Skip to main content

NLRP11 Antibody - BSA Free

Novus Biologicals, part of Bio-Techne | Catalog # NBP1-92186

Novus Biologicals, part of Bio-Techne
Catalog #
Availability
Size / Price
Qty
Loading...
NBP1-92186
NBP1-92186-25ul

Key Product Details

Species Reactivity

Validated:

Human

Cited:

Human

Applications

Validated:

Immunohistochemistry, Immunohistochemistry-Paraffin, Western Blot

Cited:

Western Blot, Immunocytochemistry/ Immunofluorescence

Label

Unconjugated

Antibody Source

Polyclonal Rabbit IgG

Format

BSA Free

Concentration

Concentrations vary lot to lot. See vial label for concentration. If unlisted please contact technical services.

Product Specifications

Immunogen

This antibody was developed against Recombinant Protein corresponding to amino acids: HLGNDGVAKLLESLISPDCVLKVVGLPLTGLNTQTQQLLMTVKERKPSLIFLSETWSLKEGREIGVTPASQPGSIIPNSNLDYMFFKFPRMSAAMRTSNTASR

Clonality

Polyclonal

Host

Rabbit

Isotype

IgG

Description

Novus Biologicals Rabbit NLRP11 Antibody - BSA Free (NBP1-92186) is a polyclonal antibody validated for use in IHC, WB and ICC/IF. Anti-NLRP11 Antibody: Cited in 1 publication. All Novus Biologicals antibodies are covered by our 100% guarantee.

Scientific Data Images for NLRP11 Antibody - BSA Free

Western Blot: NLRP11 Antibody [NBP1-92186]

Western Blot: NLRP11 Antibody [NBP1-92186]

Western Blot: NLRP11 Antibody [NBP1-92186] - Analysis in control (vector only transfected HEK293T lysate) and NLRP11 over-expression lysate (Co-expressed with a C-terminal myc-DDK tag (3.1 kDa) in mammalian HEK293T cells).
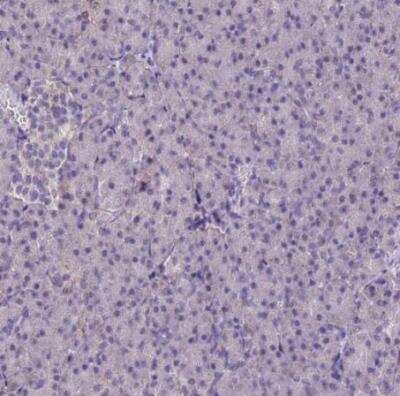
Immunohistochemistry-Paraffin: NLRP11 Antibody [NBP1-92186]

Immunohistochemistry-Paraffin: NLRP11 Antibody [NBP1-92186]

Immunohistochemistry-Paraffin: NLRP11 Antibody [NBP1-92186] - Staining of human pancreas shows no positivity in exocrine glandular cells as expected.
Immunohistochemistry-Paraffin: NLRP11 Antibody [NBP1-92186]

Immunohistochemistry-Paraffin: NLRP11 Antibody [NBP1-92186]

Immunohistochemistry-Paraffin: NLRP11 Antibody [NBP1-92186] - Staining of human cerebral cortex shows strong positivity in neuronal processes in neuropil.

Applications for NLRP11 Antibody - BSA Free

Application
Recommended Usage

Immunohistochemistry

1:50 - 1:200

Immunohistochemistry-Paraffin

1:50 - 1:200

Western Blot

0.04-0.4 ug/ml
Application Notes
For IHC-Paraffin, HIER pH 6 retrieval is recommended.

Formulation, Preparation, and Storage

Purification

Immunogen affinity purified

Formulation

PBS (pH 7.2) and 40% Glycerol

Format

BSA Free

Preservative

0.02% Sodium Azide

Concentration

Concentrations vary lot to lot. See vial label for concentration. If unlisted please contact technical services.

Shipping

The product is shipped with polar packs. Upon receipt, store it immediately at the temperature recommended below.

Stability & Storage

Store at 4C short term. Aliquot and store at -20C long term. Avoid freeze-thaw cycles.

Background: NLRP11

NALPs are cytoplasmic proteins that form a subfamily within the larger CATERPILLER protein family. Most short NALPs, such as NALP11, have an N-terminal pyrin (MEFV; MIM 608107) domain (PYD), followed by a NACHT domain, a NACHT-associated domain (NAD), and a C-terminal leucine-rich repeat (LRR) region. The long NALP, NALP1 (MIM 606636), also has a C-terminal extension containing a function to find domain (FIIND) and a caspase recruitment domain (CARD). NALPs are implicated in the activation of proinflammatory caspases (e.g., CASP1; MIM 147678) via their involvement in multiprotein complexes called inflammasomes (Tschopp et al., 2003 [PubMed 12563287]).[supplied by OMIM]

Alternate Names

CLR19.6, NACHT, leucine rich repeat and PYD containing 11, NALP11NACHT, LRR and PYD domains-containing protein 11, NLR family, pyrin domain containing 11, NOD17PYPAF7, Nucleotide-binding oligomerization domain protein 17, nucleotide-binding oligomerization domain, leucine rich repeat and pyrin domaincontaining 11, PAAD- and NACHT-containing protein 10, PAAD- and NACHT-containing protein 10B, PAAD-and NACHT domain-containing protein 10, PAN10FLJ26273, PYPAF6NACHT, LRR and PYD containing protein 11, PYRIN-containing APAF1-like protein 6

Gene Symbol

NLRP11

Additional NLRP11 Products

Product Documents for NLRP11 Antibody - BSA Free

Certificate of Analysis

To download a Certificate of Analysis, please enter a lot number in the search box below.

Product Specific Notices for NLRP11 Antibody - BSA Free

This product is for research use only and is not approved for use in humans or in clinical diagnosis. Primary Antibodies are guaranteed for 1 year from date of receipt.

Loading...
Loading...
Loading...
Loading...