Skip to main content

NLRC3 Antibody

Novus Biologicals, part of Bio-Techne | Catalog # NBP2-75593

Novus Biologicals, part of Bio-Techne
Catalog #
Availability
Size / Price
Qty
Loading...
NBP2-75593

Key Product Details

Species Reactivity

Human, Mouse

Applications

Immunohistochemistry, Immunohistochemistry-Paraffin, Western Blot, Flow Cytometry, Immunocytochemistry/ Immunofluorescence

Label

Unconjugated

Antibody Source

Polyclonal Rabbit IgG

Concentration

1 mg/ml

Product Specifications

Immunogen

Synthetic peptide within Human NLRC3 aa 1-50 / 1,065. (SwissProt: Q7RTR2 Human; SwissProt: Q5DU56 Mouse)

Localization

Cytoplasm. Cytoskeleton.

Clonality

Polyclonal

Host

Rabbit

Isotype

IgG

Theoretical MW

120 kDa.
Disclaimer note: The observed molecular weight of the protein may vary from the listed predicted molecular weight due to post translational modifications, post translation cleavages, relative charges, and other experimental factors.

Description

Novus Biologicals Rabbit NLRC3 Antibody (NBP2-75593) is a polyclonal antibody validated for use in IHC, WB, Flow and ICC/IF. Anti-NLRC3 Antibody: Cited in 1 publication. All Novus Biologicals antibodies are covered by our 100% guarantee.

Scientific Data Images for NLRC3 Antibody

Western Blot: NLRC3 Antibody [NBP2-75593]

Western Blot: NLRC3 Antibody [NBP2-75593]

Western Blot: NLRC3 Antibody [NBP2-75593] - Analysis of NLRC3 on human thymus tissue lysates using anti-NLRC3 antibody at 1/500 dilution.
Immunocytochemistry/ Immunofluorescence: NLRC3 Antibody [NBP2-75593]

Immunocytochemistry/ Immunofluorescence: NLRC3 Antibody [NBP2-75593]

Immunocytochemistry/Immunofluorescence: NLRC3 Antibody [NBP2-75593] - Staining NLRC3 in MCF-7 cells (green). The nuclear counter stain is DAPI (blue). Cells were fixed in paraformaldehyde, permeabilised with 0.25% Triton X100/PBS.
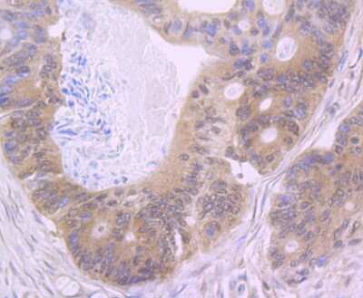
Immunohistochemistry-Paraffin: NLRC3 Antibody [NBP2-75593]

Immunohistochemistry-Paraffin: NLRC3 Antibody [NBP2-75593]

Immunohistochemistry-Paraffin: NLRC3 Antibody [NBP2-75593] - Analysis of paraffin-embedded mouse colon tissue using anti-NLRC3 antibody. Counter stained with hematoxylin.

Applications for NLRC3 Antibody

Application
Recommended Usage

Flow Cytometry

1:50-1:200

Immunocytochemistry/ Immunofluorescence

1:50-1:200

Immunohistochemistry-Paraffin

1:50-1:200

Western Blot

1:500-1:2000

Formulation, Preparation, and Storage

Purification

Immunogen affinity purified

Formulation

PBS (pH7.4), 0.2% BSA, 50% Glycerol

Preservative

0.05% Sodium Azide

Concentration

1 mg/ml

Shipping

The product is shipped with polar packs. Upon receipt, store it immediately at the temperature recommended below.

Stability & Storage

Store at 4C short term. Aliquot and store at -20C long term. Avoid freeze-thaw cycles.

Background: NLRC3

Alternate Names

CARD15-Like Protein, Caterpiller Protein 16.2, CLR16.2, Leucine Rich Repeat And CARD Domain Containing 3, NLR Family, CARD Domain Containing 3, NOD3, NOD-Like Receptor C3, Nucleotide-Binding Oligomerization Domain Protein 3, Nucleotide-Binding Oligomerization Domain, Leucine Rich Repeat And CARD Domain Containing 3, Protein NLRC3

Gene Symbol

NLRC3

Additional NLRC3 Products

Product Documents for NLRC3 Antibody

Certificate of Analysis

To download a Certificate of Analysis, please enter a lot number in the search box below.

Product Specific Notices for NLRC3 Antibody

This product is for research use only and is not approved for use in humans or in clinical diagnosis. Primary Antibodies are guaranteed for 1 year from date of receipt.

Loading...
Loading...
Loading...
Loading...
Loading...