Skip to main content

NIPA2 Antibody - BSA Free

Novus Biologicals, part of Bio-Techne | Catalog # NBP2-49510

Novus Biologicals, part of Bio-Techne
Catalog #
Availability
Size / Price
Qty
Loading...
NBP2-49510-25ul
NBP2-49510

Key Product Details

Species Reactivity

Validated:

Human, Mouse

Cited:

Mouse

Predicted:

Rat (100%). Backed by our 100% Guarantee.

Applications

Validated:

Immunohistochemistry, Immunohistochemistry-Paraffin, Western Blot

Cited:

Immunohistochemistry-Paraffin

Label

Unconjugated

Antibody Source

Polyclonal Rabbit IgG

Format

BSA Free

Concentration

Concentrations vary lot to lot. See vial label for concentration. If unlisted please contact technical services.

Product Specifications

Immunogen

This antibody was developed against a recombinant protein corresponding to amino acids: KEEEIETLNEMSHKLGDPGFVVF

Reactivity Notes

Use in Mouse reported in scientific literature (PMID:32080264).

Clonality

Polyclonal

Host

Rabbit

Isotype

IgG

Description

Novus Biologicals Rabbit NIPA2 Antibody - BSA Free (NBP2-49510) is a polyclonal antibody validated for use in IHC and WB. Anti-NIPA2 Antibody: Cited in 1 publication. All Novus Biologicals antibodies are covered by our 100% guarantee.

Scientific Data Images for NIPA2 Antibody - BSA Free

Western Blot: NIPA2 Antibody [NBP2-49510]

Western Blot: NIPA2 Antibody [NBP2-49510]

Western Blot: NIPA2 Antibody [NBP2-49510] - Lane 1: Marker [kDa] 250, 130, 95, 72, 55, 36, 28, 17, 10
Lane 2: Human cell line RT-4
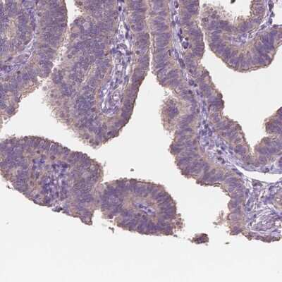
Immunohistochemistry-Paraffin: NIPA2 Antibody [NBP2-49510]

Immunohistochemistry-Paraffin: NIPA2 Antibody [NBP2-49510]

Immunohistochemistry-Paraffin: NIPA2 Antibody [NBP2-49510] - Staining of human fallopian tube shows moderate cytoplasmic and membranous positivity in glandular cells.

Applications for NIPA2 Antibody - BSA Free

Application
Recommended Usage

Immunohistochemistry

1:500 - 1:1000

Immunohistochemistry-Paraffin

1:500 - 1:1000

Western Blot

0.04-0.4 ug/ml
Application Notes
For IHC-Paraffin, HIER pH 6 retrieval is recommended.

Formulation, Preparation, and Storage

Purification

Immunogen affinity purified

Formulation

PBS (pH 7.2) and 40% Glycerol

Format

BSA Free

Preservative

0.02% Sodium Azide

Concentration

Concentrations vary lot to lot. See vial label for concentration. If unlisted please contact technical services.

Shipping

The product is shipped with polar packs. Upon receipt, store it immediately at the temperature recommended below.

Stability & Storage

Store at 4C short term. Aliquot and store at -20C long term. Avoid freeze-thaw cycles.

Background: NIPA2

Alternate Names

magnesium transporter NIPA2, MGC5466, non imprinted in Prader-Willi/Angelman syndrome 2

Gene Symbol

NIPA2

Additional NIPA2 Products

Product Documents for NIPA2 Antibody - BSA Free

Certificate of Analysis

To download a Certificate of Analysis, please enter a lot number in the search box below.

Product Specific Notices for NIPA2 Antibody - BSA Free

This product is for research use only and is not approved for use in humans or in clinical diagnosis. Primary Antibodies are guaranteed for 1 year from date of receipt.

Loading...
Loading...
Loading...
Loading...