Skip to main content

NIFK Antibody (CL2237) - Azide and BSA Free

Novus Biologicals, part of Bio-Techne | Catalog # NBP3-44460

Novus Biologicals, part of Bio-Techne
Catalog #
Availability
Size / Price
Qty
Loading...
NBP3-44460

Key Product Details

Species Reactivity

Human

Applications

Immunohistochemistry-Paraffin, Western Blot, Immunocytochemistry/ Immunofluorescence

Label

Unconjugated

Antibody Source

Monoclonal Mouse IgG1 Clone # CL2237

Format

Azide and BSA Free

Concentration

LYOPH mg/ml

Product Specifications

Immunogen

This antibody was generated using a recombinant protein sequence of Q9BYG3, with the exact immunogen sequence remaining proprietary.

Clonality

Monoclonal

Host

Mouse

Isotype

IgG1

Description

Novus Biologicals Mouse NIFK Antibody (CL2237) - Azide and BSA Free (NBP2-36750) is a monoclonal antibody validated for use in IHC, WB and ICC/IF. All Novus Biologicals antibodies are covered by our 100% guarantee.

Scientific Data Images for NIFK Antibody (CL2237) - Azide and BSA Free

NIFK Antibody (CL2237) - Azide and BSA Free Western Blot: NIFK Antibody [NBP3-44460]

Western Blot: NIFK Antibody [NBP3-44460]

Lane 1: Marker [kDa]
Lane 2: Human cell line U-251 MG
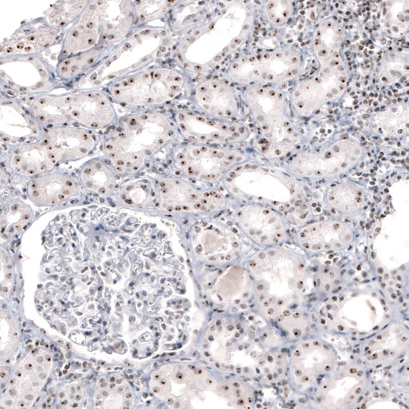
NIFK Antibody (CL2237) - Azide and BSA Free Immunohistochemistry-Paraffin: NIFK Antibody [NBP3-44460]

Immunohistochemistry-Paraffin: NIFK Antibody [NBP3-44460]

Staining of human kidney shows strong positivity in nucleoli in cells in tubules.
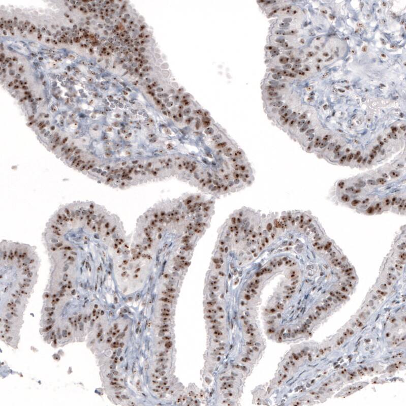
NIFK Antibody (CL2237) - Azide and BSA Free Immunohistochemistry-Paraffin: NIFK Antibody [NBP3-44460]

Immunohistochemistry-Paraffin: NIFK Antibody [NBP3-44460]

Staining of human fallopian tube shows strong positivity in nucleoli in glandular cells.

Applications for NIFK Antibody (CL2237) - Azide and BSA Free

Application
Recommended Usage

Immunocytochemistry/ Immunofluorescence

2-10 ug/ml

Immunohistochemistry-Paraffin

1:2500 - 1:5000

Western Blot

1 ug/ml
Application Notes
For IHC-Paraffin, HIER pH 6 retrieval is recommended. For Immunocytochemistry/ Immunofluorescence/IF, PFA/Triton X-100 is recommended for fixation/permeabilization.

Formulation, Preparation, and Storage

Purification

Protein A purified

Reconstitution

Centrifuge the vial of lyophilized antibody at 12,000 x g for 20 seconds. Reconstitute by adding sterile, distilled water to achieve a final antibody concentration of 1mg/ml.

Formulation

Lyophilized from a 0.2 um filtered solution in PBS with Trehalose

Format

Azide and BSA Free

Preservative

No Preservative

Concentration

LYOPH mg/ml

Shipping

The product is shipped at ambient temperature. Upon receipt, store it immediately at the temperature recommended below.

Stability & Storage

Store at 4C short term. Aliquot and store at -20C long term. Avoid freeze-thaw cycles.

Background: NIFK

NIFK is a nucleolar protein that interacts with Ki67, a protein strongly associated with, and a specific marker of, cell proliferation. The marsupial counterpart of human NIFK was recently identified and suggests that NIFK may be involved in the organization of higher order chromatin structure. NIFK was found to interact with the forkhead associated domain of Ki67 in mitotic cells and the interaction is thought to be phosphorylation-dependent.

Alternate Names

hNIFK, MKI67 (FHA domain) interacting nucleolar phosphoprotein, MKI67 FHA domain-interacting nucleolar phosphoprotein, NIFKNOPP34, Nopp34, Nucleolar phosphoprotein Nopp34, Nucleolar protein interacting with the FHA domain of pKI-67

Gene Symbol

NIFK

Additional NIFK Products

Product Documents for NIFK Antibody (CL2237) - Azide and BSA Free

Certificate of Analysis

To download a Certificate of Analysis, please enter a lot number in the search box below.

Product Specific Notices for NIFK Antibody (CL2237) - Azide and BSA Free

This product is for research use only and is not approved for use in humans or in clinical diagnosis. Primary Antibodies are guaranteed for 1 year from date of receipt.

Loading...
Loading...
Loading...
Loading...
Loading...