Skip to main content

NK1R Antibody - Azide and BSA Free

Novus Biologicals, part of Bio-Techne | Catalog # NB300-101

Novus Biologicals, part of Bio-Techne
Catalog #
Availability
Size / Price
Qty
Loading...
NB300-101SS
NB300-101

Key Product Details

Species Reactivity

Validated:

Human, Mouse, Rat, Guinea Pig

Cited:

Human, Mouse, Rat, Guinea Pig

Predicted:

Canine (92%). Backed by our 100% Guarantee.

Applications

Validated:

Immunohistochemistry, Immunohistochemistry-Paraffin, Immunohistochemistry-Frozen, Western Blot, Immunocytochemistry/ Immunofluorescence

Cited:

Immunohistochemistry-Paraffin, Immunohistochemistry-Frozen, Western Blot, Immunocytochemistry/ Immunofluorescence, IF/IHC

Label

Unconjugated

Antibody Source

Polyclonal Rabbit IgG

Format

Azide and BSA Free

Concentration

This product is unpurified. The exact concentration of antibody is not quantifiable.

Product Specifications

Immunogen

A synthetic peptide corresponding to the C-terminus of rat Neurokinin 1 Receptor, conjugated to bovine thyroglobulin. [UniProt# P14600]

Reactivity Notes

Immunogen displays the following percentage of sequence identity for non-tested species: canine (92%)

Localization

In immunohistochemical experiments, plasma membrane staining is observed.

Specificity

NB300-101 is specific to the NK-1 receptor. Specificity was verified by the localization of immunohistochemical staining with NB300-101 in the neurons of mouse brain tissue.

Clonality

Polyclonal

Host

Rabbit

Isotype

IgG

Scientific Data Images for NK1R Antibody - Azide and BSA Free

Immunocytochemistry/ Immunofluorescence: NK1R Antibody [NB300-101]

Immunocytochemistry/ Immunofluorescence: NK1R Antibody [NB300-101]

Immunocytochemistry/Immunofluorescence: Neurokinin 1 Receptor Antibody [NB300-101] - IF analysis of Neurokinin 1 Receptor in rat brain tissue. Image courtesy of anonymous customer product review.
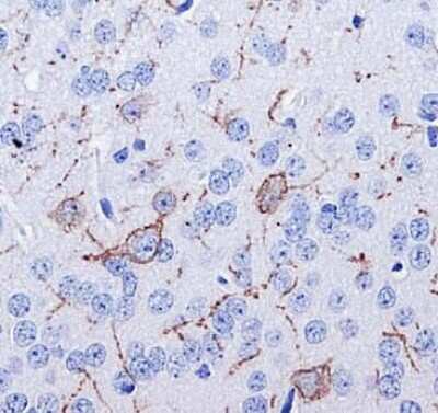
Immunohistochemistry: NK1R Antibody [NB300-101]

Immunohistochemistry: NK1R Antibody [NB300-101]

Immunohistochemistry: Neurokinin 1 Receptor Antibody [NB300-101] - Immunohistochemical analysis of Neurokinin 1 Receptor in mouse brain (selected cells, axon & dendrites) using NB300-101.
Immunocytochemistry/ Immunofluorescence: NK1R Antibody [NB300-101]

Immunocytochemistry/ Immunofluorescence: NK1R Antibody [NB300-101]

Immunocytochemistry/Immunofluorescence: Neurokinin 1 Receptor Antibody [NB300-101] - Confocal image of SPR reactivity using polyclonal anti-NK-1 Receptor (NB 300-101) in a lamina III neuron in the spinal cord of a rat.

Applications for NK1R Antibody - Azide and BSA Free

Application
Recommended Usage

Immunocytochemistry/ Immunofluorescence

1:50

Immunohistochemistry

1:1000

Immunohistochemistry-Frozen

1:1000

Immunohistochemistry-Paraffin

reported in scientific literature (PMID 23792204)

Western Blot

1:100-1:2000

Reviewed Applications

Read 2 reviews rated 4 using NB300-101 in the following applications:

Formulation, Preparation, and Storage

Purification

Unpurified

Formulation

Whole antisera

Format

Azide and BSA Free

Preservative

No Preservative

Concentration

This product is unpurified. The exact concentration of antibody is not quantifiable.

Shipping

The product is shipped with polar packs. Upon receipt, store it immediately at the temperature recommended below.

Stability & Storage

Aliquot and store at -20C or -80C. Avoid freeze-thaw cycles.

Background: NK1R

Neurokinin 1 receptor (NK1R) is a Gq-coupled receptor multi-pass membrane protein localized in the cell membranes of a variety of cells including CNS/PNS neurons, immune cells, endocrine and exocrine glands, smooth muscle cells etc. NK1R is an endogenous receptor for substance P (neuropeptide that belongs to tachykinin neuropeptide family), and is a highly conserved receptor which binds high affinity ligands. NK1R couples to a subgroup of G-proteins, and interacts with ARRB1 as well. NK1R-SP interactions lead to activation of phospholipase CB (PLCB), and results in a transient increase in intracellular inositol 1,4,5 triphosphate (IP3) diacyl-glycerol and increased cytosolic Ca2+concentration. This interaction is involved in pain transmission, vasodilatation, connective-tissue cell proliferation, neuroimmune modulation and exocrine (e.g. sialogogue) as well as endocrine secretions.

Long Name

Neurokinin-1 Receptor

Alternate Names

SPR, TAC1R, TACR1

Entrez Gene IDs

6869 (Human); 24807 (Rat)

Gene Symbol

TACR1

UniProt

Additional NK1R Products

Product Documents for NK1R Antibody - Azide and BSA Free

Certificate of Analysis

To download a Certificate of Analysis, please enter a lot number in the search box below.

Product Specific Notices for NK1R Antibody - Azide and BSA Free

This product is for research use only and is not approved for use in humans or in clinical diagnosis. Primary Antibodies are guaranteed for 1 year from date of receipt.

Loading...
Loading...
Loading...
Loading...
Loading...