Skip to main content

Nox4 Antibody - BSA Free

Novus Biologicals, part of Bio-Techne | Catalog # NBP2-41293

Novus Biologicals, part of Bio-Techne

Key Product Details

Species Reactivity

Validated:

Human, Mouse, Rat

Cited:

Human

Applications

Immunohistochemistry, Immunohistochemistry-Paraffin, Western Blot, ELISA, Immunocytochemistry/ Immunofluorescence

Label

Unconjugated

Antibody Source

Polyclonal Rabbit IgG

Format

BSA Free

Concentration

1 mg/ml

Product Specifications

Immunogen

Antibody was raised against a 14 amino acid peptide near the amino terminus of human NOX4. The immunogen is located within amino acids 70 - 120 of NOX4. Amino Acid Squence: RGSQKVPSRRTRRL

Specificity

At least four isoforms of NOX4 are known to exist. NOX4 is predicted to not cross-react with other NOX proteins.

Clonality

Polyclonal

Host

Rabbit

Isotype

IgG

Theoretical MW

68 kDa.
Disclaimer note: The observed molecular weight of the protein may vary from the listed predicted molecular weight due to post translational modifications, post translation cleavages, relative charges, and other experimental factors.

Description

Novus Biologicals Rabbit Nox4 Antibody - BSA Free (NBP2-41293) is a polyclonal antibody validated for use in IHC, WB, ELISA and ICC/IF. Anti-Nox4 Antibody: Cited in 1 publication. All Novus Biologicals antibodies are covered by our 100% guarantee.

Scientific Data Images for Nox4 Antibody - BSA Free

Western Blot: Nox4 AntibodyBSA Free [NBP2-41293]

Western Blot: Nox4 AntibodyBSA Free [NBP2-41293]

Western Blot: Nox4 Antibody [NBP2-41293] - Analysis of NOX4 in Jurkat cell lysate with NOX4 antibody at 1 ug/ml in (A) the absence and (B) the presence of blocking peptide.
Nox4 Antibody - BSA Free

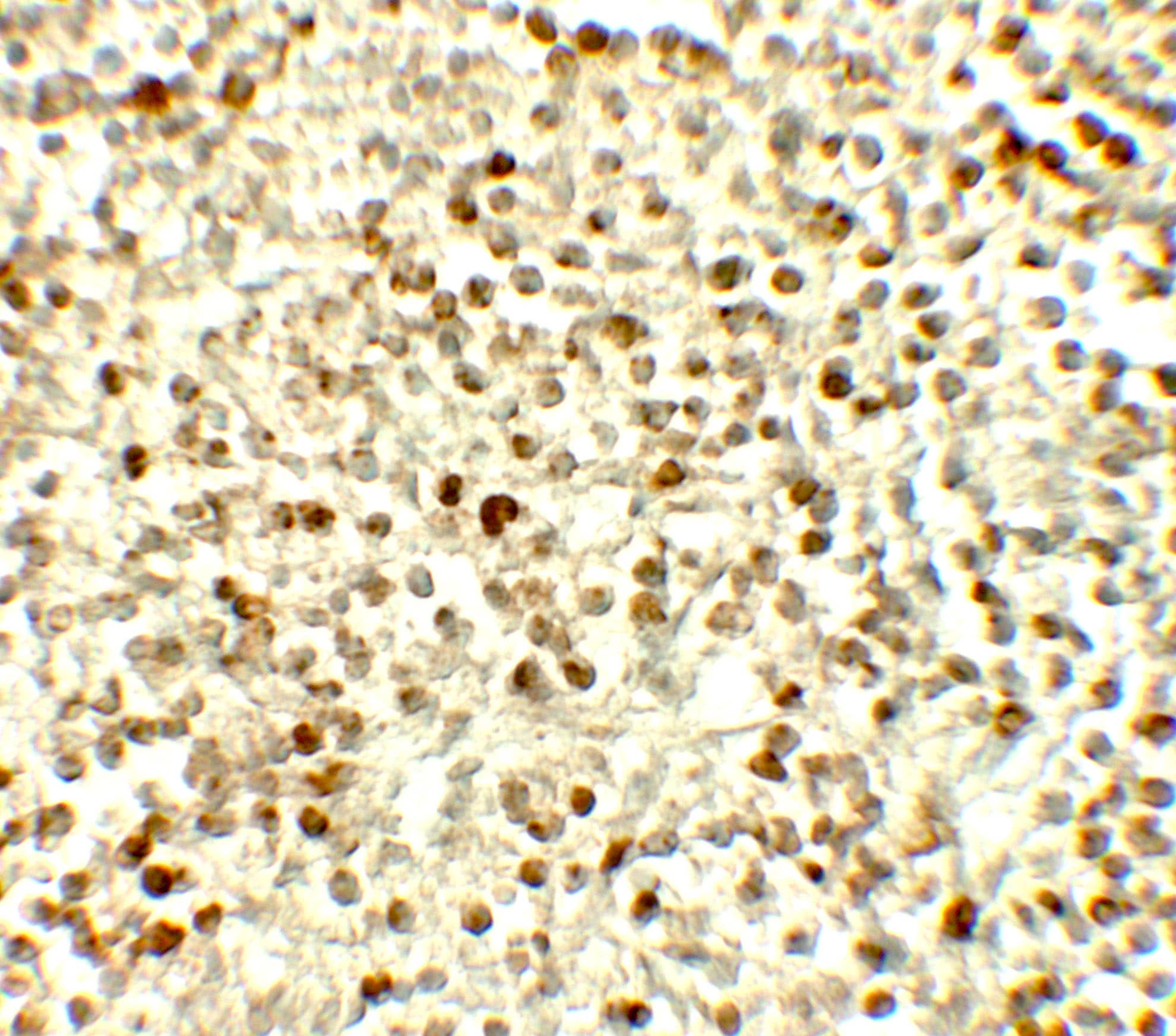
Immunohistochemistry: Nox4 Antibody - BSA Free [NBP2-41293] -

Immunohistochemistry: Nox4 Antibody - BSA Free [NBP2-41293] - Immunohistochemistry of Nox4 in human spleen tissue with Nox4 antibody at 5 u/ml.
Nox4 Antibody - BSA Free

Immunocytochemistry/ Immunofluorescence: Nox4 Antibody - BSA Free [NBP2-41293] -

Immunocytochemistry/ Immunofluorescence: Nox4 Antibody - BSA Free [NBP2-41293] - Immunofluorescence of Nox4 in human spleen tissue with Nox4 antibody at 20 ug/ml.

Applications for Nox4 Antibody - BSA Free

Application
Recommended Usage

Immunocytochemistry/ Immunofluorescence

20 ug/ml

Immunohistochemistry

5 ug/ml

Immunohistochemistry-Paraffin

5 ug/ml

Western Blot

1-2 ug/ml

Formulation, Preparation, and Storage

Purification

Peptide affinity purified

Formulation

PBS

Format

BSA Free

Preservative

0.02% Sodium Azide

Concentration

1 mg/ml

Shipping

The product is shipped with polar packs. Upon receipt, store it immediately at the temperature recommended below.

Stability & Storage

Store at 4C short term. Aliquot and store at -20C long term. Avoid freeze-thaw cycles.

Background: Nox4

NOX4 (RENOX) is a renal gp91-phox homolog which functions in the kidney as an oxygen sensor and regulates the synthesis of erythropoietin. This protein is highly expressed at the site of erythropoietin production in the proximal convoluted tubule epithelial cells of the renal cortex.

NOX-4 is also expressed in fetal tissues, placenta, glioblastoma and vascular cells. Like gp91-phox, the enzymatic activity of NOX4 produces superoxide anions. In vascular cells, the addition of angiotensin II increases NOX4 expression, which indicates that NOX4 has a role in vascular oxidative stress response. NOX4 has a role as a redox messenger in the activation of intracellular signaling pathways leading (or contributing) to mitochondriogenesis, cell survival, and differentiation in hematopoietic stem cells. Data suggest that NOX4 provides a novel link between the insulin receptor and the generation of cellular reactive oxygen species that enhances insulin signal transduction.

Long Name

NADPH Oxidase 4

Alternate Names

KOX-1, RENOX

Gene Symbol

NOX4

Additional Nox4 Products

Product Documents for Nox4 Antibody - BSA Free

Certificate of Analysis

To download a Certificate of Analysis, please enter a lot number in the search box below.

Product Specific Notices for Nox4 Antibody - BSA Free

This product is for research use only and is not approved for use in humans or in clinical diagnosis. Primary Antibodies are guaranteed for 1 year from date of receipt.

Loading...
Loading...
Loading...
Loading...