHC, WB, ICC/IF and IP. Anti-Nrf1 Antibody: Cited in 1 publication. All Novus Biologicals antibodies are covered by our 100% guarantee.

Scientific Data Images for Nrf1 Antibody - BSA Free

Immunohistochemistry-Paraffin: Nrf1 Antibody [NBP2-19586]

Immunohistochemistry-Paraffin: Nrf1 Antibody [NBP2-19586]

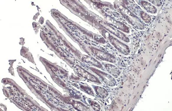
Immunohistochemistry-Paraffin: Nrf1 Antibody [NBP2-19586] - Paraffin-embedded mouse colon. NRF1 antibody dilution: 1:500.
Western Blot: Nrf1 Antibody [NBP2-19586]

Western Blot: Nrf1 Antibody [NBP2-19586]

Western Blot: Nrf1 Antibody [NBP2-19586] - IP samples: 293T whole cell extract A. Control with 4 ug of preimmune Rabbit IgG B. Immunoprecipitation of NRF1 protein by 4 ug NRF1 antibody. 10 % SDS-PAGE The immunoprecipitated NRF1 protein was detected by NRF1 antibody diluted at 1:1000. [EasyBlot anti-rabbit IgG was used as a secondary reagent].
Immunohistochemistry-Paraffin: Nrf1 Antibody [NBP2-19586]

Immunohistochemistry-Paraffin: Nrf1 Antibody [NBP2-19586]

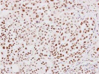
Immunohistochemistry-Paraffin: Nrf1 Antibody [NBP2-19586] - Paraffin-embedded human lung adenocarcinoma. NRF1 antibody diluted at 1:250.

Applications for Nrf1 Antibody - BSA Free

Application
Recommended Usage

Immunocytochemistry/ Immunofluorescence

1:100-1:1000

Immunohistochemistry

1:100-1:1000

Immunohistochemistry-Paraffin

1:100-1:1000

Immunoprecipitation

1:100-1:500

Western Blot

1:500-1:3000

Formulation, Preparation, and Storage

Purification

Antigen Affinity-purified

Formulation

PBS, 20% Glycerol

Format

BSA Free

Preservative

0.025% Proclin 300

Concentration

Concentrations vary lot to lot. See vial label for concentration. If unlisted please contact technical services.

Shipping

The product is shipped with polar packs. Upon receipt, store it immediately at the temperature recommended below.

Stability & Storage

Aliquot and store at -20C or -80C. Avoid freeze-thaw cycles.

Background: Nrf1

This gene encodes a protein that homodimerizes and functions as a transcription factor which activates the expression of some key metabolic genes regulating cellular growth and nuclear genes required for respiration, heme biosynthesis, and mitochondrial DNA transcription and replication. The protein has also been associated with the regulation of neurite outgrowth. Alternate transcriptional splice variants, which encode the same protein, have been characterized. Additional variants encoding different protein isoforms have been described but they have not been fully characterized. Confusion has occurred in bibliographic databases due to the shared symbol of NRF1 for this gene and for "nuclear factor (erythroid-derived 2)-like 1" which has an official symbol of NFE2L1. [provided by RefSeq]

Long Name

NF-E2-related Factor 1

Alternate Names

HBZ17, LCR-F1, NFE2L1, TCF11

Entrez Gene IDs

4899 (Human)

Gene Symbol

NRF1

Additional Nrf1 Products

Product Documents for Nrf1 Antibody - BSA Free

Certificate of Analysis

To download a Certificate of Analysis, please enter a lot number in the search box below.

Product Specific Notices for Nrf1 Antibody - BSA Free

This product is for research use only and is not approved for use in humans or in clinical diagnosis. Primary Antibodies are guaranteed for 1 year from date of receipt.

Loading...
Loading...
Loading...
Loading...