Skip to main content

NOD2 Antibody - BSA Free

Novus Biologicals, part of Bio-Techne | Catalog # NBP2-48752

Novus Biologicals, part of Bio-Techne
Catalog #
Availability
Size / Price
Qty
Loading...
NBP2-48752
NBP2-48752-25ul

Key Product Details

Validated by

Orthogonal Validation

Species Reactivity

Human

Applications

Immunohistochemistry, Immunohistochemistry-Paraffin

Label

Unconjugated

Antibody Source

Polyclonal Rabbit IgG

Format

BSA Free

Concentration

Concentrations vary lot to lot. See vial label for concentration. If unlisted please contact technical services.

Product Specifications

Immunogen

This antibody was developed against a recombinant protein corresponding to amino acids: VWNKGTWACQKLIAAAQEAQADSQSPKLHGCWDPHSLHPARDLQSHRPAIVRRLHSHVENMLDLAWERGFVSQYECDEIRLPI

Clonality

Polyclonal

Host

Rabbit

Isotype

IgG

Description

Novus Biologicals Rabbit NOD2 Antibody - BSA Free (NBP2-48752) is a polyclonal antibody validated for use in IHC. All Novus Biologicals antibodies are covered by our 100% guarantee.

Scientific Data Images for NOD2 Antibody - BSA Free

Immunohistochemistry-Paraffin: NOD2 Antibody [NBP2-48752]

Immunohistochemistry-Paraffin: NOD2 Antibody [NBP2-48752]

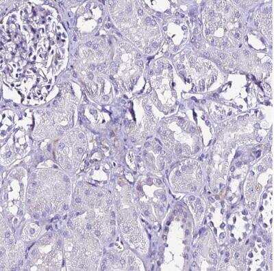
Immunohistochemistry-Paraffin: NOD2 Antibody [NBP2-48752] - Analysis in human skin and kidney tissues. Corresponding NOD2 RNA-seq data are presented for the same tissues.
Immunohistochemistry-Paraffin: NOD2 Antibody [NBP2-48752]

Immunohistochemistry-Paraffin: NOD2 Antibody [NBP2-48752]

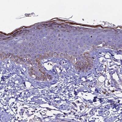
Immunohistochemistry-Paraffin: NOD2 Antibody [NBP2-48752] - Staining of human skin shows moderate to strong cytoplasmic positivity in keratinocytes.
Immunohistochemistry-Paraffin: NOD2 Antibody [NBP2-48752]

Immunohistochemistry-Paraffin: NOD2 Antibody [NBP2-48752]

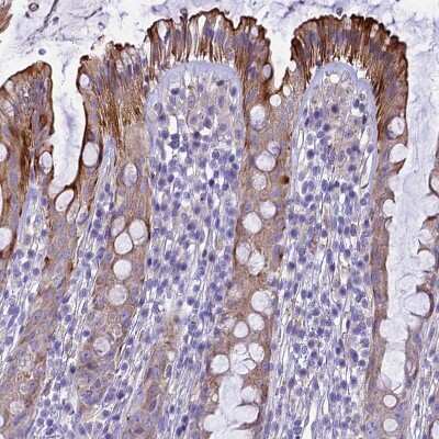
Immunohistochemistry-Paraffin: NOD2 Antibody [NBP2-48752] - Staining of human duodenum shows strong cytoplasmic positivity in glandular cells.

Applications for NOD2 Antibody - BSA Free

Application
Recommended Usage

Immunohistochemistry

1:50 - 1:200

Immunohistochemistry-Paraffin

1:50 - 1:200
Application Notes
For IHC-Paraffin, HIER pH 6 retrieval is recommended.

Formulation, Preparation, and Storage

Purification

Immunogen affinity purified

Formulation

PBS (pH 7.2) and 40% Glycerol

Format

BSA Free

Preservative

0.02% Sodium Azide

Concentration

Concentrations vary lot to lot. See vial label for concentration. If unlisted please contact technical services.

Shipping

The product is shipped with polar packs. Upon receipt, store it immediately at the temperature recommended below.

Stability & Storage

Store at 4C short term. Aliquot and store at -20C long term. Avoid freeze-thaw cycles.

Background: NOD2

NOD2 (nucleotide-binding oligomerization domain containing 2) is a member of the apoptosis regulating protein family that includes caspase recruitment-domains, as well as Apaf-1 and NOD1. It contains two N-terminal CARDs, a nucleotide binding domain (NBD), and multiple C-terminal leucine-rich repeats (LRRs). NOD2 is expressed in monocytes (whereas NOD1 is expressed in multiple tissues). NOD2 plays a role in regulating NF-kappaB. It also acts as an intracellular receptor for bacterial lipopolysaccharides and contributes to inflammatory bowel disease (IBD) and Crohn's disease.

Alternate Names

BLAU, CARD15caspase recruitment domain protein 15, caspase recruitment domain family, member 15, Caspase recruitment domain-containing protein 15, CDACUG, CLR16.3, IBD1NLR family, CARD domain containing 2, Inflammatory bowel disease protein 1, NLRC2, NOD-like receptor C2, nucleotide-binding oligomerization domain 2, nucleotide-binding oligomerization domain containing 2, nucleotide-binding oligomerization domain, leucine rich repeat and CARD domaincontaining 2, nucleotide-binding oligomerization domain-containing protein 2, PSORAS1NOD2B

Gene Symbol

NOD2

Additional NOD2 Products

Product Documents for NOD2 Antibody - BSA Free

Certificate of Analysis

To download a Certificate of Analysis, please enter a lot number in the search box below.

Product Specific Notices for NOD2 Antibody - BSA Free

This product is for research use only and is not approved for use in humans or in clinical diagnosis. Primary Antibodies are guaranteed for 1 year from date of receipt.

Loading...
Loading...
Loading...
Loading...
Loading...