NMDAR2B Antibody (NR2B)
Novus Biologicals, part of Bio-Techne | Catalog # NB100-74475
Key Product Details
Species Reactivity
Validated:
Human, Mouse, Rat
Cited:
Human, Mouse, Rat
Applications
Validated:
Immunohistochemistry, Immunohistochemistry-Paraffin, Western Blot, Immunocytochemistry/ Immunofluorescence, Simple Western
Cited:
Immunohistochemistry-Paraffin, Western Blot, Immunocytochemistry/ Immunofluorescence
Label
Unconjugated
Antibody Source
Monoclonal Mouse IgG1 Clone # NR2B
Concentration
1 mg/ml
Product Specifications
Immunogen
Recombinant protein: NR2B subunit of amino acid residues 934-1457.
Reactivity Notes
Please note that this antibody is reactive to Mouse and derived from the same host, Mouse. Additional Mouse on Mouse blocking steps may be required for IHC and ICC experiments. Please contact Technical Support for more information.
Localization
Integral membrane protein.
Clonality
Monoclonal
Host
Mouse
Isotype
IgG1
Theoretical MW
166 kDa.
Disclaimer note: The observed molecular weight of the protein may vary from the listed predicted molecular weight due to post translational modifications, post translation cleavages, relative charges, and other experimental factors.
Disclaimer note: The observed molecular weight of the protein may vary from the listed predicted molecular weight due to post translational modifications, post translation cleavages, relative charges, and other experimental factors.
Scientific Data Images for NMDAR2B Antibody (NR2B)
Western Blot: NMDAR2B Antibody (NR2B) [NB100-74475]
Western Blot: NMDAR2B Antibody (NR2B) [NB100-74475] - Analysis of NMDA receptor type 2B in mouse brain tissue.Immunohistochemistry-Paraffin: NMDAR2B Antibody (NR2B) [NB100-74475]
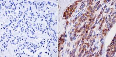
Immunohistochemistry-Paraffin: NMDAR2B Antibody (NR2B) [NB100-74475] - Analysis showing staining in the cytoplasm and membrane of human breast tissue (right) compared with a negative control without primary antibody (left).Applications for NMDAR2B Antibody (NR2B)
Application
Recommended Usage
Immunohistochemistry
1:10 - 1:500
Immunohistochemistry-Paraffin
1:10 - 1:100
Simple Western
1:20 - 1:250
Western Blot
2 ug/ml
Application Notes
Use in Immunocytochemistry/immunofluorescence reported in scientific literature (PMID: 25815887).
See Simple Western Antibody Database for Simple Western validation: Tested in Mouse brain lysate, separated by Size, antibody dilution of 1;20, 1:100, 1:250, apparent MW was 187 kDa
See Simple Western Antibody Database for Simple Western validation: Tested in Mouse brain lysate, separated by Size, antibody dilution of 1;20, 1:100, 1:250, apparent MW was 187 kDa
Formulation, Preparation, and Storage
Purification
Protein A purified
Formulation
PBS with 1 mg/ml BSA
Preservative
0.05% Sodium Azide
Concentration
1 mg/ml
Shipping
The product is shipped with polar packs. Upon receipt, store it immediately at the temperature recommended below.
Stability & Storage
Store at -20C. Avoid freeze-thaw cycles.
Background: NMDAR2B
Alternate Names
glutamate [NMDA] receptor subunit epsilon-2, glutamate receptor subunit epsilon-2, glutamate receptor, ionotropic, N-methyl D-aspartate 2B, hNR3, MGC142180, NMDAR2BMGC142178, N-methyl D-aspartate receptor subtype 2B, N-methyl-D-aspartate receptor subunit 3, NR2B, NR3
Gene Symbol
GRIN2B
UniProt
Additional NMDAR2B Products
Product Documents for NMDAR2B Antibody (NR2B)
Product Specific Notices for NMDAR2B Antibody (NR2B)
This product is for research use only and is not approved for use in humans or in clinical diagnosis. Primary Antibodies are guaranteed for 1 year from date of receipt.
Loading...
Loading...
Loading...
Loading...