Skip to main content

Niemann-Pick type C1 Like-1 Antibody - BSA Free

Novus Biologicals, part of Bio-Techne | Catalog # NBP2-89182

Key Product Details

Species Reactivity

Human, Rat

Applications

Immunohistochemistry, Immunohistochemistry-Paraffin, Western Blot, Immunocytochemistry/ Immunofluorescence

Label

Unconjugated

Antibody Source

Polyclonal Rabbit

Format

BSA Free

Concentration

1.0 mg/ml

Product Specifications

Immunogen

Partial synthetic peptide made to an internal portion of the rat NPC1L1 protein (between amino acids 185-240) [UniProt Q6T3U3]

Clonality

Polyclonal

Host

Rabbit

Scientific Data Images for Niemann-Pick type C1 Like-1 Antibody - BSA Free

Western Blot: Niemann-Pick type C1 Like-1 AntibodyBSA Free [NBP2-89182]

Western Blot: Niemann-Pick type C1 Like-1 AntibodyBSA Free [NBP2-89182]

Western Blot: Niemann-Pick type C1 Like-1 Antibody [NBP2-89182] - Total protein from rat liver was separated on a 7.5% gel by SDS-PAGE, transferred to PVDF membrane and blocked in 5% non-fat milk in TBST. The membrane was probed with 2.0 ug/ml anti-NPC1L1 (NBP2-89182) in 1% BSA-TBST buffer and detected with an anti-rabbit HRP secondary antibody using NovaLume chemiluminescence detection reagent (NPB2-61915).
Immunocytochemistry/ Immunofluorescence: Niemann-Pick type C1 Like-1 Antibody - BSA Free [NBP2-89182]

Immunocytochemistry/ Immunofluorescence: Niemann-Pick type C1 Like-1 Antibody - BSA Free [NBP2-89182]

Immunocytochemistry/Immunofluorescence: Niemann-Pick type C1 Like-1 Antibody [NBP2-89182] - PC12 cells were fixed for 10 minutes using 10% formalin and then permeabilized for 5 minutes using 1X PBS + 0.05% Triton-X100. The cells were incubated with anti-Niemann-Pick type C1 Like-1 Antibody at 2 ug/ml overnight at 4C and detected with an anti-rabbit Dylight 488 (Green) at a 1:500 dilution. Alpha tubulin (DM1A) NB100-690 was used as a co-stain at a 1:1000 dilution and detected with an anti-mouse Dylight 550 (Red) at a 1:500 dilution. Nuclei were counterstained with DAPI (Blue). Cells were imaged using a 40X objective.
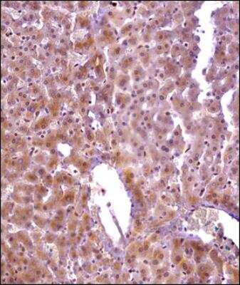
Immunohistochemistry-Paraffin: Niemann-Pick type C1 Like-1 Antibody - BSA Free [NBP2-89182]

Immunohistochemistry-Paraffin: Niemann-Pick type C1 Like-1 Antibody - BSA Free [NBP2-89182]

Immunohistochemistry-Paraffin: Niemann-Pick type C1 Like-1 Antibody [NBP2-89182] - Analysis of a FFPE tissue section of human liver using 1:200 dilution of NPC1L1 antibody. The staining was developed using HRP labeled anti-rabbit secondary antibody and DAB reagent, and nuclei of cells were counter-stained with hematoxylin. This NPC1L1 antibody generated moderate staining of hepatocyte cytoplasm.

Applications for Niemann-Pick type C1 Like-1 Antibody - BSA Free

Application
Recommended Usage

Immunocytochemistry/ Immunofluorescence

2.0 ug/ml

Immunohistochemistry

1:200

Immunohistochemistry-Paraffin

1:200

Western Blot

1.0 ug/ml

Formulation, Preparation, and Storage

Purification

Immunogen affinity purified

Formulation

PBS

Format

BSA Free

Preservative

0.02% Sodium Azide

Concentration

1.0 mg/ml

Shipping

The product is shipped with polar packs. Upon receipt, store it immediately at the temperature recommended below.

Stability & Storage

Store at 4C short term. Aliquot and store at -20C long term. Avoid freeze-thaw cycles.

Background: Niemann-Pick type C1 Like-1

NPC1L1 is a multi-pass membrane protein. It contains a conserved N-terminal Niemann-Pick C1 (NPC1) domain and a putative sterol-sensing domain (SSD) which includes a YQRL motif functioning as a plasma membrane to trans-Golgi network transport signal in other proteins. NPC1L1 takes up free cholesterol into cells through vesicular endocytosis and plays a critical role in the absorption of intestinal cholesterol. It also has the ability to transport alpha-tocopherol (vitamin E). The drug ezetimibe targets this protein and inhibits the absorption of intestinal cholesterol and alpha-tocopherol. In addition, NPC1L1 may play a critical role in regulating lipid metabolism. Mutations in this protein are associated with plasma total cholesterol and low-density lipoprotein cholesterol (LDL-C) levels and coronary heart disease (CHD) risk (1).

Alternate Names

Niemann-Pick C1-like protein 1, NPC1 (Niemann-Pick disease, type C1, gene)-like 1, NPC11L1

Gene Symbol

NPC1L1

Additional Niemann-Pick type C1 Like-1 Products

Product Documents for Niemann-Pick type C1 Like-1 Antibody - BSA Free

Certificate of Analysis

To download a Certificate of Analysis, please enter a lot number in the search box below.

Product Specific Notices for Niemann-Pick type C1 Like-1 Antibody - BSA Free

This product is for research use only and is not approved for use in humans or in clinical diagnosis. Primary Antibodies are guaranteed for 1 year from date of receipt.

Loading...
Loading...
Loading...
Loading...