Skip to main content

NIPP1 Antibody (OTI4E5)

Novus Biologicals, part of Bio-Techne | Catalog # NBP2-45386

Novus Biologicals, part of Bio-Techne

Key Product Details

Species Reactivity

Human, Mouse, Rat

Applications

Immunohistochemistry, Immunohistochemistry-Paraffin, Western Blot

Label

Unconjugated

Antibody Source

Monoclonal Mouse IgG1 Clone # OTI4E5

Concentration

1 mg/ml

Product Specifications

Immunogen

Human recombinant protein fragment corresponding to amino acids 1-225 of human PPP1R8 (NP_612568) produced in E.coli.

Reactivity Notes

Please note that this antibody is reactive to Mouse and derived from the same host, Mouse. Mouse-On-Mouse blocking reagent may be needed for IHC and ICC experiments to reduce high background signal. You can find these reagents under catalog numbers PK-2200-NB and MP-2400-NB. Please contact Technical Support if you have any questions.

Clonality

Monoclonal

Host

Mouse

Isotype

IgG1

Theoretical MW

22.5 kDa.
Disclaimer note: The observed molecular weight of the protein may vary from the listed predicted molecular weight due to post translational modifications, post translation cleavages, relative charges, and other experimental factors.

Description

Novus Biologicals Mouse NIPP1 Antibody (OTI4E5) (NBP2-45386) is a monoclonal antibody validated for use in IHC and WB. All Novus Biologicals antibodies are covered by our 100% guarantee.

Scientific Data Images for NIPP1 Antibody (OTI4E5)

Western Blot: NIPP1 Antibody (OTI4E5) [NBP2-45386]

Western Blot: NIPP1 Antibody (OTI4E5) [NBP2-45386]

Western Blot: NIPP1 Antibody (4E5) [NBP2-45386] - Analysis of HEK293T cells were transfected with the pCMV6-ENTRY control (Left lane) or pCMV6-ENTRY NIPP1.
Immunohistochemistry: NIPP1 Antibody (OTI4E5) [NBP2-45386]

Immunohistochemistry: NIPP1 Antibody (OTI4E5) [NBP2-45386]

Immunohistochemistry: NIPP1 Antibody (4E5) [NBP2-45386] - Analysis of Human tonsil tissue. (Heat-induced epitope retrieval by 1 mM EDTA in 10mM Tris, pH8.5, 120C for 3min)
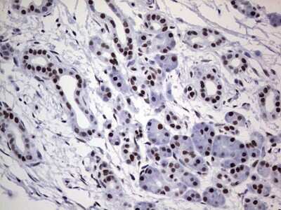
Immunohistochemistry: NIPP1 Antibody (OTI4E5) [NBP2-45386]

Immunohistochemistry: NIPP1 Antibody (OTI4E5) [NBP2-45386]

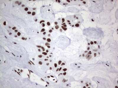
Immunohistochemistry: NIPP1 Antibody (4E5) [NBP2-45386] - Analysis of Human breast tissue. (Heat-induced epitope retrieval by 1 mM EDTA in 10mM Tris, pH8.5, 120C for 3min)

Applications for NIPP1 Antibody (OTI4E5)

Application
Recommended Usage

Immunohistochemistry

1:150

Western Blot

1:2000

Formulation, Preparation, and Storage

Purification

Immunogen affinity purified

Formulation

PBS (pH 7.3), 1.0% BSA and 50% Glycerol

Preservative

0.02% Sodium Azide

Concentration

1 mg/ml

Shipping

The product is shipped with polar packs. Upon receipt, store it immediately at the temperature recommended below.

Stability & Storage

Store at -20C. Avoid freeze-thaw cycles.

Background: NIPP1

NIPP1, through alternative splicing, encodes three different isoforms. Two of the protein isoforms encoded by this gene are specific inhibitors of type 1 serine/threonine protein phosphatases and can bind but not cleave RNA. The third protein isoform lacks the phosphatase inhibitory function but is a single-strand endoribonuclease comparable to RNase E of E. coli. This isoform requires magnesium for its function and cleaves specific sites in A+U-rich regions of RNA.

Long Name

Nuclear Inhibitor of Protein Phosphatase 1

Alternate Names

ARD1, PPP1R8, PRO2047, RNase E

Gene Symbol

PPP1R8

Additional NIPP1 Products

Product Documents for NIPP1 Antibody (OTI4E5)

Certificate of Analysis

To download a Certificate of Analysis, please enter a lot number in the search box below.

Product Specific Notices for NIPP1 Antibody (OTI4E5)

This product is for research use only and is not approved for use in humans or in clinical diagnosis. Primary Antibodies are guaranteed for 1 year from date of receipt.

Loading...
Loading...
Loading...
Loading...