Skip to main content

NMT2 Antibody - BSA Free

Novus Biologicals, part of Bio-Techne | Catalog # NBP1-85817

Novus Biologicals, part of Bio-Techne
Catalog #
Availability
Size / Price
Qty
Loading...
NBP1-85817
NBP1-85817-25ul

Key Product Details

Validated by

Knockout/Knockdown

Species Reactivity

Validated:

Human

Predicted:

Mouse (94%). Backed by our 100% Guarantee.

Applications

Immunohistochemistry, Immunohistochemistry-Paraffin, Western Blot, Immunocytochemistry/ Immunofluorescence, Knockdown Validated

Label

Unconjugated

Antibody Source

Polyclonal Rabbit IgG

Format

BSA Free

Concentration

Concentrations vary lot to lot. See vial label for concentration. If unlisted please contact technical services.

Product Specifications

Immunogen

This antibody was developed against Recombinant Protein corresponding to amino acids: GGTKSDSASDSQEIKIQQPSKNPSVPMQKLQDIQRAMELLSACQGPARNIDEAAKHRYQFWDTQPVPKLDEVITSHGAIEPDKDNVRQEPYSLPQGFMWDTLDLSDAEVLKELYTLLNENYVEDDDNMFRFDYSPEFLLWALRPPGWLL

Clonality

Polyclonal

Host

Rabbit

Isotype

IgG

Description

Novus Biologicals Rabbit NMT2 Antibody - BSA Free (NBP1-85817) is a polyclonal antibody validated for use in IHC, WB and ICC/IF. Anti-NMT2 Antibody: Cited in 1 publication. All Novus Biologicals antibodies are covered by our 100% guarantee.

Scientific Data Images for NMT2 Antibody - BSA Free

Immunocytochemistry/ Immunofluorescence: NMT2 Antibody [NBP1-85817]

Immunocytochemistry/ Immunofluorescence: NMT2 Antibody [NBP1-85817]

Immunocytochemistry/Immunofluorescence: NMT2 Antibody [NBP1-85817] - Staining of human cell line U-2 OS shows localization to plasma membrane, cytosol & the Golgi apparatus. Antibody staining is shown in green.
Immunohistochemistry-Paraffin: NMT2 Antibody [NBP1-85817]

Immunohistochemistry-Paraffin: NMT2 Antibody [NBP1-85817]

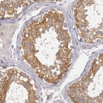
Immunohistochemistry-Paraffin: NMT2 Antibody [NBP1-85817] - Staining of human Testis shows strong membranous and cytoplasmic positivity in cells in seminiferous ducts.
Immunohistochemistry-Paraffin: NMT2 Antibody [NBP1-85817]

Immunohistochemistry-Paraffin: NMT2 Antibody [NBP1-85817]

Immunohistochemistry-Paraffin: NMT2 Antibody [NBP1-85817] - Staining of human Cerebral cortex shows moderate cytoplasmic positivity in neuronal cells.

Applications for NMT2 Antibody - BSA Free

Application
Recommended Usage

Immunocytochemistry/ Immunofluorescence

0.25-2 ug/ml

Immunohistochemistry

1:500 - 1:1000

Immunohistochemistry-Paraffin

1:500-1:1000

Western Blot

0.04-0.4 ug/ml
Application Notes
For IHC-Paraffin, HIER pH 6 retrieval is recommended. ICC/IF Fixation Permeabilization: Use PFA/Triton X-100.

Formulation, Preparation, and Storage

Purification

Affinity purified

Formulation

PBS (pH 7.2) and 40% Glycerol

Format

BSA Free

Preservative

0.02% Sodium Azide

Concentration

Concentrations vary lot to lot. See vial label for concentration. If unlisted please contact technical services.

Shipping

The product is shipped with polar packs. Upon receipt, store it immediately at the temperature recommended below.

Stability & Storage

Store at 4C short term. Aliquot and store at -20C long term. Avoid freeze-thaw cycles.

Background: NMT2

N-myristoyltransferase (NMT) catalyzes the reaction of N-terminal myristoylation of many signaling proteins. It transfers myristic acid from myristoyl coenzyme A to the amino group of a protein's N-terminal glycine residue. Biochemical evidence indicates the presence of several distinct NMTs, varying in apparent molecular weight and /or subcellular distribution. The predicted 498-amino acid of human NMT2 protein shares 77% and 96% sequence identity with human NMT1 and mouse Nmt2 comprise two distinct families of N-myristoyltransferases. (provided by RefSeq)

Alternate Names

EC 2.3.1.97, glycylpeptide N-tetradecanoyltransferase 2, Myristoyl-CoA:protein N-myristoyltransferase 2, NMT 2, N-myristoyltransferase 2, Peptide N-myristoyltransferase 2, Type II N-myristoyltransferase

Gene Symbol

NMT2

Additional NMT2 Products

Product Documents for NMT2 Antibody - BSA Free

Certificate of Analysis

To download a Certificate of Analysis, please enter a lot number in the search box below.

Product Specific Notices for NMT2 Antibody - BSA Free

This product is for research use only and is not approved for use in humans or in clinical diagnosis. Primary Antibodies are guaranteed for 1 year from date of receipt.

Loading...
Loading...
Loading...
Loading...