Skip to main content

NOL12 Antibody - BSA Free

Novus Biologicals, part of Bio-Techne | Catalog # NBP1-86155

Novus Biologicals, part of Bio-Techne
Catalog #
Availability
Size / Price
Qty
Loading...
NBP1-86155
NBP1-86155-25ul

Key Product Details

Species Reactivity

Human

Applications

Immunohistochemistry, Immunohistochemistry-Paraffin, Immunocytochemistry/ Immunofluorescence

Label

Unconjugated

Antibody Source

Polyclonal Rabbit IgG

Format

BSA Free

Concentration

Concentrations vary lot to lot. See vial label for concentration. If unlisted please contact technical services.

Product Specifications

Immunogen

This antibody was developed against Recombinant Protein corresponding to amino acids: HQEYLKMLAEREEALEEADELDRLVTAKTESVQYDHPNHTVTVTTISDLDLSGARLLGLTPPEGGAGDRSEEEASSTEKPTKALPRKSRDPLLSQRISSLTASLHAHSRKKVKRKHPRRAQDSKKPPRAPRTSKAQRRRLTGKAR

Reactivity Notes

Immunogen displays the following percentage of sequence identity for non-tested species: Mouse (88%), Rat (86%)

Clonality

Polyclonal

Host

Rabbit

Isotype

IgG

Scientific Data Images for NOL12 Antibody - BSA Free

Immunocytochemistry/ Immunofluorescence: NOL12 Antibody [NBP1-86155]

Immunocytochemistry/ Immunofluorescence: NOL12 Antibody [NBP1-86155]

Immunocytochemistry/Immunofluorescence: NOL12 Antibody [NBP1-86155] - Immunofluorescent staining of human cell line U-2 OS shows localization to nucleoli. Antibody staining is shown in green.
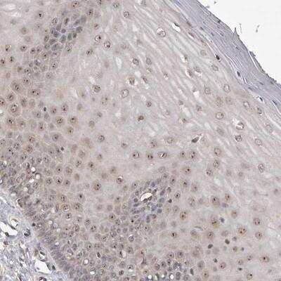
Immunohistochemistry-Paraffin: NOL12 Antibody [NBP1-86155]

Immunohistochemistry-Paraffin: NOL12 Antibody [NBP1-86155]

Immunohistochemistry-Paraffin: NOL12 Antibody [NBP1-86155] - Staining of human cervix, uterine shows distinct nucleolar positivity in squamous epithelial cells.

Applications for NOL12 Antibody - BSA Free

Application
Recommended Usage

Immunocytochemistry/ Immunofluorescence

0.25-2 ug/ml

Immunohistochemistry

1:1000 - 1:2500

Immunohistochemistry-Paraffin

1:1000 - 1:2500
Application Notes
For IHC-Paraffin, HIER pH 6 retrieval is recommended. Immunocytochemistry/Immunofluorescence Fixation Permeabilization: Use PFA/Triton X-100.

Formulation, Preparation, and Storage

Purification

Affinity purified

Formulation

PBS (pH 7.2) and 40% Glycerol

Format

BSA Free

Preservative

0.02% Sodium Azide

Concentration

Concentrations vary lot to lot. See vial label for concentration. If unlisted please contact technical services.

Shipping

The product is shipped with polar packs. Upon receipt, store it immediately at the temperature recommended below.

Stability & Storage

Store at 4C short term. Aliquot and store at -20C long term. Avoid freeze-thaw cycles.

Background: NOL12

NOL12 may bind to 28S rRNA

Alternate Names

dJ37E16.7, FLJ34609, MGC3731, Nop25, nucleolar protein 12, RRP17

Entrez Gene IDs

79159 (Human)

Gene Symbol

NOL12

UniProt

Additional NOL12 Products

Product Documents for NOL12 Antibody - BSA Free

Certificate of Analysis

To download a Certificate of Analysis, please enter a lot number in the search box below.

Product Specific Notices for NOL12 Antibody - BSA Free

This product is for research use only and is not approved for use in humans or in clinical diagnosis. Primary Antibodies are guaranteed for 1 year from date of receipt.

Loading...
Loading...
Loading...
Loading...