Skip to main content

NME4 Antibody

Novus Biologicals, part of Bio-Techne | Catalog # NBP3-48589

Novus Biologicals, part of Bio-Techne
Catalog #
Availability
Size / Price
Qty
Loading...
NBP3-48589

Key Product Details

Species Reactivity

Human, Mouse, Rat

Applications

Immunohistochemistry, Immunohistochemistry-Paraffin, Western Blot

Label

Unconjugated

Antibody Source

Polyclonal Rabbit IgG

Concentration

Concentrations vary lot to lot. See vial label for concentration. If unlisted please contact technical services.

Product Specifications

Immunogen

Recombinant protein encompassing a sequence within the center region of human NME4. The exact sequence is proprietary.

Clonality

Polyclonal

Host

Rabbit

Isotype

IgG

Description

Novus Biologicals Rabbit NME4 Antibody (NBP3-48589) is a polyclonal antibody validated for use in IHC and WB. All Novus Biologicals antibodies are covered by our 100% guarantee.

Scientific Data Images for NME4 Antibody

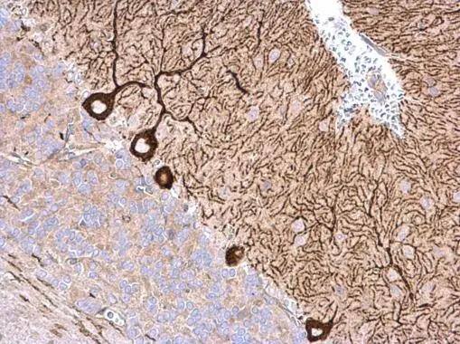
NME4 Antibody

Immunohistochemistry: NME4 Antibody [NBP3-48589] -

nm23-H4 antibody detects nm23-H4 protein at cytosol on mouse hind brain by immunohistochemical analysis.
Sample: Paraffin-embedded mouse hind brain.
nm23-H4 antibody (NBP3-48589) dilution: 1:500.


Antigen Retrieval: (EDTA based, pH 8.0) buffer, 15min
NME4 Antibody

Western Blot: NME4 Antibody [NBP3-48589] -

nm23-H4 antibody detects NME4 protein by Western blot analysis. Non-transfected (-) and NME4-transfected (+, ) 293T whole cell extracts (30 ug) were separated by 12% SDS-PAGE, and the membrane was blotted with NME4 antibody (NBP3-48589) at a dilution of 1:5000.
NME4 Antibody

Immunohistochemistry: NME4 Antibody [NBP3-48589] -

nm23-H4 antibody detects nm23-H4 protein at cytosol on rat hind brain by immunohistochemical analysis.
Sample: Paraffin-embedded rat hind brain.
nm23-H4 antibody (NBP3-48589) dilution: 1:500.


Antigen Retrieval: (EDTA based, pH 8.0) buffer, 15min

Applications for NME4 Antibody

Application
Recommended Usage

Immunohistochemistry-Paraffin

1:100-1:1000

Western Blot

1:1000-1:10000

Formulation, Preparation, and Storage

Purification

Antigen Affinity-purified

Formulation

PBS, 20% Glycerol

Preservative

0.01% Thimerosal

Concentration

Concentrations vary lot to lot. See vial label for concentration. If unlisted please contact technical services.

Shipping

The product is shipped with polar packs. Upon receipt, store it immediately at the temperature recommended below.

Stability & Storage

Store at 4C short term. Aliquot and store at -20C long term. Avoid freeze-thaw cycles.

Background: NME4

The nucleoside diphosphate (NDP) kinases (EC 2.7.4.6) are ubiquitous enzymes that catalyze transfer of gamma-phosphates, via a phosphohistidine intermediate, between nucleoside and dioxynucleoside tri- and diphosphates. The enzymes are products of the nm23 gene family, which includes NME4 (Milon et al., 1997 [PubMed 9099850]).[supplied by OMIM]

Alternate Names

EC 2.7.4.6, NDP kinase, mitochondrial, NDPK-D, NM23D, nm23-H4mitochondrial, non-metastatic cells 4, protein expressed in

Gene Symbol

NME4

Additional NME4 Products

Product Documents for NME4 Antibody

Certificate of Analysis

To download a Certificate of Analysis, please enter a lot number in the search box below.

Product Specific Notices for NME4 Antibody

This product is for research use only and is not approved for use in humans or in clinical diagnosis. Primary Antibodies are guaranteed for 1 year from date of receipt.

Loading...
Loading...
Loading...
Loading...