NKX2.2 Antibody - BSA Free
Novus Biologicals, part of Bio-Techne | Catalog # NBP1-82554
Key Product Details
Species Reactivity
Validated:
Human, Mouse, Feline
Cited:
Human, Mouse
Predicted:
Rat (97%). Backed by our 100% Guarantee.
Applications
Validated:
Knockout Validated, Immunohistochemistry, Immunohistochemistry-Paraffin, Immunohistochemistry-Frozen, Western Blot, Immunocytochemistry/ Immunofluorescence
Cited:
Knockout Validated, Immunohistochemistry-Paraffin, IF/IHC
Label
Unconjugated
Antibody Source
Polyclonal Rabbit IgG
Format
BSA Free
Concentration
Concentrations vary lot to lot. See vial label for concentration. If unlisted please contact technical services.
Product Specifications
Immunogen
This antibody was developed against Recombinant Protein corresponding to amino acids: SLTNTKTGFSVKDILDLPDTNDEEGSVAEGPEEENEGPEPAKRAGPLGQGALDAVQSLPLKNPFYDSSDNPYTRWLASTEGLQYSLHGLAAGAPPQDSSSKSPEPSADESPDNDKETP
Reactivity Notes
Feline, Mouse reactivity reported from verified customer reviews.
Clonality
Polyclonal
Host
Rabbit
Isotype
IgG
Theoretical MW
30 kDa.
Disclaimer note: The observed molecular weight of the protein may vary from the listed predicted molecular weight due to post translational modifications, post translation cleavages, relative charges, and other experimental factors.
Disclaimer note: The observed molecular weight of the protein may vary from the listed predicted molecular weight due to post translational modifications, post translation cleavages, relative charges, and other experimental factors.
Description
Novus Biologicals Knockout (KO) Validated Rabbit NKX2.2 Antibody - BSA Free (NBP1-82554) is a polyclonal antibody validated for use in IHC, WB and ICC/IF. Anti-NKX2.2 Antibody: Cited in 5 publications. All Novus Biologicals antibodies are covered by our 100% guarantee.
Scientific Data Images for NKX2.2 Antibody - BSA Free
Western Blot: NKX2.2 Antibody [NBP1-82554]
Western Blot: NKX2.2 Antibody [NBP1-82554] - Analysis in human cell line U-138 MG.Immunohistochemistry-Paraffin: NKX2.2 Antibody [NBP1-82554]
Immunohistochemistry-Paraffin: NKX2.2 Antibody [NBP1-82554] - Staining of human cerebellum shows moderate postivity in cells in molecular layer.Immunohistochemistry-Paraffin: NKX2.2 Antibody [NBP1-82554]
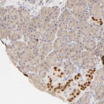
Immunohistochemistry-Paraffin: NKX2.2 Antibody [NBP1-82554] - Staining of human pancreas shows strong nuclear positivity in islet cells.Applications for NKX2.2 Antibody - BSA Free
Application
Recommended Usage
Immunocytochemistry/ Immunofluorescence
Validated from verified customer review.
Immunohistochemistry
1:50 - 1:200
Immunohistochemistry-Frozen
Validated from verified customer review.
Immunohistochemistry-Paraffin
1:50 - 1:200
Knockout Validated
Validated (bioRxiv Jan 1 2020)
Western Blot
0.04-0.4 ug/ml
Application Notes
For IHC-Paraffin, HIER pH 6 retrieval is recommended.
Reviewed Applications
Read 2 reviews rated 4 using NBP1-82554 in the following applications:
Formulation, Preparation, and Storage
Purification
Immunogen affinity purified
Formulation
PBS (pH 7.2) and 40% Glycerol
Format
BSA Free
Preservative
0.02% Sodium Azide
Concentration
Concentrations vary lot to lot. See vial label for concentration. If unlisted please contact technical services.
Shipping
The product is shipped with polar packs. Upon receipt, store it immediately at the temperature recommended below.
Stability & Storage
Store at 4C short term. Aliquot and store at -20C long term. Avoid freeze-thaw cycles.
Background: NKX2.2
Long Name
NK2 Homeobox 2
Alternate Names
NKX2B
Entrez Gene IDs
4821 (Human)
Gene Symbol
NKX2-2
UniProt
Additional NKX2.2 Products
Product Documents for NKX2.2 Antibody - BSA Free
Product Specific Notices for NKX2.2 Antibody - BSA Free
This product is for research use only and is not approved for use in humans or in clinical diagnosis. Primary Antibodies are guaranteed for 1 year from date of receipt.
Loading...
Loading...
Loading...
Loading...