Skip to main content

NMT2 Antibody (OTI1G3) - Azide and BSA Free

Novus Biologicals, part of Bio-Techne | Catalog # NBP2-73021

Novus Biologicals, part of Bio-Techne

Key Product Details

Species Reactivity

Human, Mouse, Rat

Applications

Immunohistochemistry, Immunohistochemistry-Paraffin, Western Blot

Label

Unconjugated

Antibody Source

Monoclonal Mouse IgG1 Clone # OTI1G3

Format

Azide and BSA Free

Concentration

LYOPH mg/ml

Product Specifications

Immunogen

Full length human recombinant protein of human NMT2(NP_004799) produced in HEK293T cell.

Reactivity Notes

Please note that this antibody is reactive to Mouse and derived from the same host, Mouse. Mouse-On-Mouse blocking reagent may be needed for IHC and ICC experiments to reduce high background signal. You can find these reagents under catalog numbers PK-2200-NB and MP-2400-NB. Please contact Technical Support if you have any questions.

Clonality

Monoclonal

Host

Mouse

Isotype

IgG1

Theoretical MW

56.8 kDa.
Disclaimer note: The observed molecular weight of the protein may vary from the listed predicted molecular weight due to post translational modifications, post translation cleavages, relative charges, and other experimental factors.

Description

Novus Biologicals Mouse NMT2 Antibody (OTI1G3) - Azide and BSA Free (NBP2-01676) is a monoclonal antibody validated for use in IHC and WB. All Novus Biologicals antibodies are covered by our 100% guarantee.

Scientific Data Images for NMT2 Antibody (OTI1G3) - Azide and BSA Free

Western Blot: NMT2 Antibody (OTI1G3)Azide and BSA Free [NBP2-73021]

Western Blot: NMT2 Antibody (OTI1G3)Azide and BSA Free [NBP2-73021]

Western Blot: NMT2 Antibody (OTI1G3) - Azide and BSA Free [NBP2-73021] - HEK293T cells were transfected with the pCMV6-ENTRY control (Left lane) or pCMV6-ENTRY NMT2 (Right lane) cDNA for 48 hrs and lysed. Equivalent amounts of cell lysates (5 ug per lane) were separated by SDS-PAGE and immunoblotted with anti-NMT2.
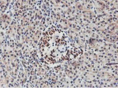
Immunohistochemistry: NMT2 Antibody (OTI1G3) - Azide and BSA Free [NBP2-73021]

Immunohistochemistry: NMT2 Antibody (OTI1G3) - Azide and BSA Free [NBP2-73021]

Immunohistochemistry: NMT2 Antibody (OTI1G3) - Azide and BSA Free [NBP2-73021] - Staining of paraffin-embedded Human pancreas tissue using anti-NMT2 mouse monoclonal antibody.
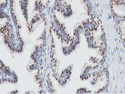
Immunohistochemistry: NMT2 Antibody (OTI1G3) - Azide and BSA Free [NBP2-73021]

Immunohistochemistry: NMT2 Antibody (OTI1G3) - Azide and BSA Free [NBP2-73021]

Immunohistochemistry: NMT2 Antibody (OTI1G3) - Azide and BSA Free [NBP2-73021] - Staining of paraffin-embedded Adenocarcinoma of Human endometrium tissue using anti-NMT2 mouse monoclonal antibody.

Applications for NMT2 Antibody (OTI1G3) - Azide and BSA Free

Application
Recommended Usage

Immunohistochemistry

1:150

Western Blot

1:500-2000

Formulation, Preparation, and Storage

Purification

Immunogen affinity purified

Reconstitution

we recommend adding 100uL distilled water to a final antibody concentration of about 1 mg/mL. To use this carrier-free antibody for conjugation experiment, we strongly recommend performing another round of desalting process.

Formulation

Lyophilized from PBS (pH 7.3) with 8% Trehalose

Format

Azide and BSA Free

Preservative

No Preservative

Concentration

LYOPH mg/ml

Shipping

The product is shipped with polar packs. Upon receipt, store it immediately at the temperature recommended below.

Stability & Storage

Store at -20C. Avoid freeze-thaw cycles.

Background: NMT2

N-myristoyltransferase (NMT) catalyzes the reaction of N-terminal myristoylation of many signaling proteins. It transfers myristic acid from myristoyl coenzyme A to the amino group of a protein's N-terminal glycine residue. Biochemical evidence indicates the presence of several distinct NMTs, varying in apparent molecular weight and /or subcellular distribution. The predicted 498-amino acid of human NMT2 protein shares 77% and 96% sequence identity with human NMT1 and mouse Nmt2 comprise two distinct families of N-myristoyltransferases. (provided by RefSeq)

Alternate Names

EC 2.3.1.97, glycylpeptide N-tetradecanoyltransferase 2, Myristoyl-CoA:protein N-myristoyltransferase 2, NMT 2, N-myristoyltransferase 2, Peptide N-myristoyltransferase 2, Type II N-myristoyltransferase

Gene Symbol

NMT2

Additional NMT2 Products

Product Documents for NMT2 Antibody (OTI1G3) - Azide and BSA Free

Certificate of Analysis

To download a Certificate of Analysis, please enter a lot number in the search box below.

Product Specific Notices for NMT2 Antibody (OTI1G3) - Azide and BSA Free

This product is for research use only and is not approved for use in humans or in clinical diagnosis. Primary Antibodies are guaranteed for 1 year from date of receipt.

Loading...
Loading...
Loading...
Loading...
Loading...