Skip to main content

NKX2.8 Antibody - BSA Free

Novus Biologicals, part of Bio-Techne | Catalog # NBP2-81773

Novus Biologicals, part of Bio-Techne

Key Product Details

Species Reactivity

Human, Mouse, Rat

Applications

Immunohistochemistry, Immunohistochemistry-Paraffin, Western Blot, ELISA, Immunocytochemistry/ Immunofluorescence

Label

Unconjugated

Antibody Source

Polyclonal Rabbit IgG

Format

BSA Free

Concentration

1 mg/ml

Product Specifications

Immunogen

NKX2.8 antibody was raised against a 19 amino acid synthetic peptide near the center of human NKX2.8. The immunogen is located within amino acids 60 - 110 of NKX2.8. Amino Acid Squence: ASPGSDAEKRKKRRVLFSK

Specificity

NKX2-8 antibody is predicted to not cross-react with other NK2 homeobox family members.

Clonality

Polyclonal

Host

Rabbit

Isotype

IgG

Description

Novus Biologicals Rabbit NKX2.8 Antibody - BSA Free (NBP2-81773) is a polyclonal antibody validated for use in IHC, WB, ELISA and ICC/IF. All Novus Biologicals antibodies are covered by our 100% guarantee.

Scientific Data Images for NKX2.8 Antibody - BSA Free

NKX2.8 Antibody - BSA Free

Western Blot: NKX2.8 Antibody - BSA Free [NBP2-81773] -

Western Blot: NKX2.8 Antibody - BSA Free [NBP2-81773] - Western blot analysis of NKX2.8 in rat liver tissue lysate with NKX2.8 antibody at 1 u/mL in (A) the absence and (B) the presence of blocking peptide
NKX2.8 Antibody - BSA Free

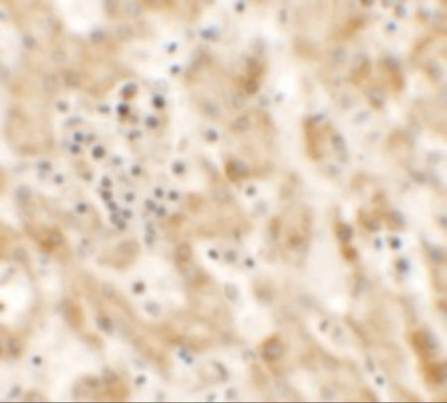
Immunohistochemistry: NKX2.8 Antibody - BSA Free [NBP2-81773] -

Immunohistochemistry: NKX2.8 Antibody - BSA Free [NBP2-81773] - Immunohistochemistry of NKX2.8 in human liver tissue with NKX2.8 antibody at 2.5 ug/mL.
NKX2.8 Antibody - BSA Free

Immunocytochemistry/ Immunofluorescence: NKX2.8 Antibody - BSA Free [NBP2-81773] -

Immunocytochemistry/ Immunofluorescence: NKX2.8 Antibody - BSA Free [NBP2-81773] - Immunofluorescence of NKX-8 in human liver tissue with NKX2.8 antibody at 20 ug/mL.

Applications for NKX2.8 Antibody - BSA Free

Application
Recommended Usage

Immunocytochemistry/ Immunofluorescence

2.5 ug/ml

Immunohistochemistry

2.5 ug/ml

Immunohistochemistry-Paraffin

2.5 ug/ml

Western Blot

1 ug/ml

Formulation, Preparation, and Storage

Purification

Peptide affinity purified

Formulation

PBS

Format

BSA Free

Preservative

0.02% Sodium Azide

Concentration

1 mg/ml

Shipping

The product is shipped with polar packs. Upon receipt, store it immediately at the temperature recommended below.

Stability & Storage

Store at 4C short term. Aliquot and store at -20C long term. Avoid freeze-thaw cycles.

Background: NKX2.8

Alternate Names

Homeobox protein NK-2 homolog H, homeobox protein Nkx-2.8, NK2 homeobox 8, NK-2 homolog H (Drosophila), NK2 transcription factor related, locus 8, NK2 transcription factor related, locus 8 (Drosophila), NKX-2.8, NKX2.8NK-2 homolog 8, Nkx2-9, NKX2G, NKX2HNK-2 homolog H

Gene Symbol

NKX2-8

Additional NKX2.8 Products

Product Documents for NKX2.8 Antibody - BSA Free

Certificate of Analysis

To download a Certificate of Analysis, please enter a lot number in the search box below.

Product Specific Notices for NKX2.8 Antibody - BSA Free

This product is for research use only and is not approved for use in humans or in clinical diagnosis. Primary Antibodies are guaranteed for 1 year from date of receipt.

Loading...
Loading...
Loading...
Loading...