Skip to main content

NOP56 Antibody (CL2603) - Azide and BSA Free

Novus Biologicals, part of Bio-Techne | Catalog # NBP3-44458

Novus Biologicals, part of Bio-Techne
Catalog #
Availability
Size / Price
Qty
Loading...
NBP3-44458

Key Product Details

Validated by

Knockout/Knockdown

Species Reactivity

Human

Applications

Immunohistochemistry-Paraffin, Western Blot, Immunocytochemistry/ Immunofluorescence

Label

Unconjugated

Antibody Source

Monoclonal Mouse IgG1 Clone # CL2603

Format

Azide and BSA Free

Concentration

LYOPH mg/ml

Product Specifications

Immunogen

This antibody was generated using a recombinant protein sequence of O00567, with the exact immunogen sequence remaining proprietary.

Clonality

Monoclonal

Host

Mouse

Isotype

IgG1

Description

Novus Biologicals Mouse NOP56 Antibody (CL2603) - Azide and BSA Free (NBP2-36778) is a monoclonal antibody validated for use in IHC, WB and ICC/IF. All Novus Biologicals antibodies are covered by our 100% guarantee.

Scientific Data Images for NOP56 Antibody (CL2603) - Azide and BSA Free

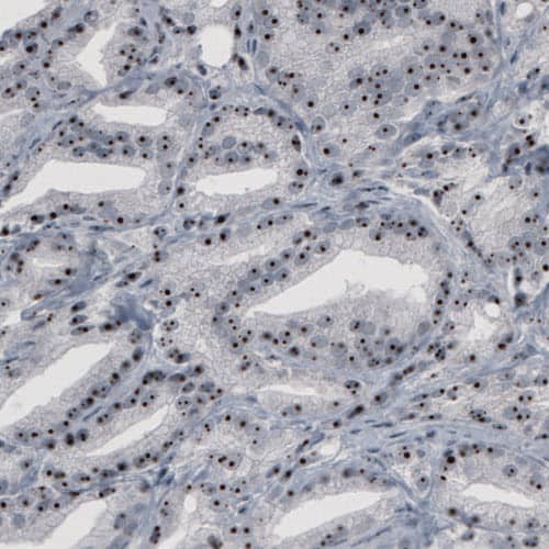
NOP56 Antibody (CL2603) - Azide and BSA Free Immunohistochemistry-Paraffin: NOP56 Antibody [NBP3-44458]

Immunohistochemistry-Paraffin: NOP56 Antibody [NBP3-44458]

Staining of human breast cancer shows strong nucleolar positivity in tumor cells.
NOP56 Antibody (CL2603) - Azide and BSA Free Immunocytochemistry/ Immunofluorescence: NOP56 Antibody [NBP3-44458]

Immunocytochemistry/ Immunofluorescence: NOP56 Antibody [NBP3-44458]

Staining in HeLa cell line with Anti-NOP56 monoclonal antibody) .
NOP56 Antibody (CL2603) - Azide and BSA Free Immunocytochemistry/ Immunofluorescence: NOP56 Antibody [NBP3-44458]

Immunocytochemistry/ Immunofluorescence: NOP56 Antibody [NBP3-44458]

Staining in A431 cell line with Anti-NOP56 monoclonal antibody) .

Applications for NOP56 Antibody (CL2603) - Azide and BSA Free

Application
Recommended Usage

Immunocytochemistry/ Immunofluorescence

2-10 ug/ml

Immunohistochemistry-Paraffin

1:500 - 1:1000

Western Blot

1 ug/ml
Application Notes
For IHC-Paraffin, HIER pH 6 retrieval is recommended. Immunocytochemistry/ Immunofluorescence/IF Fixation Permeabilization: Use PFA/Triton X-100.

Formulation, Preparation, and Storage

Purification

Protein A purified

Reconstitution

Centrifuge the vial of lyophilized antibody at 12,000 x g for 20 seconds. Reconstitute by adding sterile, distilled water to achieve a final antibody concentration of 1mg/ml.

Formulation

Lyophilized from a 0.2 um filtered solution in PBS with Trehalose

Format

Azide and BSA Free

Preservative

No Preservative

Concentration

LYOPH mg/ml

Shipping

The product is shipped at ambient temperature. Upon receipt, store it immediately at the temperature recommended below.

Stability & Storage

Store at 4C short term. Aliquot and store at -20C long term. Avoid freeze-thaw cycles.

Background: NOP56

Nop56p is a yeast nucleolar protein that is part of a complex with the nucleolar proteins Nop58p and fibrillarin. Nop56p is required for assembly of the 60S ribosomal subunit and is involved in pre-rRNA processing. The protein encoded by this gene is similar in sequence to Nop56p and is also found in the nucleolus. Multiple transcript variants encoding several different isoforms have been found for this gene, but the full-length nature of most of them have not been determined.

Alternate Names

NOL5A, NOP56 ribonucleoprotein homolog (yeast), nucleolar protein 56, Nucleolar protein 5A, nucleolar protein 5A (56kD with KKE/D repeat), nucleolar protein 5A (56kDa with KKE/D repeat)

Gene Symbol

NOP56

Additional NOP56 Products

Product Documents for NOP56 Antibody (CL2603) - Azide and BSA Free

Certificate of Analysis

To download a Certificate of Analysis, please enter a lot number in the search box below.

Product Specific Notices for NOP56 Antibody (CL2603) - Azide and BSA Free

This product is for research use only and is not approved for use in humans or in clinical diagnosis. Primary Antibodies are guaranteed for 1 year from date of receipt.

Loading...
Loading...
Loading...
Loading...
Loading...