Skip to main content

NRBF2 Antibody (OTI1A2)

Novus Biologicals, part of Bio-Techne | Catalog # NBP2-46258

Novus Biologicals, part of Bio-Techne

Key Product Details

Species Reactivity

Human, Mouse, Rat

Applications

Immunohistochemistry, Immunohistochemistry-Paraffin, Western Blot

Label

Unconjugated

Antibody Source

Monoclonal Mouse IgG2A Clone # OTI1A2

Concentration

1 mg/ml

Product Specifications

Immunogen

Full length human recombinant protein of human NRBF2 (NP_110386) produced in E.coli.

Reactivity Notes

Please note that this antibody is reactive to Mouse and derived from the same host, Mouse. Mouse-On-Mouse blocking reagent may be needed for IHC and ICC experiments to reduce high background signal. You can find these reagents under catalog numbers PK-2200-NB and MP-2400-NB. Please contact Technical Support if you have any questions.

Clonality

Monoclonal

Host

Mouse

Isotype

IgG2A

Description

Novus Biologicals Mouse NRBF2 Antibody (OTI1A2) (NBP2-46258) is a monoclonal antibody validated for use in IHC and WB. All Novus Biologicals antibodies are covered by our 100% guarantee.

Scientific Data Images for NRBF2 Antibody (OTI1A2)

Western Blot: NRBF2 Antibody (OTI1A2) [NBP2-46258]

Western Blot: NRBF2 Antibody (OTI1A2) [NBP2-46258]

Western Blot: NRBF2 Antibody (1A2) [NBP2-46258] - Analysis of HEK293T cells were transfected with the pCMV6-ENTRY control (Left lane) or pCMV6-ENTRY NRBF2.
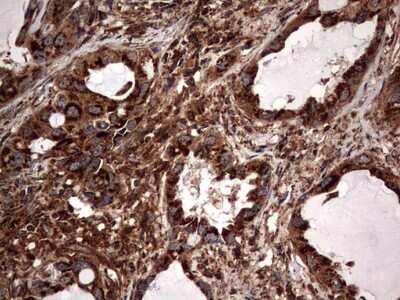
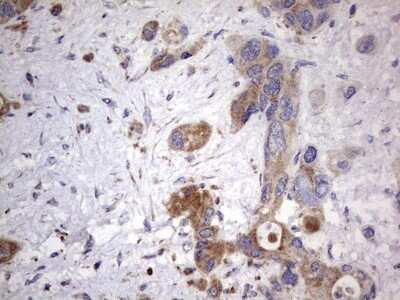
Immunohistochemistry: NRBF2 Antibody (OTI1A2) [NBP2-46258]

Immunohistochemistry: NRBF2 Antibody (OTI1A2) [NBP2-46258]

Immunohistochemistry: NRBF2 Antibody (1A2) [NBP2-46258] - Analysis of Human tonsil tissue.
Western Blot: NRBF2 Antibody (OTI1A2) [NBP2-46258]

Western Blot: NRBF2 Antibody (OTI1A2) [NBP2-46258]

Western Blot: NRBF2 Antibody (1A2) [NBP2-46258] - Analysis of HT29 cell lysate (35ug).

Applications for NRBF2 Antibody (OTI1A2)

Application
Recommended Usage

Immunohistochemistry

1:150

Western Blot

1:2000

Formulation, Preparation, and Storage

Purification

Immunogen affinity purified

Formulation

PBS (pH 7.3), 1.0% BSA and 50% Glycerol

Preservative

0.02% Sodium Azide

Concentration

1 mg/ml

Shipping

The product is shipped with polar packs. Upon receipt, store it immediately at the temperature recommended below.

Stability & Storage

Store at -20C. Avoid freeze-thaw cycles.

Background: NRBF2

NRBF2 (nuclear receptor binding factor-2) was originally identified in a yeast two-hybrid screen for factors that interact with the peroxisome proliferator-activated receptor alpha (PPARalpha). In a second study, NRBF2 was also identified in a screen of a keratinocyte cDNA library and named COPR (comodulator of PPAR and RXR). In this study, NRBF2 was proposed to function as a modulator of transcriptional activity that functions to decrease rather than completely repress nuclear-receptor mediated gene expression. Alternative names for NRBF2 include COPR1, COPR2, and NRBF-2.

Alternate Names

Comodulator of PPAR and RXR, COPR, COPR1, COPR2, DKFZp564C1664, FLJ30395, NRBF-2, nuclear receptor binding factor 2, nuclear receptor binding factor-2, nuclear receptor-binding factor 2

Gene Symbol

NRBF2

Additional NRBF2 Products

Product Documents for NRBF2 Antibody (OTI1A2)

Certificate of Analysis

To download a Certificate of Analysis, please enter a lot number in the search box below.

Product Specific Notices for NRBF2 Antibody (OTI1A2)

This product is for research use only and is not approved for use in humans or in clinical diagnosis. Primary Antibodies are guaranteed for 1 year from date of receipt.

Loading...
Loading...
Loading...
Loading...