Skip to main content

NRAS Antibody

Novus Biologicals, part of Bio-Techne | Catalog # NBP2-19581

Novus Biologicals, part of Bio-Techne
Catalog #
Availability
Size / Price
Qty
Loading...
NBP2-19581

Key Product Details

Species Reactivity

Validated:

Human, Mouse, Rat

Predicted:

Bovine (100%), Canine (100%), Chicken (96%), Guinea Pig (99%), Porcine (100%), Xenopus (92%), Zebrafish (90%). Backed by our 100% Guarantee.

Applications

Western Blot

Label

Unconjugated

Antibody Source

Polyclonal Rabbit IgG

Concentration

Concentrations vary lot to lot. See vial label for concentration. If unlisted please contact technical services.

Product Specifications

Immunogen

Full length human NRAS Recombinant protein.

Reactivity Notes

Xenopus laevis (92%).

Localization

Cell membrane; Lipid-anchor; Cytoplasmic side; Golgi apparatus membrane; Lipid-anchor

Clonality

Polyclonal

Host

Rabbit

Isotype

IgG

Theoretical MW

21 kDa.
Disclaimer note: The observed molecular weight of the protein may vary from the listed predicted molecular weight due to post translational modifications, post translation cleavages, relative charges, and other experimental factors.

Description

Novus Biologicals Rabbit NRAS Antibody (NBP2-19581) is a polyclonal antibody validated for use in WB. All Novus Biologicals antibodies are covered by our 100% guarantee.

Scientific Data Images for NRAS Antibody

NRAS Antibody

Western Blot: NRAS Antibody [NBP2-19581] -

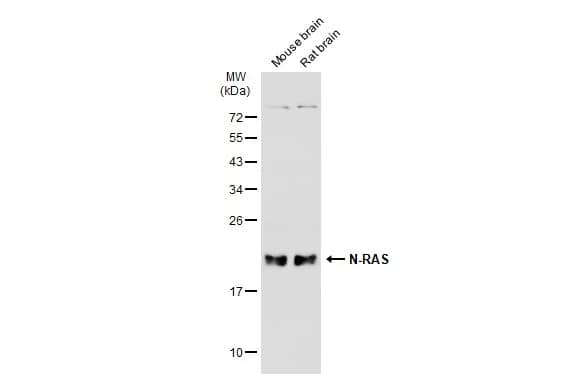
Western Blot: NRAS Antibody [NBP2-19581] - Various tissue extracts (50 ug) were separated by 12% SDS-PAGE, and the membrane was blotted with NRAS antibody (NBP2-19581) diluted at 1:1000. The HRP-conjugated anti-rabbit IgG antibody was used to detect the primary antibody, and the signal was developed with Trident ECL plus-Enhanced.
NRAS Antibody

Western Blot: NRAS Antibody [NBP2-19581] -

Various whole cell extracts (30 ug) were separated by 12% SDS-PAGE, and the membrane was blotted with N-RAS antibody (NBP2-19581) diluted at 1:1000. The HRP-conjugated anti-rabbit IgG antibody was used to detect the primary antibody, and the signal was developed with Trident ECL plus-Enhanced.
NRAS Antibody

Western Blot: NRAS Antibody [NBP2-19581] -

Non-transfected (-) and transfected (+) 293T whole cell extracts (30 ug) were separated by 12% SDS-PAGE, and the membrane was blotted with N-RAS antibody (NBP2-19581) diluted at 1:5000. The HRP-conjugated anti-rabbit IgG antibody was used to detect the primary antibody.

Applications for NRAS Antibody

Application
Recommended Usage

Western Blot

1:500-1:3000

Formulation, Preparation, and Storage

Purification

Antigen Affinity-purified

Formulation

PBS, 1% BSA, 20% Glycerol

Preservative

0.025% Proclin 300

Concentration

Concentrations vary lot to lot. See vial label for concentration. If unlisted please contact technical services.

Shipping

The product is shipped with polar packs. Upon receipt, store it immediately at the temperature recommended below.

Stability & Storage

Aliquot and store at -20C or -80C. Avoid freeze-thaw cycles.

Background: NRAS

This is an N-ras oncogene encoding a membrane protein that shuttles between the Golgi apparatus and the plasma membrane. This shuttling is regulated through palmitoylation and depalmitoylation by the ZDHHC9-GOLGA7 complex. The encoded protein, which has intrinsic GTPase activity, is activated to a GTP-bound form by a GTPase activating protein and inactivated to a GDP-bound form by a guanine nucleotide-exchange factor. Defects in this gene are a cause of juvenile myelomonocytic leukemia (JMML). [provided by RefSeq]

Alternate Names

ALPS4, GTPase NRas, HRAS1, neuroblastoma RAS viral (v-ras) oncogene homolog, N-ras, N-ras protein part 4, NRAS1, NS6, Transforming protein N-Ras, v-ras neuroblastoma RAS viral oncogene homolog

Gene Symbol

NRAS

UniProt

Additional NRAS Products

Product Documents for NRAS Antibody

Certificate of Analysis

To download a Certificate of Analysis, please enter a lot number in the search box below.

Product Specific Notices for NRAS Antibody

This product is for research use only and is not approved for use in humans or in clinical diagnosis. Primary Antibodies are guaranteed for 1 year from date of receipt.

Loading...
Loading...
Loading...
Loading...
Loading...

⚠ WARNING: This product can expose you to chemicals including mercury, which is known to the State of California to cause reproductive toxicity with developmental effects.  For more information go to www.P65Warnings.ca.gov.