NKTR Antibody - BSA Free
Novus Biologicals, part of Bio-Techne | Catalog # NBP3-47335
Key Product Details
Species Reactivity
Human, Mouse, Rat
Applications
ELISA, Immunohistochemistry, Western Blot
Label
Unconjugated
Antibody Source
Polyclonal Rabbit IgG
Format
BSA Free
Concentration
Please see the vial label for concentration. If unlisted please contact technical services.
Product Specifications
Immunogen
natural killer-tumor recognition sequence. (Uniprot# P30414)
Clonality
Polyclonal
Host
Rabbit
Isotype
IgG
Description
Novus Biologicals Rabbit NKTR Antibody - BSA Free (NBP3-47335) is a polyclonal antibody validated for use in IHC, WB and ELISA. All Novus Biologicals antibodies are covered by our 100% guarantee.
Scientific Data Images for NKTR Antibody - BSA Free
Western Blot: NKTR Antibody - BSA Free [NBP3-47335] -
Western Blot: NKTR Antibody - BSA Free [NBP3-47335] - K-562 cells were subjected to SDS PAGE followed by western blot with (NKTR antibody) at dilution of 1:500Immunohistochemistry: NKTR Antibody - BSA Free [NBP3-47335] -
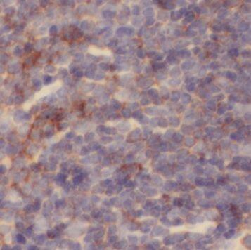
Immunohistochemistry: NKTR Antibody - BSA Free [NBP3-47335] - Immunohistochemistry of paraffin-embedded human spleen using (NKTR antibody) at dilution of 1:100Applications for NKTR Antibody - BSA Free
Application
Recommended Usage
Immunohistochemistry
1:20-1:200
Western Blot
1:500-1:2000
Application Notes
Theoretical Molecular Weight is 166 kDa, 130 kDa
Formulation, Preparation, and Storage
Purification
Immunogen affinity purified
Formulation
PBS, 50% Glycerol, pH (7.3)
Format
BSA Free
Preservative
0.02% Sodium Azide
Concentration
Please see the vial label for concentration. If unlisted please contact technical services.
Shipping
The product is shipped with polar packs. Upon receipt, store it immediately at the temperature recommended below.
Stability & Storage
Store at -20C. Avoid freeze-thaw cycles.
Background: NKTR
Alternate Names
DKFZp686F1754, DKFZp686G0426, DKFZp686J06106, DKFZp686N24126, EC 5.2.1.8, MGC90527, natural killer triggering receptor, natural killer-tumor recognition sequence, Natural-killer cells cyclophilin-related protein, NK-TR protein, NK-tumor recognition protein, p104
Gene Symbol
NKTR
Additional NKTR Products
Product Documents for NKTR Antibody - BSA Free
Product Specific Notices for NKTR Antibody - BSA Free
This product is for research use only and is not approved for use in humans or in clinical diagnosis. Primary Antibodies are guaranteed for 1 year from date of receipt.
Loading...
Loading...
Loading...
Loading...