Skip to main content

NPAS1 Antibody - BSA Free

Novus Biologicals, part of Bio-Techne | Catalog # NBP3-47317

Novus Biologicals, part of Bio-Techne
Catalog #
Availability
Size / Price
Qty
Loading...
NBP3-47317

Key Product Details

Species Reactivity

Human, Mouse, Rat

Applications

ELISA, Immunohistochemistry, Western Blot

Label

Unconjugated

Antibody Source

Polyclonal Rabbit IgG

Format

BSA Free

Concentration

Please see the vial label for concentration. If unlisted please contact technical services.

Product Specifications

Immunogen

neuronal PAS domain protein 1. (Uniprot# Q99742)

Clonality

Polyclonal

Host

Rabbit

Isotype

IgG

Description

Novus Biologicals Rabbit NPAS1 Antibody - BSA Free (NBP3-47317) is a polyclonal antibody validated for use in IHC, WB and ELISA. All Novus Biologicals antibodies are covered by our 100% guarantee.

Scientific Data Images for NPAS1 Antibody - BSA Free

NPAS1 Antibody - BSA Free

Western Blot: NPAS1 Antibody - BSA Free [NBP3-47317] -

Western Blot: NPAS1 Antibody - BSA Free [NBP3-47317] - Human brain tissue were subjected to SDS PAGE followed by western blot with (NPAS1 antibody) at dilution of 1:300
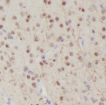
NPAS1 Antibody - BSA Free

Immunohistochemistry: NPAS1 Antibody - BSA Free [NBP3-47317] -

Immunohistochemistry: NPAS1 Antibody - BSA Free [NBP3-47317] - Immunohistochemistry of paraffin-embedded human brain using (NPAS1 antibody) at dilution of 1:50

Applications for NPAS1 Antibody - BSA Free

Application
Recommended Usage

Immunohistochemistry

1:20-1:200

Western Blot

1:500-1:2000
Application Notes
Theoretical Molecular Weight is 63-68 kDa

Formulation, Preparation, and Storage

Purification

Immunogen affinity purified

Formulation

PBS, 50% Glycerol, pH (7.3)

Format

BSA Free

Preservative

0.02% Sodium Azide

Concentration

Please see the vial label for concentration. If unlisted please contact technical services.

Shipping

The product is shipped with polar packs. Upon receipt, store it immediately at the temperature recommended below.

Stability & Storage

Store at -20C. Avoid freeze-thaw cycles.

Background: NPAS1

NPAS1 is encoded by this gene is a member of the basic helix-loop-helix (bHLH)-PAS family of transcription factors. Studies of a related mouse gene suggest that it functions in neurons. The exact function of this gene is unclear, but it may play protective or modulatory roles during late embryogenesis and postnatal development. [provided by RefSeq].

Alternate Names

Basic-helix-loop-helix-PAS protein MOP5, BHLHE11, bHLHe11member of PAS superfamily 5, Class E basic helix-loop-helix protein 11, Member of PAS protein 5, MOP5Neuronal PAS1, neuronal PAS domain protein 1, neuronal PAS domain-containing protein 1, PASD5PAS domain-containing protein 5

Gene Symbol

NPAS1

Additional NPAS1 Products

Product Documents for NPAS1 Antibody - BSA Free

Certificate of Analysis

To download a Certificate of Analysis, please enter a lot number in the search box below.

Product Specific Notices for NPAS1 Antibody - BSA Free

This product is for research use only and is not approved for use in humans or in clinical diagnosis. Primary Antibodies are guaranteed for 1 year from date of receipt.

Loading...
Loading...
Loading...
Loading...