Skip to main content

NMT2 Antibody - BSA Free

Novus Biologicals, part of Bio-Techne | Catalog # NBP2-99170

Novus Biologicals, part of Bio-Techne

Key Product Details

Species Reactivity

Human, Mouse

Applications

Immunohistochemistry-Paraffin

Label

Unconjugated

Antibody Source

Polyclonal Rabbit IgG

Format

BSA Free

Concentration

Please see the vial label for concentration. If unlisted please contact technical services.

Product Specifications

Immunogen

Produced in rabbits immunized with a synthetic peptide corresponding to the center region of the Human NMT2.

Clonality

Polyclonal

Host

Rabbit

Isotype

IgG

Description

This antibody can be stored at 2C to 8C for one month without detectable loss of activity. Antibody products are stable for twelve months from date of receipt when stored at -20C to -80C. Avoid repeated freeze-thaw cycles.

Scientific Data Images for NMT2 Antibody - BSA Free

Immunohistochemistry-Paraffin: NMT2 Antibody [NBP2-99170]

Immunohistochemistry-Paraffin: NMT2 Antibody [NBP2-99170]

Immunohistochemistry-Paraffin: NMT2 Antibody [NBP2-99170] - Immunochemical staining NMT2 in human liver with rabbit polyclonal antibody at 1:300 dilution, formalin-fixed paraffin embedded sections.
Immunohistochemistry-Paraffin: NMT2 Antibody [NBP2-99170]

Immunohistochemistry-Paraffin: NMT2 Antibody [NBP2-99170]

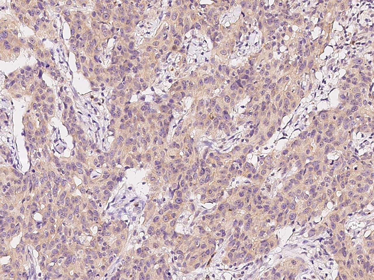
Immunohistochemistry-Paraffin: NMT2 Antibody [NBP2-99170] - Immunochemical staining NMT2 in human breast carcinoma with rabbit polyclonal antibody at 1:300 dilution, formalin-fixed paraffin embedded sections.
NMT2 Antibody - BSA Free

Immunohistochemistry-Paraffin: of NMT2 Antibody - BSA Free [NBP2-99170] -

Immunohistochemistry-Paraffin: of NMT2 Antibody - BSA Free [NBP2-99170] - Immunochemical staining of NMT2 in human breast carcinoma with NBP2-99170 at 1:300 dilution, formalin-fixed paraffin embedded sections.

Applications for NMT2 Antibody - BSA Free

Application
Recommended Usage

Immunohistochemistry-Paraffin

1:200-1:1000

Formulation, Preparation, and Storage

Purification

Antigen and protein A Affinity-purified

Formulation

PBS

Format

BSA Free

Preservative

0.03% Proclin 300

Concentration

Please see the vial label for concentration. If unlisted please contact technical services.

Shipping

The product is shipped with polar packs. Upon receipt, store it immediately at the temperature recommended below.

Stability & Storage

Store at 4C short term. Aliquot and store at -20C long term. Avoid freeze-thaw cycles.

Background: NMT2

N-myristoyltransferase (NMT) catalyzes the reaction of N-terminal myristoylation of many signaling proteins. It transfers myristic acid from myristoyl coenzyme A to the amino group of a protein's N-terminal glycine residue. Biochemical evidence indicates the presence of several distinct NMTs, varying in apparent molecular weight and /or subcellular distribution. The predicted 498-amino acid of human NMT2 protein shares 77% and 96% sequence identity with human NMT1 and mouse Nmt2 comprise two distinct families of N-myristoyltransferases. (provided by RefSeq)

Alternate Names

EC 2.3.1.97, glycylpeptide N-tetradecanoyltransferase 2, Myristoyl-CoA:protein N-myristoyltransferase 2, NMT 2, N-myristoyltransferase 2, Peptide N-myristoyltransferase 2, Type II N-myristoyltransferase

Gene Symbol

NMT2

Additional NMT2 Products

Product Documents for NMT2 Antibody - BSA Free

Certificate of Analysis

To download a Certificate of Analysis, please enter a lot number in the search box below.

Product Specific Notices for NMT2 Antibody - BSA Free

This product is for research use only and is not approved for use in humans or in clinical diagnosis. Primary Antibodies are guaranteed for 1 year from date of receipt.

Loading...
Loading...
Loading...
Loading...